Глава
19. Аномалии пальцев ног
Они
принципиально не отличаются от аномалий пальцев рук – в основе их развития
лежат те же структурные изменения. Отличие состоит в их незначительном влиянии
на здоровье и возможности человека. Лечение требуется только в случае
постоянного травмирования деформированных пальцев или причинения ими иных
неудобств. Желание больного также является показанием к операции. Есть
некоторые особенности в методах операций, применяемых для исправления аномалий
пальцев ног.
При
разделении синдактилии на ногах следует применять исключительно метод
Джанелидзе. Применение метода с пластикой местными тканями очень часто
заканчивается обильным разрастанием рубцовой ткани и неудовлетворительным
результатом.
При
лечении молоткообразной деформации пальцев не следует рассекать сухожилия и
капсулы суставов пальцев, как это делается на руках. Выполняется укорачивающая субкапитальная остеотомия
основной фаланги, которая создает достаточный избыток мягких тканей и кожи для
выпрямления пальца. Выполняют фиксацию зоны остеотомии и всего пальца в
выпрямленном положении трансоссальной спицей на 4-6 недель.
При
операциях по поводу клинодактилии на ногах наиболее рационально применение
диафизарной НЕэкономной угловой остеотомии.
Экономная остеотомия, которая выполняется на руках, заключается в
частичном поперечном рассечении диафиза и вклинении в полученную щель
клиновидного импланта (ауто или гомотрансплантата). А
неэкономная состоит в иссечении клиновидного фрагмента диафиза и складывании полученного угла, для неё не
требуются трансплантаты. Да, она немного укорачивает палец, но на ногах это
совершенно не заметно. Единственное, следует внимательно относится к размеру
высекаемого клина, чтобы не сделать клинодактилию в обратную сторону. Если
такое случилось, в щель следует ввести небольшой корректирующий
аутотрансплантат, который изготовляется из ранее резецированного фрагмента
диафиза. Операцию заканчивают трансоссальным остеосинтезом спицей на 4-6 недель
– на ногах иммобилизация требуется более длительная.

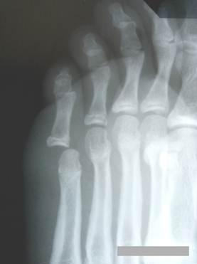
Эпифизарная
клинодактилия 2-го пальца стопы с поражением головки средней фаланги у мальчика
16 лет. На рентгенографии, кроме того, определяется вальгусное положение
большого пальца. Однако же, о поперечном плоскостопии с Hallux Valgus
речь не идет ввиду отсутствия клинических проявлений: боли, отека, кожного
намина. Лечение не обязательно. При
желании больного можно выполнить неэкономную (с удалением костной ткани)
клиновидную остеотомию средней фаланги со стороны большого пальца. При закрытии
клиновидного дефекта палец выпрямится. Последующий остеосинтез фаланги
выполняется тонкими спицами трансоссально или перекрестно. Второй вариант операции – резекция головки средней фаланги с последующей
спицевой фиксацией дистальной фаланги в правильном положении – не
представляется более оптимальным.
Есть
ещё одна проблема с пальцами ног, которая иногда заставляет больных обращаться
– это повреждение внутренней коллатеральной связки пятого плюсне – фалангового
сустава. Это травма, суть которой
заключается в резком, форсированном
отведении мизинца стопы из – за удара ногой об косяк двери, порог и т.п.
В результате внутренняя коллатеральная связка пятого плюсне – фалангового
сустава рвется. Проксимальная фаланга
смещается кнаружи и в суставе формируется подвывих. Часть больных обращается в
первые часы после травмы и им достаточно просто помочь. Следует связать 3,4 и 5
палец треугольным пучком при помощи хорошего пластыря. При этом пятый палец должен
быть соединен с третьим для максимального приведения. Срок иммобилизации 3
недели. Нога должна быть разгружена на
этот срок, наложение гипса – «носочка» не строго обязательно, но желательно,
чтобы ребенок не ходил на травмированной ноге.
У
некоторых больных острая травма проходит незамеченной – отёк, боль за несколько
дней уменьшаются, и наш герой опять побежал. Со временем он замечает, что с
мизинцем стопы что – то не то. Он не болит, но доставляет неприятные ощущения.
Один наш больной сказал: «Когда хожу, палец как – то булькает и
перекатывается». Анамнез и рентгенография позволяют быстро найти причину жалоб.
При давности травмы больше 2 недель рассчитывать на эффективность
консервативного лечения не приходится, потому что концы разорванной связки уже
зарубцевались. А восстановить внутреннюю
коллатеральную связку плюсне – фалангового сустава непросто. Сшить её
практически невозможно, а кольцевая пластика обеих коллатеральных связок по
Мовшовичу – это хрестоматийно, но неоправданно травматично.


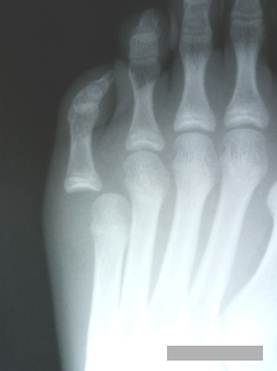
Случай
травматического подвывиха 5 пальца стопы у мальчика 16 лет. Очевидно
повреждение внутренней коллатеральной связки плюсне – фалангового сустава. В
анамнезе травма год назад.
На
функцию стопы подвывих пятого пальца практически не влияет, причиной обращения
больных являются неприятные субъективные ощущения. Потому начинать надо с
простого консервативного лечения, с вправления пальца ортезированием . Пятый и четвертый палец стопы соединяются
хорошим пластырем, что вправляет подвывих в плюсне – фаланговом суставе.
Никакой дополнительной иммобизизации не требуется, активность больного остаётся
на прежнем уровне. Связка от этого, разумеется,
не восстановится, но прекратятся «бульки и перекатывания» в пальце. Соединение
пальцев следует продолжать не менее 3 месяцев. За это время капсула сустава
сморщится и уменьшится, палец «найдет» какое – то своё новое положение. И после
снятия иммобилизации в большинстве случаев жалоб уже не будет.
Для
случаев, когда ортезирование не помогло и у больного вновь появились жалобы,
есть вариант малоинвазивного хирургического лечения – лемнѝсковая , т.е.
петлевая фиксация проксимальной фаланги 5 пальца к субкапитальной зоне 4
плюсневой кости прочной капроновой нитью. Этот метод применим только у
завершивших рост детей 15 лет и старше.
Операция
выполняется под местной анестезией в межплюсневых промежутках, чего с избытком
хватает для безболезненности манипуляций. Петля накладывается на основание
проксимальной фаланги 5 пальца и субкапитальную область 4 плюсневой кости подкожно
при помощи толстой хирургической
иглы радиуса 15-20 мм. В иглу
заряжается сложенная вдвое капроновая нить диаметром 0,6 – 0,8 мм., номер USP 6 или 7.
Область
входа иглы находится между 4 и 5 пальцем с подошвенной стороны стопы, где кожа
рассекается на 3-4 мм. узким скальпелем.
Из разреза игла идет в сторону основания проксимальной фаланги 5
пальца, проводится под сухожилием
сгибателя и выходит на поверхность кожи в области наружного края пальца,
ближе к подошвенной поверхности. Иглу
полностью вынимают, хорошо протягивают нити. Затем иглу вкалывают
непосредственно в место выхода нитей и,
достигнув остриём кости, ведут его вокруг основания фаланги и выходят на
поверхность кожи тыла стопы. Иглу снова вынимают, нить опять протягивают. Опять
вводят иглу в отверстие выхода нитей, достигают острием кости фаланги, проходят
под сухожилием разгибателя 5 пальца и выходят на кожу тыла стопы между 4 и 5
пальцами. Игла снова вводится в область
выхода нитей и ведется к субкапитальной зоне 4 плюсневой
кости, проходит под сухожилием разгибателя 4 пальца и выходит на кожу тыла
стопы. Следующим вколом нить проводится вдоль внутреннего края 4
плюсневой кости и выходит уже на коже
подошвенной поверхности. И заключительным вколом нить проводится по плюсневой
кости под сухожлием сгибателя 4 пальца в область первоначального входа, в разрез между 4 и 5
пальцами. Игла снимается, нить разрезается в области петли на две. Обе
полученные нити по отдельности завязываются, чем 5 палец подтягивается к
четвёртому и вправляется его подвывих.
Усилие затяжки приходится
подбирать шестым чувством. Делается
5-6 контрящих узлов на каждой нити, которые прячутся под
кожу. Разрез заклеивается пластырем.
Стопа на неделю разгружается без применения гипса, после чего больной пробует
ходить. Через неделю пробной ходьбы
можно сделать вывод об эффективности операции. Если у больного остаются жалобы,
нарушилось движение пальцев или что-то еще, следует удалить петлю: через старый
разрез находят узлы, разрезают нити и вытягивают их. Плюсом операции является
полная обратимость в случае неудачи, о возможности которой следует
предупреждать больного. Мы выполняли
такую операцию только 1 раз, но с хорошим результатом – через полгода больной
никаких жалоб не предъявлял.
Кроме
пятого пальца повреждения коллатеральных связок могут происходить и на других
малых пальцах стопы. В свежих случаях их лечение будет таким же: иммобилизация пластырем на 3 недели. С застарелыми повреждениями
коллатеральных связок второго, третьего и четвертого пальцев мы не
сталкивались, что, однако, не говорит о том, что их не бывает. В их лечении
следует, по видимому, придерживаться тех же принципов, что и для мизинца.