Глава
20. Дистрофические и диспластические заболевания костей
Дистрофические костные кисты
Костная
киста – это округлая полость в теле кости, заполненная жидкостью. Кисты в костях
образуются у детей 8 – 14 лет, что связано с интенсивным ростом в этом
возрасте. Местом зарождения костной кисты является зона роста: на стороне
диафиза в тесной связи с ней формируется округлая полость и начинает интенсивно
расширяться. Рост полости продолжается около года, в процессе которого она
разрушает окружающие костные ткани метафизарной зоны. Затем увеличение её
размеров замедляется и останавливается. Через некоторое время полость кисты
начинает уменьшаться, между ней и зоной роста появляется слой костной ткани.
При благоприятном развитии событий киста полностью закрывается.
Итак,
в процессе естественной эволюции костной кисты можно выделить три стадии:
1 -
стадия остеолиза, во время которого киста растет, распластывается по ростковой
зоне и разрушает костную ткань метадиафизарной
зоны роста. Такую кисту считают активной.
2 -
стадия отграничения, на котором рост кисты останавливается и мы можем оценить
масштаб причиненного ею вреда
3 -
стадия восстановления, во время которого полость кисты отходит от ростковой
зоны и начинает закрываться
Подавляющее
большинство костных кист локализуется в метафизарных зонах длинных трубчатых
костей. Изредка кисты поражают позвонки, кости запястья и предплюсны.
Описанная
идеальная картина эволюции костной кисты имеет место далеко не всегда. Часто
ещё до завершения роста полости костная структура метадиафиза ослабевает
настолько, что происходит патологический перелом. Нередко киста в процессе
интенсивного роста мигрирует на диафиз, что также приводит к патологическому
перелому. Часто киста прекращает рост, но не хочет отходить от зоны роста и
закрыться. Костные кисты не являются опухолями – современная классификация
относит их к опухолеподобным заболеваниям.
О
причинах развития кист много не известно. Большинство специалистов сходятся в
том, что основное звено патогенеза заключается в нарушении кровоснабжения и/или
васкуляризации зоны роста.
В
зависимости от того, что внутри кисты находится, их разделяют на солитарные и
аневризмальные. Солитарные костные кисты в стадии роста содержат венозную
кровь, а после окончания роста обычно заполнены светлой желтоватой жидкостью.
Аневризмальные кисты содержат артериальную кровь на всех стадиях своей
эволюции. Полость кисты может быть однокамерная или разделенная тонкими
костными перегородками.
У
кисты в стадии роста (активной кисты) есть ряд особенностей. Во – первых, в
полости растущей кисты высокое гидростатическое давление. В солитарных кистах
оно около 200 мм. водного столба, а аневризмальных может достигать 1000 мм.
водного столба. В содержимом кисты обнаруживается высокая активность плазмина,
потому кровь в её полости никогда не сворачивается. По мере перехода кисты в
фазу отграничения давление в ней падает до 100 – 80 мм. водного столба и ниже.
Клиника и диагностика костных кист
Развитие
костной кисты в большинстве случаев бессимптомное. Могут быть неопределенные
боли, которые связаны с повышенным внутрикостным давлением. Патологический перелом
часто осложняет костные кисты и является первым проявлением болезни. В
некоторых случаях костные кисты формируют видимые вздутия на поверхности кости,
которые можно пропальпировать. Рентгенография позволяет устанавливать диагноз
достаточно уверенно, как дополнительное исследование рекомендуется компьютерная
томография. Томограмма позволяет с высокой точностью определить масштаб
распространения кисты и остаточную прочность кости. Считается, что при
сохранении интактными не менее 2/3 её кориткального слоя иммобилизация не
требуется. Информация о кисте (фаза развития, тип кисты) получается в процессе
наблюдения за больным и лечения.
Лечение
костных кист достаточно сложное. На первый взгляд кажется - ну что там, сделать внутриочаговую резекцию
и всё. Но на этом простом пути есть два серьезных препятствия.
Полость
кисты лежит на зоне роста и при её резекции мы зону роста уничтожим,
результатом будет укорочение конечности, которое тем больше, чем младше
больной.
При
широком вскрытии и обработке полости активно растущей кисты возникает сильное
кровотечение, которое очень непросто остановить.
Потому
в лечении придерживаются сдержанного подхода. Если диагноз был поставлен после
патологического перелома, то сосредотачиваются на его лечении. Как правило, эти
переломы сопровождаются небольшими угловыми смещениями и требуют минимальной
репозиции или вообще не требуют её. Лечение проводится путем наружной
иммобилизации, перелом медленно срастается за 1-3 месяца. Иногда после
патологического перелома костная киста может исчезнуть. Это бывает не часто,
чаще после срастания перелома кистозная полость остаётся.
После
установления диагноза костной кисты в зависимости от её размера и того,
насколько она ослабила прочность кости, следует выполнить разгрузку или иммобилизацию
конечности чтобы не допустить патологического перелома. Прочность кости
обеспечивается её кортикальным слоем. Делаются снимки в 2-х проекциях
поражённой зоны, на которых определяется отношение кисты к кортикальному слою.
Большинство кист находится в расширенных метаэпифизарных зонах, где для них
достаточно места и они мало влияют на кортикальный слой. По мере роста киста
может начать разрушать его, а если киста начала распространяться на диафиз
кости, то объем разрушения кортикального слоя прогрессивно увеличивается.
Принято считать, что если на поперечном сечении зоны поражения сохранилось 2/3
кортикального слоя, то иммобилизация не требуется, достаточно разгрузки и
охранительного режима. Если разрушение кортикального слоя больше, то требуется
иммобилизация, потому что высок риск перелома. Отметим, что до иммобилизации у
больных с костными кистами дело доходит редко, обычно только после
патологических переломов. После их срастания иммобилизация не требуется, потому
что костная мозоль значительно упрочняет зону локализации кисты. Всем детям с
установленным диагнозом рентгенография проводится через каждые 3 месяца для
определения динамики роста кисты. Если киста увеличивается, то можно быть
уверенным в том, что она активная. Если не увеличивается, то киста находится в
стадии отграничения. Если киста отошла от зоны роста, то она закрывается. Увы,
такое бывает редко.
Лечение костных кист
Возможен
чисто консервативный подход в лечении: разгрузить, при необходимости
иммобилизировать конечность лонгетой, ортезом и ждать. Но ждать придется долго
и нет никаких гарантий, что даже после остановки костного роста в 15 - 16 лет
киста закроется и прочность кости восстановится до исходной. Потому в настоящее
время рекомендована малоинвазивная хирургическая тактика лечения, разработанная
М.В. Волковым в 1990-х годах.
Первичная
операция назначается сразу же после установления диагноза или срастания
патологического перелома. Делается кожный разрез около сантиметра в проекции
самой тонкой стенки кисты. Полость кисты пунктируется иглой Кассирского. В
полости кисты измеряют давление, присоединяя к ней шланг от системы для
вливаний и держа его строго вертикально. Расстояние от канюли иглы до
установившегося уровня жидкости в шланге и будет искомым давлением. Отсасывают кистозную
жидкость и оценивают её характер, что дает информацию о виде кисты и её
состоянии (см. выше). Если в полости кисты кровь, то обращают внимание на то,
какая она: венозная темная или алая артериальная. Удаляют иглу и при помощи
толстого 5 мм. костного шила многократно перфорируют стенку кисты, глубоко
проникая остриём в её полость и разрушая перегородки внутри. Перфорация
выполняется под рентгенотелевизионным контролем и должна быть достаточной: вся
доступная стенка кисты должна быть щедро изрешечена, обязательно нанесение
отверстий на границе кисты и здоровой кости. На этом первичная операция
заканчивается. Перфорация полости кисты призвана снизить в ней давление и
остановить процесс остеолиза в случае активности кисты. После операции
накладывается лонгета на 3 недели.
Через
три месяца делают контрольную
рентгенограмму. Если на снимке отмечено уменьшение полости кисты, показано
продолжение наблюдения с тем же интервалом, так как есть надежда на отход кисты
от зоны роста и её закрытие. Если киста не уменьшилась или её уменьшение на
каком – то этапе остановилось, то следует выполнить повторную операцию, которая
подобна первой. В конце операции, после перфорации стенки кисты, в её полость
вводят суспензию костной муки или порошка коралловой губки.
Контрольная
рентгенография проводится опять же через 3 месяца, оценивается результат.
Показания к повторению вмешательства остаются теми же - его можно провести еще
раз. Всего выполняется не более 3 операций.
Авторы методики предупреждают о том, что четвертая и дальнейшие операции
никак не улучшат результатов и не должны выполняться. Эффективность описанного
лечения оценивается ими как «достаточная». В нашем понимании это 50/50. Какие
же мы можем получить результаты малоинвазивного хирургического лечения?
Костная
киста отошла от зоны роста и закрылась
Костная
киста не отошла от зоны роста, но остановила свой рост
Костная
киста продолжает увеличиваться
Если
киста перестала увеличиваться, сохраняя при этом контакт с зоной роста, то следует
опять оценить остаточную прочность кости по описанным нами ранее принципам.
Если прочность кости достаточная, то дети подлежат динамическому наблюдению 1
раз в 6 месяцев до окончания костного роста в 15-16 лет. Естественно, они
находятся на охранительном режиме, полностью освобождены от физкультуры и
регулярно осматриваются с обязательной рентгенографией зоны поражения. Киста по
достижении старшего подросткового возраста может постепенно закрыться, а если
этого не произойдет, то следует выполнить операцию резекции кисты с костной
пластикой. В случае более широкого поражения кости, когда без иммобилизации
зоны поражения возможны патологические переломы, детям сразу показана резекция
костной кисты.
Если
костная киста продолжает расти, то это абсолютное показание к её резекции.
Радикальная
резекция кисты с костной пластикой является по своей сути внутриочаговой
резекцией. Область кисты поднадкостнично обнажают в анатомически
рациональном месте, в её стенке высекают
достаточного размера «крышку» и проникают в полость. Если киста активная, это
может сопровождаться обильным кровотечением, которое останавливают тампонадой
турундами с горячим изотоническим раствором или перекисью водорода. Полость
кисты тщательно обрабатывают желобоватыми долотами или вращающимися фрезами,
удаляя стенку кисты с её эпителиальной выстилкой. Затем полость обрабатывают
каким – либо веществом, способным уничтожить остатки эпителиальной выстилки
кисты. Тут фантазия широка: применяют смесь 96% спирта с йодной настойкой,
чистый 96% спирт и даже жидкий азот. После обратботки полость кисты заполняют
костными гомотрансплантатами по типу «вязанка хвороста», небольшие полости
можно заполнить коралловой губкой. Возвращать на место кортикальную «крышку»
можно только после тщательного выскабливания и обработки спиртом её внутненней
(кистозной) поверхности. Рану послойно ушивают, иммобилизируют конечность на срок не менее 3 месяцев.
Есть
и другие методы лечения костных кист: пункционный с введением суспензии
стероидных гормонов, проточно – промывное дренирование кисты и даже
эндоскопическое шейвирование стенок кисты при помощи артроскопической техники.
Они не обеспечивают лучших результатов и их применение больше связано с
традициями, сложившимися в конкретной клинике.
Несовершенный остеогенез (болезнь Лобштейна - Вролика)
Проявляется
мягкостью и ломкостью костей скелета. Это наследственное заболевание, есть его
варианты, передающиеся по аутосомно – рецессивному и по аутосомно -
доминантному типу наследования. Суть его состоит в том, что у детей нарушен
процесс минерализации костного вещества. При этом самого количества минерала
(гидроксиапатита кальция) в кости достаточно, нарушено формирование его
комплекса с коллагеном – по крайней мере, так считал Рене Лериш и эта версия
остается более – менее приемлемой на сегодняшний день. На самом деле тонкие
механизмы патогенеза болезни остаются неустановленными.
Аутосомно
– доминантный вариант заболевания проявляется в раннем возрасте, когда ребенок
начинает ходить и, как водится, падать. Начинается бесконечная череда
переломов. Переломы локализуются в крупных трубчатых костях: плечевой,
бедренной, большеберцовой. При этом смещения преимущественно угловые, легко
репонируемые. Переломы срастаются очень быстро даже для детского возраста, что
иногда обращает на себя внимание. Помимо переломов у детей начинает развиваться
деформация костей ног как самого нагруженного отдела скелета: бедренная кость с
обеих сторон дугообразно деформируется в варусном направлении, формируя очень
характерную картину, напоминающую брюки – галифе. У некоторых детей могут
деформироваться и кости голени, но это бывает реже. Руки у детей тоже страдают
от переломов, но их деформации развиваются редко. В возрасте начала полового
созревания, т.е. около 12 лет, состояние костной системы нормализуется –
прекращаются переломы, деформации больше не нарастают. Увы, они остаются и
становятся причиной серьезных физических дефектов и снижения двигательной
функции.
У
детей с несовершенным остеогенезом могут иметься типичные
проявления со стороны глаз, зубов и слуха. В 7-8 лет у некоторых детей
отмечается необычная серо – голубая окраска склер. Зубы у больных могут быть
янтарного (коричневатого) цвета и очень быстро разрушаться. Все больные
находятся в группе риска по развитию отосклероза. Лабораторные исследования не
обнаруживают отклонеий со стороны гормональной сферы и фосфорно – кальциевого
обмена. У некоторых детей проявления болезни могут быть минимальными,
ограничивающимися частыми переломами. Деформации конечностей у них не
происходит.
Аутосомно
– рецессивный вариант заболевания проявляется уже внутриутробно: у плода
происходят переломы конечностей и он рождается с деформированными ручками –
ножками, на которых можно пропальпировать мозоли. Кроме того, у них очень рано
закрываются зоны роста трубчатых костей и развивается микромелия – маленькие
конечности. Большинство детей с рецессивным вариантом заболевания погибает в
раннем возрасте.
Диагностика
несовершенного остеогенеза основывается на
анализе клинической картины, анамнезе и типичных рентгенологических
проявлениях. Выполняется рентгеновское обследование таза, нижних и верхних
конечностей – снимков много. На них обнаруживаются основные признаки
несовершенного остеогенеза:
Распространенный
остеопороз
Истончение
кортикального слоя кости
Деформации
трубчатых костей и костные мозоли в разных стадиях
У
некоторых детей – у тех, у которых проявления болезни минимальные - диагноз может ставиться на основании частых
переломов. Но здесь следует быть предельно осторожным: детям вообще свойственно
травмироваться. Обращать внимание следует на случаи, когда переломы происходят
часто, в разных местах и при довольно небольшом силовом воздействии.
У
одного из наших больных произошел перелом локтевого отростка в момент, когда он
поймал мяч, впоследствии у него был перелом плечевой кости от того, что он
прыгнул на диван. Переломов костей предплечья и ключиц в анамнезе было
бессчётное множество. Все переломы были или несмещенные, или с допустимыми
углами смещения, быстро срастались. В остальном же это был внешне нормальный
восьмилетний мальчик, ничем не примечательный. Нормальным он остался и после
инструментального и лабораторного обследования. Но такой «выдающийся» анамнез
вполне позволил нам установить диагноз несовершенного остеогенеза.
Лечение
типичной формы несовершенного остеогенеза строится на том, что ребенка надо
довести - дотянуть до полового созревания, не допустив значимых деформаций
скелета. Дети с тяжелой врожденной формой заболевания подлежат только
паллиативному лечению, увы, большинство из них погибает в раннем возрасте. У
детей с минимальными проявлениями заболевания лечения как такового не
требуется, достаточно охранительного режима.
Больным
начиная с возраста 1 года для усиления минерализации костной ткани и профилактики
деформаций назначают курсы терапии соматотропным гормоном и кальцитонином.
Вначале проводится фаза терапии СТГ, вместе с которым назначаются соли кальция
и витамин D2, за которой следует фаза
терапии кальцитонином. Обычно в год проводится два курса лечения, делать это
желательно при участии эндокринолога.
Если,
несмотря на проводимое лечение, развиваются деформации ног, то в возрасте до 5
лет применяют пластиковые туторы на бедро и голень, а после 5 лет ставится
вопрос об операции для коррекции и предотвращения деформации бёдер по типу
«галифе».
Операция
была разработана Ф.Р. Богдановым в 1945 году – давно, но она выполняется по
сегодняшний день. Её суть в множественной сегментарной остеотомии бедренной
кости на вершине деформации и последующем остеосинтезе интрамедуллярным
стержнем. Техника операции мало отличается от интрамедуллярного остеосинтеза
перелома бедра: под стержень рассверливается канал подходящей ширины, в том
числе в остеотомированных сегментах. Стержень проводится ретроградно или
антеградно через надвертельную ямку. После операции накладывают тазобедренную
гипсовую повязку на 3 месяца. После срастания зоны остеотомии стержень не
удаляют, т.к. он является армирующим элементом и предотвращает переломы и
деформацию бедренной кости. В настоящее время найти оригинальный стержень
Богданова вряд ли удастся, но его легко заменить стержнем Кюнчера или
разнообразными другими, которые в большом количестве имеются на складах больниц
нашего Отечества. Недостатком метода является то, что стержень через каждые 2-3
года придется менять – ребенок растет и стержень становится кóроток,
дистальнее его конца кость может переломиться или начать деформироваться. Это
не так уж трудно - достаточно удалить старый стержень через разрез в
надвертельной области, произвести рассверливание под новый стержень и
установить его. Накладывать гипс здесь не надо, достаточно разгрузки конечности
на месяц. Этот недостаток в настоящее время решён применением специального
телескопического стержня, который удлиняется одновременно с ростом ребенка,
однако имеются такие стержни не везде. В возрасте 14-15 лет стержень любой
конструкции может быть удален.


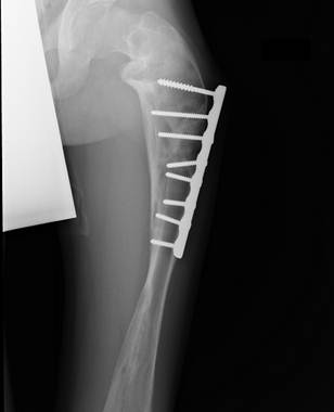
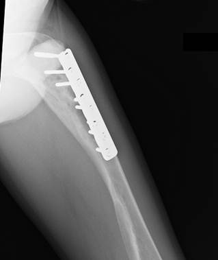
Сросшийся
перелом бедра у мальчика 13 лет с несовершенным остеогенезом, остеосинтез простой пластиной со множеством
винтов. Видна типичная деформация
бедренной кости по типу «галифе», следы
неоднократных переломов в прошлом.
Применение операции Богданова в
возрасте 5- 6 лет позволило бы избежать этих негативных явлений и предотвратить
переломы.
Ахондроплазия (хондродистрофия, карликовость)
У
этих больных поражены зоны роста трубчатых костей, в результате чего они
практически не удлинняются. При этом
периостальный рост кости не нарушен, т.е в ширину кости растут нормально. У
больных не нарушен рост позвоночника. В результате у человека укорочены руки и
ноги, они непропорционально толстые и мощные. Нередко наблюдается варусная
деформация ног в коленных суставах. Укорочение конечностей происходит
преимущественно за счёт плеча и бедра – потому размер обуви у них может
соответствовать возрасту или быть слегка меньше. Это люди – карлики, совершенно
нормальные люди с вот такой оригинальной внешностью. Среди них есть немало
знаменитостей, например, Владимир Фёдоров (1939-2021) – учёный и звезда кино.


Владимир
Фёдоров в фильмах «Кин – Дза – Дза» (Мосфильм, 1986) и «Через тернии к звёздам» (Киностудия им. М.
Горького, 1980).
Диагноз
ставится на основании типичной клинической картины и всестороннего обследования
больного смежными специалистами – есть много причин карликовости (патология
гипофиза, щитовидной железы) и они должны быть исключены. Первые признаки
болезни можно заметить уже после рождения ребенка – у него короткие руки и
ноги, но на первом году жизни это может особо и не броситься в глаза. Этиология
заболевания неизвестна.
Прогноз
для больных ахондроплазией в целом благоприятный с понятными ограничениями.
Дети должны регулярно осматриваться на предмет формирования варусных деформаций
нижних конечностей: coxa vara, варусная деформация в коленном суставе. Если
деформация оси нижних коенчностей начинает значимо влиять на функцию ходьбы, то
следует применять её хирургическую коррекцию. Здесь нельзя дать каких – то
определенных значений углов деформаций, всё решается индивидуально. Разумеется,
метод гемиэпифизиодезов у этих детей неприменим, потому им приходится делать
корригирующие остеотомии.
Болезнь Оллье
(дисхондроплазия, хондроматоз костей)
Это
редкое заболевание, проявляющееся формированием очагов хрящевой ткани в костях.
Оно связано с нарушением дифференцировки эмбрионального хряща и хряща ростковой
зоны.
Как
проявляется болезнь? – Она может быть обнаружена случайно при выполнении
рентгенограмм по поводу травм, на которых находят очаги рентгенопрозрачной
ткани в костях. В других случаях у детей замечают деформацию конечностей или
твердые узлы на пальпируемых участках костей, делают рентгенографию и
обнаруживают крупные очаги рентгенопрозрачной ткани, деформирующие кости. У
некоторых детей деформации конечностей сопровождаются их абсолютным
укорочением. Большие хондроматозные (хрящевые) узлы могут быть причиной
патологических переломов. Можно отдельно выделить поражение болезнью Оллье
пальцев и пястных костей кистей, которое имеет вид узловых разрастаний на
кистях (иногда на стопах). У некоторых больных описаны изменения вен нижних
конечностей: вены образуют ангиоматозные клубки, в толще которых иногда
обнаруживаются флеболиты (скопления кальция в стенке вен). Это явление получило
название синдрома Маффучи. Насколько оно распространено мы сказать не можем.
Болезнь
Оллье носит распространенный характер, поражая несколько костей с обеих сторон,
что позволяет практически сразу отдифференцировать её от хондромы (костной
опухоли из хряща), которая всегда представлена единичным узлом. В подавляющем
большинстве поражаются длинные трубчатые кости, однако описаны очаги
хондроматоза в плоских костях (таз, лопатки) и костях основания черепа.
Диагностика
болезни Оллье основывается на рентгенологическом исследовании.
Рентгенологическая картина на простых снимках достаточно специфична: в
метафизарных зонах костей обнаруживаются скопления рентгенопрозрачной ткани,
которые практически всегда связаны с ростковой зоной – это очень важный момент!
Именно зоны роста являются источником хондроматозных узлов и обнаружение этой
связи является веским аргументом в пользу диагноза болезни Оллье. Узлы
отдавливают, истончают и часто деформируют кортикальный слой, могут его
прободать и выходить под надкостницу – на снимке это проявляется прерывистостью
кортикальной линии в области хондроматозного узла – это тоже важный
диагностический признак. Иногда
выполняется трепанобиопсия узлов, которая выявляет обильно васкуляризованную
ткань со множественными мелкими очагами гиалинового хряща.
Лечение
болезни Оллье дифференцированное – его план строится в зависимости от
объема, локализации поражения и
причиненного им вреда. Если у больного выявлен единичный очаг хондроматоза, то
он тотально удаляется путем внутриочаговой или секторальной резекции кости с
последующей костной пластикой, удаленный материал отправляется на
гистологическое исследование. По сути это эксцизионная биопсия. Если выявляется
поражение труднодоступной локализации (например, кости основания черепа), то
применяют сдержанную выжидательную тактику, больные тщательно наблюдаются.
Очаги
хондроматоза при болезни Оллье или не растут, или растут чрезвычайно медленно,
со временем они могут обызвествляться. Их склонность к злокачественному перерождению
очень низкая, что позволяет применять к больным с минимальными клиническими
проявлениями консервативную тактику, основанную на охранительном режиме и
наблюдении. Больным строго запрещены физиопроцедуры.
У
больных, у которых хондроматоз привел к деформации конечностей или
патологическим переломам, требуется хирургическое лечение. Производится
внутриочаговая резекция причинного узла с костной пластикой по общим
принципам, ликвидируется деформация
кости приемлемым в конкретном случае методом, накладывается иммобилизация или
выполняется остеосинтез.
Фиброзная остеодистрофия
(болезнь Брайцева – Лихтенштейна, фиброматоз костей)
Эта
болезнь весьма похожа на только что описанный хондроматоз Оллье. Вот её главные
признаки и отличия:
В
диафизах костей формируются очаги неоссифицированной фиброзной ткани, они не
связаны с зонами роста.
Очаги
находятся в толще кориткального слоя, истончают его, но никогда не выходят
поднадкостнично и не прерывают кортикальный слой.
Источником
фиброзных узлов является эмбриональная мезенхима.
Болезнь
может носить как моноочаговый характер, так и распространенный
Очаги
имеют бóльшую склонность к злокачественному перерождению
Клиинческая
картина заболевания практически не отличается от болезни Оллье: деформации
конечностей, вздутия на костях, патологические переломы. Кроме того, при
фиброзной остеодисплазии может наблюдаться необычная веснушчатая пигментация
кожи и преждевременное половое созревание, причем у девочек с признаками
маскулинизации. Описанная картина носит название синдрома Олбрайта. Возможны и
бессимптомные формы болезни, обнаруживаемые случайно.
Диагностика
рентгенологическая, аналогичная болезни Олье. Картина на снимках при
распространенной форме достаточно типичная: интракортикальные
рентгенопрозрачные очаги в диафизах, отсутствие связи с метафизарными
пластинками, кортикальный слой не прерывается. Диагностика моноочаговой формы
затруднительна и обычно основывается на данных рентгеновских методов
исследования и трепанобиопсии очага. Гистологически обнаруживается
неоформленная соединительная ткань с фибробластоподобными клетками,
костеобразующих элементов в ней нет.
Лечение
фиброзной остеодисплазии аналогично лечению болезни Оллье, но с учетом
бóльшей склонности очагов к озлокачествлению. Некоторыми специалистами
рекомендован расширенный хирургический подход: удаление всех выявленных очагов.
Однако же выполнить эту рекомендацию иногда сложно из – за распространенности
процесса или труднодоступности очага, потому часть их приходится оставлять под
наблюдение.
Эностозы
Эностоз
является редкой, но регулярной рентгенологической находкой на снимках,
выполняемых по различным поводам (травмы, снимки легких). Он выглядит как
округлое рентгеноконтрастное тело в метафизах трубчатых костей, в теле лопатки,
позвонков, ребер. Особенно отчетливо эностозы видны в губчатой кости метафизов
костей, формирующих коленный сустав. По своей сути это очаг грубоволокнистой
костной ткани, причина формирования которого не ясна. В большинстве случаев
эностозы являются единичной находкой.
Большинство
эностозов не представляют какой – то опасности, но мы рекомендуем больным
ретгенологический контроль через год и два года с обязательным сравнением с
предыдущими снимками.
Костно – хрящевые экзостозы и экзостозная дисплазия
Костно
– хрящевой экзостоз представляет собой вырост на теле трубчатой кости, чаще
всего локализованный в метадиафизарной зоне. Основную массу экзостоза
составляет костная ткань, его закругленная головка покрыта хрящом. По форме
экзостоз напоминает надувающийся воздушный шар, сидящий своей нижней узкой
частью на кости. Купол шара (экзостоза) обычно направлен от зоны роста.
Экзостозы
могут поражать все трубчатые кости: от бедренной до ногтевых фаланг пальцев,
причем частота их встречаемости на крупных и мелких костях приблизительно
одинаковая. У подавляющего большинства больных имеется только один экзостоз в
каком – то определенном месте. У единиц из них экзостозы могут быть
множественными – на руках, ногах с обеих сторон.
Механизм
формирования костно – хрящевого экзостоза хорошо известен. В результате
дисфункции зоны роста от неё отделяется участок росткового хряща и в процессе
удлиннения кости мигрирует на диафиз. Участок мигрировавшего хряща продолжает
выполнять свою функцию и в новом месте: он вырабатывает новую костную ткань,
которая вначале выглядит как небольшой выступ, со временем он удлинняется и
расширяется, превращаясь в пресловутый «воздушный шар». Расширение выступа
связано с разрастанием участка хряща, который покрывает его купол. Рост
экзостоза продолжается ровно столько, сколько продолжается костный рост
организма в целом. Как только в 15-16 лет он прекращается, экзостозы тоже
перестают увеличиваться в размерах. Вред, причиняемый экзостозами, может быть
разным: иногда они протекают бессимптомно и без последствий, иногда они
начинают давить на окружающие ткани и вызывают боли. Часто экзостозы,
располагающиеся на смежных костях (пястные кости, плюсневые кости) надавливают
на соседние кости и приводят к их истончению и их патологическим переломам. Вред
от экзостоза пропорционален его рамеру. Склонность экзостозов к
озлокачествлению очень низкая, но не исключается совсем.
Экзостозы
могут обнаруживаться случайно при выполнении рентгенографии по другим поводам.
Иногда причиной рентгенологического обследования становятся боли, пальпируемые
твёрдые, неподвижные узлы, патологические переломы. Мы уже описывали
подногтевые костно – хрящевые экзостозы и предупреждали о том, что их часто
принимают за бородавки. Картина на снимках типична, диагноз не вызывает сомнений.
Если у больного имеется только один экзостоз, не стоит вести речь об
экзостозной болезни (экзостозной дисплазии). Им ставится диагноз в единственном
числе: «к.-х. экзостоз в такой – то области». А вот если экзостозы
множественные, то да – это экзостозная дисплазия. У этих детей обнаруживаются
многочисленные экзостозы в области локтевого, коленого суставов; экзостозы
причиняют им достаточно проблем из – за контакта с сосудами и нервами. Иногда
наблюдается перелом ножки большого экзостоза у основания, но он продолжает
рост. И растет как раз отломанная часть, несущая купол с хрящом, экзостоз
превращается в свободное костное тело. В области «пенька» экзостоза на
материнской кости роста нет.
Убедиться
в том, что экзостоз единичный, что у ребенка нет экзостозной дисплазии, можно
только выполнив рентгеновское обследование обеих коленных и локтевых суставов
как мест наиболее частой локализации экзостозов. Потому при обнаружении
единичного экзостоза следует расширить рентгеновское обследование на все эти четыре
сустава. Будет допустимо выполнить только прямые рентгенограммы, а боковыми
дополнить их только при обнаружении экзостозов или иной патологии.

Подногтевой
костно – хрящевой экзостоз на мизинце стопы
у мальчика 12 лет. Обратите внимане на неестественную форму ногтевой
фаланги, сравнив её с ногтевыми фалангами соседних пальцев. Нарост в виде шапочки и есть экзостоз. Его
размер даже больше самой фаланги.
Верхняя часть экзостоза в виде
своеобразной «макушки» проступала под кожей ногтевого ложа и очень напоминала бородавку.

Крупный
костно – хрящевой экзостоз на третьей плюсневой кости у ребенка 10 лет. Купол
экзостоза деформировал и
истончил
четвертую плюсневую кость.
Лечение
единичных костно – хрящевых экзостозов несложное: показано его удаление путем
срезания с тела кости желобоватым долотом. Некоторыми обращается внимание на
то, что ножка экзостоза должна быть удалена очень тщательно, чтобы на её месте
осталась ямка. В принципе, все так и делают, но риск рецидива сильно
преувеличен: зона роста экзостоза находится на его куполе, а уж его вы точно
удалите. Сложность операции определяется локализацией экзостоза. В случае
экзостозной дисплазии операция значительно усложняется количеством экзостозов и
их тесным контактом с сосудами и нервами. От удаления некоторых экзостозов в
опасных зонах приходится отказываться. Удаление подногтевого экзостоза (который
выглядит как бородавка) выполняется под местной анестезией после частичного удаления
ногтя. Экзостоз очень легко удаляется вместе с измененной над ним кожей
безударным долотом Воячека, затем край кожной раны подшивается к краю ногтя.
Отдельный
вопрос - как посутпать с единичными случайно выявленными экзостозами. В
принципе, их удаление не обязательно. В решении этого вопроса надо
руководствоваться размером экзостоза, его локализацией и возрастом ребенка.
Можно не удалять мелкие экзостозы у детей старше 12 лет при условии их
бессимптомного течения. В возрасте 15-16 лет следует выполнить рентгеновский
контроль состояния оставляемого экзостоза и принять окончательное решение.


Костно
– хрящевой экзостоз, случайно обнаруженный у мальчика 13 лет на рентгенограмме
локтевого сустава. Снимок выполнен по поводу травмы - обратите внимане на
небольшое смещение ядра окостенения латерального надмыщелка. Была предпринята иммобилизация конечности на
10 дней. Экзостозы в нижней части плечевой кости часто имеют форму акульего
плавника, это типично для них. Отчётливо виден перелом экзостоза. У больного не было никаких его клиинческих
проявлений. Рекомендована контрольная рентгенограмма области экзостоза в 15
лет. Вероятно, что удалять его не потребуется. А если бы не лёгкая травма, то
об экзостозе вообще никто не узнал бы.