Глава
17. Боли в области коленного сустава
у
детей и подростков
Жалобы
на боли в коленях являются очень частыми в повседневной практике. Встречаемость
этой жалобы возрастает с возрастом детей. Младшие школьники почти не жалуются на
боли коленях, подавляющее большинство жалоб предъявляется подростками.
Успешность работы с этими детьми определяется последовательным подходом к
диагностике.
Прежде
всего надо собрать жалобы и анамнез.
Обязательными вопросами будут такие:
Болит
одна нога или две ноги?
Когда
заболело? Не было ли травм и прочих проблем с суставом, в том числе в
отдаленном прошлом?
Каков
характер болей: острый / ноющий, постоянный /
периодический,
локальный / разлитой.
Нет
ли болей в других суставах?
Чувствительны
ли боли к обезболивающим препаратам (анальгин, парацетамол и пр.)?
Следует
выяснить у родителей или в документации наличие у ребенка ревматологических
заболеваний.
Далее
можно приступить к осмотру: внешний вид, болезненность при пальпации, выпот.
Проверяют объем движений в суставе и стабильность сустава: делают тесты
выдвижных ящиков, проверяют большеберцовую и малоберцовую девиации. Тесты
выдвижных ящиков проводят у лежащего больного, нога которого согнута под углом
90° и стоит на кушетке «домиком». Исследующий садится прямо на стопу больного,
прижимая её бедром к кушетке, а руками тянет голень на себя (передний выдвижной
ящик) и толкает назад (задний выдвижной ящик). Видимое смещение голени вперед
(передний выдвижной ящик) говорит о повреждении передней крестообразной связки,
смещение назад (задний выдвижной ящик) о повреждении задней крестообразной
связки. Далее нога сгибается в коленном суставе на 15-20°, бедро надежно
удерживается и делаются попытки отклонения голени кнутри и кнаружи: так
проверяются латеральная и медиальная коллатеральные связки коленного сустава.
При выполнении этих проверок обращают внимание не только на смещения, но и на
болезненность манипуляций. Проверяют подвижность надколенника, смещая его
кнаружи и кнутри: он должен быть подвижен, но не вывихиваться. На смещения
ребенок не должен реагировать: если он испугался, схватил вас за руки, то стоит
думать о привычном вывихе надколенника. Не спрашивайте ребенка о боли во время
пальпации, проведения тестов на стабильность и т.п. – он всегда ответит, что
больно. Настоящую боль дети не станут терпеть и выскажут вам всё сразу.
Двухстороннее
поражение коленного сустава наталкивает на мысль о системном процессе,
например, каком – то ревматологическом заболевании или проблеме, связанной с
ростом (например, остеохондропатии). Одностороннее поражение свойственно
травматическим и посттравматическим изменениям, опухолевым или инфекционным
поражениям. Этот признак не обладает высокой специфичностью: нередко
остеохондропатии, ревматологические заболевания поражают один коленный сустав.
Одновременное
поражение коленного сустава с другими суставами (локтевыми, голеностопными)
заставляет подумать о каком – то ревматологическом процессе.
Рентгеновское
обследование поражённого сустава (суставов) проводится во всех случаях.
Детям
полагается стандартное лабораторное обследование: общеклинические анализы,
определение показателей С-р.б. и ревмофактора. Их можно пропустить только в
случае выявления таких безобидно - очевидных проблем, как остеохондропатии
бугристости большеберцовой кости или надколенника.
Еще
раз напоминаем вам то, что вы уже знаете – при всяких болях в области коленного сустава следует
проверять тазобедренные суставы. Начинают с их физикльного исследования, а при
выявлении сколько – нибудь значимых аномалий назначают рентгенограмму таза.
Из
инструментальных методов исследования, кроме рентгенографии, в диагностике
заболеваний коленного сустава применяется МР – томография, РК – томография,
сонография и артроскопия.
МР
- томография хорошо визуализирует суставной хрящ, мениски, связки, видит
воспалительные процессы. Метод оказывает
большую помощь в трудных диагностических случаях, обязателен в комплексе
предоперационного обследования. Некоторые уверены, что МР-томография позволяет
стопроцентно диагностировать все заболевания коленного сустава – и они серьезно
ошибаются. Есть много ситуаций, когда назначение МР – томографии не оправдано
или не даёт никакой дополнительной информации. И это при том, что она
выполняется на чрезвычайно дорогом оборудовании, ресурс которого ограничен.
Поголовное назначение этого обследования не делает чести врачу и наносит убытки
учреждению, в котором он работает.
РК
– томография в диагностике поражений коленного сустава применяется ограниченно,
потому что это рентгеновский метод исследования. Он не видит хрящ, связки,
мениски. Метод применяют в случаях посттравматических изменений костных
структур, для диагностики болезни Кенига, при опухолевых и диспластических поражениях
в области коленного сустава.
Сонография
коленного сустава может оказать большую помощь в работе: она отлично выявляет
избыточную жидкость в суставе, видит связку надколенника и ядра окостенения в
зоне его вершины, видит ядро окостенения и зону роста бугристости
большеберцовой кости. Высококлассные аппараты способны визуализировать мениски
и крестообразные связки. Но, несмотря на такие успехи, сонография не может
заменить МР – томографию в работе с коленным суставом. Это вспомогательный
метод, опираться на его данные в постановке клинического диагноза можно далеко
не всегда.
Артроскопия
является разновидностью эндоскопических исследований для крупных суставов – коленного и плечевого.
Эти суставы имеют достаточно широкую капсулу, которая и делает исследование
возможным. Капсулу заполняют водной средой (изотоническим раствором), который
расправляет её и дает оптическое пространство. Введеный в её полость жесткий
эндоскоп с осветителем позволяет осмотреть практически все структуры коленного
сустава. Первоначально метод был чисто диагностический, со временем были
разработаны эндоскопические инструменты для лечебной работы в полости сустава:
ножницы, кусачки, захваты, эндоскопические иглы, коагуляторы и прочее. Так
диагностическая операция артроскопии стала лечебно – диагностической. Для
ускорения производства операций существуют моторизированные инструменты в виде
вращающихся фрез, называемые шейвера. Для некоторых вмешательств (шов мениска,
шов крестообразных связок) созданы наборы адаптированного специнструмента. В
настоящее время большинство операций на коленном суставе выполняется полностью
артроскопически или начинаются с артроскопии. У метода есть свои ограничения:
это операция со всеми прилагающимися к ней рисками. Показания к артроскопии
ставятся только после всестороннего обследования ребенка другими методами и
твердой уверенности в её безальтернативности.
Есть
ещё один простой метод диагностики заболеваний коленного сустава - пробное
внутрисуставное введение новокаина. Это очень простая манипуляция, мы её часто
практикуем. 10-20 мл. 0,5% раствора новокаина смешивается с таким же
количеством изотонического раствора и вводится в коленный сустав. Перед
пункцией сустава надо выполнить анестезию кожи и подкожной клетчатки 0,5%
новокаином. Пункция выполянется иглой с зеленой канюлей с обязательным
предпосыланием вперед раствора новокаина. Спешить не нужно. После пункции
сустав слегка надувается жидкостью, четко определяется флуктуация надколенника.
Выжидаем пять - десять минут для хорошей резорбции и анестезии внутрисуставных
структур, после чего предлагаем больному походить, выполнить другие движения и
оценить эффект. Если боль прошла, то можно говорить о том, что её причина
внутрисуставная. Если нет – то причина боли вне полости сустава. Жидкость из сустава
рассасывается через несколько часов.
Острый вывих надколенника
Это
явление считается травмой, хотя часто оно происходит без всяких внешних
воздействий, при абсолютно расчётных нагрузках во вермя бега, прыжков и прочих
вариантах повышенной детской активности. Мы описывали вывих надколенника в разделе процедур осмотра
достаточно подробно, потому что родители должны быть хорошо информированы про
него.
Диагностика
очень проста – достаточно посмотреть на больного и всё становится понятно. Дети
очень сильно напуганы, это надо учитывать. Нога ребенка находится в
полусогнутом состоянии, область коленного сустава запавшая, потому что
надколенник находится сбоку – он перескочил через латеральный мыщелок бедра и
зацепился там, потому не может вернуться назад. Проводится рентгенография
коленного сустава, что надо делать обязательно – не для диагностики вывиха, а
для того, чтобы убедиться в отсутсвии дополнительных травм. Если имело место
какое – то внешнее травмирующее
воздействие на коленный сустав, там кроме вывиха очень даже может быть
перелом мыщелков, межмыщелкового возвышения или надколенника. Это определяет
нашу дальнейшую тактику.
Вывих
надколенника без сопутствующих травм следует поскорее вправить. Это можно
сделать без анестезии и наркозов. Ребенок удобно укладывается на кушетку, под
пострадавшую согнутую ногу подкладывается валик чтобы ему было удобно и он
расслабился насколько это возможно. Помощник берет ногу за стопу и слегка
потягивает её, разгибая. Ребенка нужно
постоянно успокаивать и убеждать не напрягать мышцы ноги. Врач одной рукой
придерживает ногу ,а второй мягко и медленно пытается вернуть надколенник на
место. Секрет успеха скрыт в неспешности и настойчивости. В случае неудачи
следует прибегнуть к кратковременному наркозу – надколенник часто вправляется
самостоятельно, как только расслабятся мышцы.
Под наркозм следует вправлять вывих надколенника, который сочетается с
другими травмами, а после вправления вывиха продолжить ими заниматься.
После
вправления вывиха надо осмотреть сустав на предмет гемартроза. Обычно он
минимальный или отсутствует. Если он выражен, то будет совсем не лишним
произвести пункцию и удалить кровь.
После
острого вывиха надколенника коленный сустав неизбежно поврежден! Считается, что
острый вывих надколенника может приводить к трём повреждениям:
Растяжения
и надрывы медиального ретинакулюма и медиальной пателлофеморальной связки
Краевой
перелом надколенника
Краевой
перелом латерального мыщелка
Краевые
переломы встречаются редко и на простых рентгенограммах могут быть не заметны.
Повреждение ретинакулюма и пателлофеморальной связки в той или иной мере есть у
всех детей, перенесших вывих. Именно повреждения ретинакулюма и
пателлофеморальной связки приводят к тому, что надколенник становится
нестабильным и его вывихи начинают повторяться раз за разом. Для того, чтобы
это не случилось, после вправления вывиха надо предпринять лечение, которое
может быть радикальное оперативное и сдержанное консервативное.
Консервативное
лечение очень простое: сразу после вправления накладывается задняя прямая
лонгета без стопы или шина, нога полностью разгружается на 1-2 дня. Затем шина
меняется мягкий коленный ортез, который удерживает сустав в выпрямленном
состоянии и не дает ему сгибаться. При отсутствии ортеза имеющуюся лонгету
прибинтовывают эластичным бинтом, потому она должна быть достаточно прочной.
Больной может ходить на прямой ноге с ортезом, на ночь ортез не снимают, а
только ослабляют! Так же поступают и с лонгетой, ослабляя эластичный бинт. Это
очень важно – человек может во сне согнуть ногу и вывих повторится.
Иммобилизация ортезом (лонгетой и бинтом) продолжается 3 недели. У подавляющего
большинства детей вывих больше не повторяется, хотя некоторый риск этого
остаётся.
Оперативное
лечение состоит в срочном ушивании медиального ретинакулюма под
артроскопическим контролем (операция по Ямамото). Методика достаточно простая:
при помощи артроскопа внутри полости коленного сустава обнаруживается разрыв
капсулы, который и обозначает поврежденный ретинакулюм. При помощи длинных игл
разрыв ретинакулюма ушивается таким образом, что половина шва проходит через
полость сустава, половина под кожей. Используются только рассасывающиеся нити,
что очень важно для растущих детей. У них то, что по размеру сегодня, станет
малó завтра. И если применить нерассасывающийся шовный материал, то
надколенник со временем сместится медиально. Обычно накладывают 3-4 шва.
Ревизируют полость сустава: осматривают латеральный мыщелок и надколенник на
предмет возможных краевых переломов, удаляют костные и хрящевые фрагменты если
они есть. Реабилитация после операции полностью аналогична консервативному
лечению. Вы спрашиваете, зачем же тогда операцию делать? – Вопрос в надёжности.
После ушивания ретинакулюма вероятность повторного вывиха ничтожно мала. Эту
операцию делают высококлассным спортсменам для того, чтобы они были надёжны,
чтобы вывих не повторился во время важных соревнований.
Гипермобильность надколенника
и его привычный вывих
Привычный
вывих надколенника встречается не часто, приблизительно 1-2 раза в год на
областном уровне. У этих детей раз за
разом случаются вывихи надколенника. Они часто самовправляются, иногда больные
вправляют их сами себе.
Анамнез
болезни типичен: у ребенка когда – то был [первичный] вывих надколенника, после
которого вывихи начали повторяться. Обычно у этих детей после первого вывиха не
предпринималось никакого лечения или оно было формальным.
У
разных больных одна и та же проблема вызывает разные жалобы. Есть дети, которые
особо не тяготятся и не пугаются вывихов. Но есть и те, у которых повторные
вывихи вызывают такую же бурю впечатлений и эмоций, как и первичный вывих. Они
их очень боятся и когда вы во время осмотров прикасаетесь к надколеннику
начинают очень сильно нервничать, иногда даже отбиваться. Страх вывиха
негативно влияет на жизнь ребенка: он боится ходить, бегать. К счастью, такая
ситуация бывает достаточно редко. Но бывает.
Лечение
привычного вывиха надколенника начинается с консервативных мероприятий, которые
обязательны во всех случаях. Применяется эластичный ортез с отверстием для
надколенника – он предотвращает вывихи весьма эффективно. Использовать его
следует в дневное время, а на ночь снимать. Спустя приблизительно месяц
оценивают результат. Учитывают были ли вывихи, насколько уменьшился дискомфорт.
В большинстве случаев этого лечения будет достаточно. Многие специалисты в
области хирургии коленного сустава подтверждают факт, что у людей старше 20 лет
вывихи надколенника прекращаются. Следует пользоваться ортезом до 18 лет, потом
пробовать его снять. Если вывихи будут повторяться, то продолжить использовать
ортез еще год – два.
У
отдельных детей ортезирование не приводит к желаемому результату, они
продолжают панически бояться вывиха. Отсутствие вывихов при носке ортеза их не
успокаивает. К отдельной группе детей относятся спортсмены – юниоры. И у
первых, и у вторых есть показания к хирургическому лечению.
В
основе патогенеза привычного вывиха надколенника лежит повреждение медиальной
пателлофеморальной связки. Её восстановление может быть достигнуто при помощи
различных операций на связочном аппарате надколенника. Классическими считаются
операции по методам Крогиуса и Кэмпбелла. Их суть легко понятна из рисунков.
Несмотря на то, что они разработаны больше ста лет назад, эти операции хорошо
подходят для детей: их эффект не утрачивается и не искажается в процессе роста.
Операция
шва ретинакулюма по Ямамото при привычном вывихе надколенника противопоказана!
Ретинакулюм и пателлофеморальная связка разорваны давно, их концы зарубцевались
и сшивать их бесполезно. Как только произойдет рассасывание нитей, вывих рецидивирует. Но есть интересный
вариант «несанкционированного» применения операции по Ямамото при привычном вывихе
надколенника. Его можно делать только у старших подростков, которые практически
завершили рост. Для швов берутся толстые капроновые нерассасывающиеся нити, а
сами швы накладывают с некоторым натяжением, которое подбирается шестым
чувством. По сути это операция лавсанопластики медиальной пателлофеморальной
связки и ретинакулюма. Некоторые клиники сообщают о хороших результатах. Мы не
можем ни подтвердить, ни опровергнуть их утверждения. Можем только подтвердить
то, что эту операцию нельзя делать растущим детям, т.е. в возрасте младше 15
лет.
Остеохондропатии надколенника и
бугристости большеберцовой кости
Про
болезни Огуста – Шлаттера и Ларсена – Хансена – Иогансена вы практически все
уже знаете. Это относительно безобидные заболевания, которые очень легко
диагностируются на основании типичной
клиники и осмотра. Пальпация причинных зон выявляет болезненность и небольшой
отёк. Не забудьте проверить тазобедренные суставы, о чем мы вас неоднократно
предупреждали. Выполняется рентгенография пораженного коленного сустава.
У
некоторых детей в анамнезе есть травмы: упал на колени, ударил ногой по мячу со
всех сил, после чего появляется боль в области вершины надколенника или
бугристости большебецовой кости. Нередко боль умеренная, потому обращаются
через несколько дней. Эти больные подозрительны на отрывной перелом вершины
надколенника или бугристости большеберцовой кости, который в своей сути
является апофизеолизом. Признаками разрыва зоны роста считается ширина её
просвета на снимке больше 3 мм., непараллельность её краев и их зазубренность.
Если признаков апофизеолиза нет, то следует предполагать остеохондропатию – она
очень часто провоцируется травмой. На снимках по классическим представлениям
остеохондропатия проявляется волнообразными, размытыми краями зоны роста. Ядро
окостенения может быть фрагментировано, при этом фрагменты имеют закругленную,
плавную форму. Иногда описанные изменения обнаруживаются, а иногда нет. Потому
по данным рентгенографии диагноз остеохондропатии можно подтвердить, но
исключить нельзя. Если клиника и анамнез соответствуют остеохондропатии, но на
снимках специфических изменений нет, то её диагноз всё равно можно выставлять.
Для
лечения апофизеолиза с умеренным смещением (в пределах 3-4 мм) достаточно
иммобилизации ноги в разогнутом положении гипсовой лонгетой на 3 недели.
Бóльшие смещения требуют репозиции и фиксации.
Лечение
этих заболеваний обычно не требуется. Детей нужно обязательно освободить от
физкультуры. Ускорить выздоровление можно местными тепловыми процедурами. Как
правило, уже после первой недели разгрузки и прогреваний наблюдается улучшение.

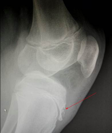
Боковой
снимок коленного сустава мальчика 13 лет. Болезнь Огуста – Шлаттера. Очень хорошо виден очаг поражения эпифиза
большеберцовой кости в зоне её бугристости. Костная ткань в зоне поражения
разрежена и фрагментирована.

Боковой
снимок коленного сустава мальчика 14 лет.
Жалобы на плотное, безболезненное образование в области бугристости
большеберцовой кости. В анамнезе 1 год назад
имелась болезнь Огуста – Шлаттера
с типичными проявлениями ( боль, отек). Симптомы прошли в течение 2
месяцев. На момент осмотра жалоб на боль нет. В области бугристости
определяется твердое, округлое, неподвижное образование размером с лесной орех.
На снимке образование рентгенонегативное,
вдается в ткань эпифиза (обозначено стрелками). Такое явление иногда имеет место: после болезни Огуста – Шлаттера
в толще бугристости могут образовываться плотные фиброзные узлы. Рекомендовано удаление новообразования. При
операции обнаружен плотный узел из слабо
васкуляризованной ткани, напоминающей хрящ. Удален в пределах неизмененных
тканей. Гистологическое заключение:
костно – хрящевая дисплазия.
Болезнь Кенига
Это
редкая и весьма подлая болезнь, которая может поражать детей от младшего школьного
возраста до старшего подросткового. Её подлость заключается в размытой клинике,
что затрудняет не только диагностику, но даже предположение диагноза.
Суть
болезни в поражении хряща мыщелков бедренной кости. Этиология болезни
неизвестна. Происходит локальное размягчение и отслойка хрящевого покрытия
мыщелков, в результате чего деформируется его суставная поферхность и
формируется внутрисуставное свободное тело. Обычно хрящ отделяется с небольшим
подлежащим кусочком кости. Каждый из нас видел, как отпадает облицовочная
плитка от стены – вот вам лучшее сравнение. Дефект не сможет покрыться новым
хрящом, он заполняется рубцовой тканью. Учитывая то, что он часто находится в
высоконагруженных зонах мыщелка, последствиями будут хроническая боль,
«защелкивания» сустава из – за вклинения свободного внутрисуставного тела между
поверхностями мыщелков и развитие артроза в перспективе. В 85% случаев
поражается медиальный мыщелок на своей внутренней и нижней поверхности.
Самым
ранним признаком болезни является боль в коленном суставе при ходьбе. Боль
ноющая и непостоянная, что делает симптомы размытыми. Так может продолжаться
достаточно долго, боли особо и не усиливаются. Следующим этапом становятся
болевые блокады коленного сустава, которые связаны с формированием свободного
внутрисуставного тела.
Диагностика
болезни Кенига строится на тщательном сборе анамнеза и осмотре больного.
Обращают внимание на длительность болей, их локализованность в коленном суставе
(по наружной стороне, по внутренней стороне или по центру сустава). Особое
подозрение возникает в случае наличия треска, хруста в коленном суставе или
болевых блокад сустава (контрактура сустава из – за сильных болей).
Рентгенография
не видит поражения хряща, изменения выявляются лишь в поздних стадиях болезни,
когда фрагмент хряща отпадает вместе с участком подлежащей кости или происходит
резорбция оголившегося субхондрального костного слоя. На снимках обнаруживается
овальная ниша на тени мыщелка. Хорошим методом диагностики болезни Кенига
является МР – томография, менее эффективна, но тоже применима РК - томография.
На МР – томограммах хорошо виден хрящ и его локальные изменения, тогда как на
РК – томограммах видны лишь изменения субхондральной кости (но видны
исключительно хорошо). МР – томография способна выявить внутрисуставные
свободные тела, КТ – томорафия может это сделать только при включении в них
участков кости, чисто хрящевые тела видны не будут. «Золотым стандартом»
диагностики является артроскопия, которая позволяет осмотреть хрящ, но она
связана с операционным риском, потому к ней прибегают только в отдельных
случаях.
Общеприняты
четыре стадии болезни Кенига по данным артроскопии:
I Хрящ не блестит, матового цвета
II Хрящ становится мягкий и желтеет
III Хрящ начал отслаиваться
IV Сформировался дефект хряща с резорбцией
субхондрального
слоя кости.
Лечение
болезни Кенига может быть консервативным и оперативным.
Консервативное лечение
Консервативное
лечение возможно только у детей: детский хрящ сохряняет способность к регенерации
и дефекты могут закрываться зарастанием с краев. Для этого применяется
длительная иммобилизация и разгрузка ноги. Нагрузка на конечность полностью
исключается – дети пользуются костылями. Иммобилизацию необходимо проводить
коленным ортезом со вставками жесткости. Желательно, чтобы ортез фиксировал
ногу в небольшом сгибании в коленном суставе, так будет легче пользоваться
костылями. Минимум два раза в день следует проводить пассивную гимнастику в
коленном суставе: ребенок ложится, снимает ортез, берем его за голень и сгибаем
– разгибаем ногу в коленном суставе. Сколько делать? – А насколько хватит сил.
Причем делать это желательно два раза в день. На время сна ортез снимается, его
использование во время сна не имеет смысла.
Исследования
на животных показали, что пассивные движения в ненагруженном суставе
способствуют закрытию достаточно больших дефектов в суставном хряще. У
животных, которым не проводились пассивные движения, закрытия отверстий не
произошло, они зарастали рубцовой тканью. Следует использовать эти данные на
практике и уделять пассивной гимнастике максимум времени. Гипсовая
иммобилизация при болезни Кенига очень нежелательна.
Срок
лечения 3 месяца, по истечении которых оценивают результат. Делают контрольную
рентгенографию. Если дефект был виден на снимке, то ниша должна закрыться или
быть в процессе закрытия. Если диагноз был поставлен по клиническим данным или
данным МР – томографии, то главным критерием успеха будет отсутствие болей, а
на снимке не должно быть изменений. Ребенок начинает нагружать ногу, что должно
быть мало или совсем безболезненным. Если результата консервативного лечения
нет (сохраняются боли, ниша не закрылась), то его продолжение не имеет смысла.
Оперативное лечение
Лечебно
- диагностическая артроскопия позволяет подтвердить диагноз, установить стадию
процесса. После выполнения ревизии сустава производят возможные лечебные
манипуляции.
Остеоперфорация
мыщелка может дополнить диагностичсекую артроскопию если выявлено поражение в I – II стадии. Под контролем артроскопа зона поражения
многократно сверлится толстой спицей Киршнера на глубину не больше 1 см., её
нужно буквально изрешетить.
Остеоперфорация вызывает локальное асептическое воспаление, которое
обладает хорошим восстанавливающим действием на хрящ.
Если
выявлена третья и четвертая стадии болезни, то, пержде всего, удаляют свободные
внутрисуставные тела. Затем выполняют обработку зоны поражения вращающимися
эндоскопическими фрезами (шейверами), во время которой удаляют отслоившийся
хрящ, нежизнеспособную кость и рубцовую ткань.
После
выполнения лечебно - диагностической артроскопии проводят курс вышеописанного
консервативного лечения в качестве послеоперационной реабилитации.
Отдельно
стоит операция мозаичной костно – хрящевой аутопластики дефекта, которые
предпринимают в третьей и четвертой стадии болезни. На дистальном конце
бедренной кости, покрытом хрящом, есть нагруженные и малонагруженные зоны.
Болезнь Кенига поражает нагруженные зоны. Утрата же хряща в малонагруженных
зонах не влияет на функцию сустава. Так возникла идея аутотрансплантации хряща
из малонагруженных зон на дефекты, локализованные в нагруженных зонах. Это
достаточно сложный процесс, который выполняется через артротомический доступ с
применением большого количества специального инструментария. Хрящ забирается
вместе с подлежащей костью в виде цилиндриков диаметром 5 мм. и высотой около сантиметра. В месте поражения
выполняют высокоточное сверление каналов, в которые и внедряют донорские цилиндрики.
В результате получается изящное заполнение дефекта своеобразной мозаикой из
кружков хряща. После операции больным накладывается задняя лонгета и
обеспечивается покой оперированной конечности на десять дней. За это время
утихают островоспалительные явления, рассасываеттся выпот в суставе. Снимаются
швы. После десятого дня лонгета меняется
на ортез и дальнейшее лечение ведется точно так же, как консервативное лечение
– с упором на пассивные движения в коленном суставе.
Киста Бейкера
Это
синовиальная киста в области подколенной ямки, которая часто встречается у
детей 3-10 лет. Да, она встечается и у взрослых, но это уже другая история.
Диагностика кисты Бейкера не представляет никакой трудности. Мягкий подкожный пузырек не вызывает боли и
никак не мешает детям. Он может достигать размера каштана или даже больше. При
осмотре аккуратно нажимают на кисту для того, чтобы проверить нет ли у неё
сообщения с полостью коленного сустава. Если таковое есть, киста быстро спадает
и может вообще исчезнуть. Но она надувается снова через пару часов.
Лечение
кисты Бейкера предусматривает её удаление, что означает полноценную операцию. А
у некоторых детей кисты есть на обоих ногах – вот вам две операции. Не нравится
нам это! Не такая это болезнь, чтобы укладывать ребенка под НЕ кратковременный
наркоз. Мы применяем старый пункционный метод лечения, который противопоказан
только при сообщении полости кисты с коленным суставом.
Делают
анестезию кожи в области кисты 0,5% новокаином, применяя шприц для инсулина.
После анестезии кисту пунктируют иглой большого калибра, что очень просто.
Отсасывают содержимое кисты, его может около 10-15 мл. Затем в полость кисты через ту же иглу
вводится 0,5% новокаин. Объем его таков, что киста должна слегка наполниться
им. Нужно подождать не менее 5 минут для того, чтобы произошла достаточная
анестезия стенок кисты. Новокаин отсасывают и вводят в полость кисты 96% спирт.
В оригинале методики спирт смешивают с иодной настойкой, но мы не решились,
потому что на йод бывает аллергия. Спирт вводится до небольшого набухания
кисты, а затем сразу же, насколько возможно, отсасывается – это обязательно!
Если из полости кисты не удалить избыток спирта, то есть риск, что кожа над
кистой некротизируется. Потому лишний спирт после промывания им кисты нужно
обязательно вытянуть. Даже после аспирации избытка спирта в спавшейся полости
кисты его остаётся достаточно для коагуляции стенок. Извлекают иглу, заклеивают
прокол. Спустя некоторое время дети могут ощущать боль в месте процедуры, она
продолжается недолго. Метод практически не дает рецидивов и прост. В случае
рецидива процедуру нужно повторить.
Есть
похожие методики лечения кист Бейкера с введением в полость кисты циклофосфана
(цитостатик) или этоксисклерола (препарат для склеротерапии варикозных вен).
Они в чём – то даже лучше и проще спиртовой коагуляции. Но с циклофосфаном
могут работать только химиотерапевты, да и где вы его достанете? Этоксисклерол
в этом плане гораздо лучше: он доступен, не токсичен и обладает анестезирующим
действием. Соответственно, его можно применять без предварительной анестезии
полости кисты.
Острая болевая блокада коленного сустава
Неприятное
явление, которое иногда встречается у подростков и молодых людей. Ребенок
ощущает внезапную острую боль в коленном суставе, которая вынуждает избегать
движений и не становиться на ногу. При отсутствии движений и нагрузки болей в
колене нет или они незначительные. Обстоятельства, при которых происходит
блокада, могут быть самыми разными. Шёл по лестнице и вдруг острая боль в
колене. Проснулся, встал и неожиданно возникла боль в колене. Занимался
спортом, прыгнул – острая боль в колене. Объединяет все возможные случаи то,
что имели место расчётные, обычные движения в коленном суставе, во время
которых появилась острая боль, блокирующая все возможные в нем движения. У этих
больных не было ударов по коленям, они не подворачивали ноги и т.п. Однако же в
долгосрочном анамнезе у них вполне могут быть выявлены различные травмы, боли в
колене. Так, например, перенесенная когда – то травма мениска с его
повреждением может не беспокоить больного, пока оторванный фрагмент мениска не
застрянет между суставными поверхностями и не приведет к острой болевой
блокаде. Болезнь Кенига может быть успешно излечена консервативно и совершенно
не беспокоить больного, пока свободное внутрисуставное тело, сформировавшееся
несколько лет назад, не стаент причиной острой болевой блокады. Перенесенный
вывих надколенника тоже может стать причиной формирования свободных
внутрисуставных тел, приводящих к острым болевым блокадам. По этим причинам
анамнез у этих больных следует собирать тщательно.
Очень
частой причиной блокад коленного сустава у детей могут быть образования
синовиальной оболочки. Известно, что коленный сустав имеет развитую, обширную
по площади сииновиальную оболочку, на стенке которой есть множество выростов и
складок, есть большое скопление жира в области связки надколенника (тело
Гофа). Некоторые складки синовиальной
оболочки постоянные: медиопателлярная складка, супрапателлярная складка, инфрапателлярная
складка. Иногда синовиальные складки могут попадать между суставными
поверхностями и защемляться, что приводит к острой болевой блокаде. Увеличенное
тело Гофа также может ущемиться или хронически травмироваться суставными
поверхностями. Многими отмечается, что описанные проблемы чаще встречаются у
крупных подростков с избыточным весом. Постоянные синовиальные складки у них
толстые, рыхлые, с большим количеством жировой ткани в толще. Кроме того, на
поверхности синовиальной оболочки обнаруживаются непостоянные мелкие складки и
привески, подобные жировым привескам на кишечнике. Подобная обстановка в
полости коленного сустава способствует ущемлению синовиальных выростов и
называется «синдром гипертрофии синовиальных складок».
Обратившиеся
с острой болевой блокадой больные не могут пользоваться поражённой ногой. У
большинства нога находится в вынужденном положении сгибания. При осмотре
область коленного сустава практически не изменена: нет отёка, изменения цвета
кожи, не определяется жидкость в суставе. Пальпация малоболезненна или вообще
безболезненна. Осторожная попытка произвести движение в колене вызывает боль.
Смещения надколенника обычно болезненные. Если же у больного есть гемартроз,
отек, то это уже не просто болевая блокада. У этих больных острая болевая
блокада сустава + внутреннее повреждение коленного сустава.
В
обязательном порядке эти больные проходят рентгенографию коленного сустава - на
снимках не выявляется патологии. Выяснить причину блокады достаточно сложно,
особенно при чистом анамнезе, который не даёт никаких зацепок. Но это не
препятствует началу лечения.
В
настоящее время к лечению этих больных существуют различные подходы: некоторые
специалисты рекомендуют немедленную МР –томографию коленного сустава или даже
сразу экстренную артроскопию. В чем – то эти рекомендации дельные, но мы
подходим к вопросу лечения этих детей сдержаннее. Всем им показано
консервативное лечение, мероприятия которого не зависят от причины, вызвавшей
блокаду. Его цель – разблокировать сустав и восстановить активность
больного.
Детям
накладывают заднюю гипсовую лонгету без стопы. Это уменьшает или полностью
устраняет боли. Угол лонгеты определяется тем положением, в котором произошла
блокада и при котором ребенок не испытывает боли. Лечение может реализовываться
как в стационаре, так и амбулаторно. Поначалу показана полная разгрузка ноги и
пользование костылями. После второго - третьего дня, когда проходят
островоспалительные явления, лонгету на ночь снимают. Лёжа больной должен
пробовать совершать очень медленные и плавные попытки сгибания – разгибания
колена. Ещё лучше помогает в этом случае пассивная гимнастика: больной ложится
на спину, помощник берет его ногу за голень и очень медленно разгибает –
сгибает колено. При появлении боли следует прекратить разгибание и
переключиться на сгибание. И наоборот. Скорость выполнения движений такова, что
сгибание или разгибание производится примерно за минуту, т.е. очень-очень
медленно. Помощнику потребуются выдержка и сильная спина. Вообще – то для этого
существуют специальные электромеханические платформы, но где вы их найдёте,
особенно на районе. После 3-4 дней иммобилизации и гимнастики практически у
всех происходит разблокировка сустава, могут сохраняться умеренные боли.
Лонгету можно полностью снять, однако на ноге ходить ещё рано, нужно
пользоваться костылями. Следует
продолжать делать лежачую гимнастику и расширить её – делать активные сгибания
и разгибания в обычном темпе. Разгрузка и прочие мероприятия продолжаются до
полного устранения боли, отёка, исчезновения выпота из сустава. Обычно это две
- три недели. После полной нормализации костыли откладывают и постепенно
увеличивают нагрузку на ногу, большинство детей ходят уже в первый день и
никаких жалоб не предъявляет. Они могут посещать школу, от физкультуры
освобождаются на срок не менее 3 месяцев.
Этот период является в некотором роде пробным. Во время него высок риск
повторной блокады. По истечении полугода риск повторной блокады следует считать
незначительным. Повторные блокады бывают редко, но если это случается, то можно
полагать, что в коленном суставе есть объект, который периодически не находит
себе места и ущемляется суставными поверхностями. В этом случае появляется
необходимость выяснить причину блокад и предпринять специфическое лечение.
Рентгенография
в диагностике причины острой болевой блокады малоэффективна, как и РК -
томография. Некоторые пытаются применять сонографию, но с очень неубедительными
результатами. Реально эффективны в поиске причин блокады коленного сустава
только МР – томография и артроскопия, причем эффективность МР – томографии
относительная: не всегда в срез попадет причинная зона или инородное тело.
Правда, состояние менисков и крестообразных связок МР - томография
визуализирует очень хорошо.
Единственным
стопроцентно надежным методом диагностики причины острой болевой блокады (и
острого внутреннего повреждения) коленного сустава является артроскопия,
которая из диагностического вмешательства сразу же переходит в лечебное. При
обнаружении внутрисуставных свободных тел («суставных мышей») их, разумеется,
удаляют. Осматривают мениски и крестообразные связки на предмет их повреждений
или аномалий строения. В зависимости от выявленной патологии мениск может быть
резецирован или полностью удален. Для этого применяют как ручные
эндоскопические инструменты (кусачки, захваты, эндоскопические ножницы), так и
механизированные (эндоскопические вращающиеся фрезы - шейверы). Возможное
кровотечение останавливается эндоскопическим коагулятором.
Осматривают
состояние суставного хряща, пытаются найти последствия возможно перенесенной
болезни Кенига. Если выявляются грубые неровности хрящевых дефектов, зоны его
размягчения, то их обрабатывают шейверами, сопрягая углы и удаляя
нежизнеспособный хрящ.
Осматривают
постоянные складки синовиальной оболочки. При выявлении их гипертрофии они
обрабатываются шейвером или коагулятором. Постоянные складки резецируют по
краю, непостоянные складки и привески удаляют полностью.
После
артроскопии накладывают заднюю гипсовую лонгету без стопы. Послеоперационный
отёк обычно небольшой и быстро, на 2-3 день, проходит. После уменьшения отёка
лонгету можно заменить на мягкий коленный ортез с боковыми вставками жесткости.
Нужно следить, чтобы он не сдавливал ногу, особенно при сохранении выпота в
суставе: очень часто его полноценной резорбции мешает слишком туго застегнутый
ортез. Со второго дня следует снимать лонгету или ортез и проводить уже
описанную «медленную гимнастику» в коленном суставе. На ночь ортез также лучше
снимать. Нога разгружается на 3 недели, после чего можно снимать ортез и
постепенно приступать к ходьбе. Освобождение от физкультуры дается на 3 месяца.
Если
во время артроскопии не делали резекций хряща, менисков, то послеоперационный
режим можно упростить. Можно не пользоваться ни лонгетами, ни ортезами. На
оперированной ноге просто запрещают ходить 1 неделю. Первые сутки следует
полежать. И всё – пассивные движения ноги лежа и при ходьбе на костылях будут
отличной гимнастикой.
Экстренные
МР – томография и артроскопия при острой болевой блокаде коленного сустава
производятся высококлассным спортсменам, примерно уровня олимпийской сборной.
Да, у них тоже можно разблокировать сустав консервативными мероприятиями. Но
спортсмен становится ненадёжен – у него будет риск повторной блокады. И никто
не даст гарантий, что это не случится во время ответственных соревнований. На
этих людей поставлены миллионы денежных знаков и никто не будет денежными
знаками рисковать. Артроскопия позволяет ревизировать коленный сустав и удалить
возможную причину блокады, т.е. сделать спортсмена надёжным. Но это не про
детей!
Мы
сталкиваемся с заслуживающими внимания болевыми блокадами приблизительно 10 раз
в год. Остальные случаи либо анамнестические (больной сообщает, что когда – то
была блокада), либо симуляционные (больной говорит, что «болит страшно», но
даже не пытается хромать). Рискуя встать на пути прогресса, мы негативно
относимся к расширению показаний для артроскопии у детей, что сейчас стало
широко практиковаться. Да, если у ребенка повторяются блокады или на МР –
томографии обнаружено или обоснованно подозревается свободное внутрисуставное
тело, дефект суставного хряща или
повреждение мениска, то деваться некуда - надо делать артроскопию и лечить. В
остальных случаях от артроскопии стоит воздержаться: высоко вероятной причиной
блокады являются гипертрофированные синовиальные складки. Эта гипертрофия тесно
связана с подростковым возрастом – у подростков все ткани богаты жидкостью,
рыхлые. Уже после 16 лет складки
уменьшаются. Детям с лишним весом настоятельно рекомендуется снизить его.
Артралгия пубертатного периода
Частая
ситуация: ребенок жалуется на то, что болят колени без видимых того проявлений.
Он не хромает, активен, не реагирует на осмотр, а коленный сустав не изменен.
Такого больного, конечно же, обследуют по всем правилам, есть много причин
болей в коленных суставах без внешних спецэффектов. Но… ничего не обнаруживаем.
Что делать в этом случае? - Диагностический алгоритм подразумевает выставление
показаний к МРТ коленного сустава. Если на томограммах ничего не находят (как
оно обычно и бывает), появляются показания к операции артроскопии.
Мы
не спешим следовать этому алгоритму. Дело в том, что у подростков в пубертатном
периоде возможны боли в области коленных суставов без выявляемых
инструментально причин. Они двухсторонние, более чем умеренные по
интенсивности, не имеют постоянной локализации и не ограничивают активности
ребенка. Хорошо купируются простыми обезболивающими: парацетамолом,
нимесулидом. Эти боли могут быть связаны с физическими нагрузками и уменьшаться
в покое. Это роднит их с болями в спине пубертатного периода. Критериями,
позволяющими подозревать пубертатные боли:
Возраст
12-15 лет
Двухстороннее
поражение
Боли
низкой интенсивности без определенной локализации и динамики.
Исчезают
(отчетливо уменьшаются) при снижении физических нагрузок
Эффект
от пробы с внутрисуставным введением раствора новокаина непостоянный: иногда
боли сохряняются, иногда исчезают. А есть дети, у которых после введения новокаина
в один сустав боли исчезают с двух сторон и больше не появляются.
Но
будьте предельно внимательны и никогда не «притягивайте» этот диагноз! Любые
пубертатные боли являются исключением: дети должны быть обследованы лабораторно
и рентгенологически. Если боли односторонние, если их интенсивность нарастает,
если появились какие – то изменения со стороны суставов, то это уже никак не
пубертатные боли. Нужно запускать алгоритм углубленной диагностики с
МР-томографией, а потом, возможно, и артроскопией.
Лечение
артралгии пубертатного периода не требуется - она проходит вместе с пубертатным
периодом. Иногда детям может потребоваться освобождение от физкультуры.