Глава
18 . Боли в области стоп
у
детей и подростков
Болезнь Хагланда – Шинца
Распространенная
остеохондропатия, встречающаяся у детей 8-12 лет. Поражает апофиз пяточного
бугра, может быть как односторонняя, так и двухсторонняя. Проявляется болями в пятке
и часто приводит к прихрамыванию ребенка. Следует быть настороженным в этом
плане и, как во всех случаях болей в ногах, проверить тазобедренный сустав.
Нередко появлению болей предшествует травма.
Диагностика
не представляет трудности - достаточно пощупать пятку. Рентгенография пяточной
кости может показать волнистость и размытость линии зоны роста. А может ничего
не показать, такое тоже бывает и не дает оснований отрицать диагноз. Пяточный
бугор является часто травмируемой зоной и дети с травмой в анамнезе
подозрительны на апофизеолиз пяточного бугра. Его начальными критериями
являются ширина просвета зоны роста более 3 мм., непараллельность её краев и их
зазубренность. Эта травма весьма редкая. При смещениях в пределах 4 мм. для
лечения достаточно иммобилизации голени и стопы гипсом на 3 недели.
Лечение
болезни Хагланда – Шинца заключается в носке мягкой обуви и ограничении
физических нагрузок. Можно применять сухое тепло на область пятки. Болезнь не
становится причиной больших проблем и быстро, за 1-2 недели, проходит.
Апофизит ладьевидной кости
У
этой болезни есть другие названия: персистирующий апофиз ладьевидной кости, os tibiale externum. Названий много, а суть одна: поражается зона
роста в области бугристости ладьевидной кости. Она не закрывается в положенные
срок 13-14 лет. У детей 15-16 лет в области внутреннего края стопы появляются
ноющие боли. Рентгенография выявляет незакрытую зону роста апофиза. Она очень
часто имеет суженную и извитую форму. Боль при персистирующем апофизе умеренная
и не препятствуют повседневной активности. Течение болезни доброкачественное и
к 17-18 годам апофиз срастается с ладьевидной костью и боли прекращаются.


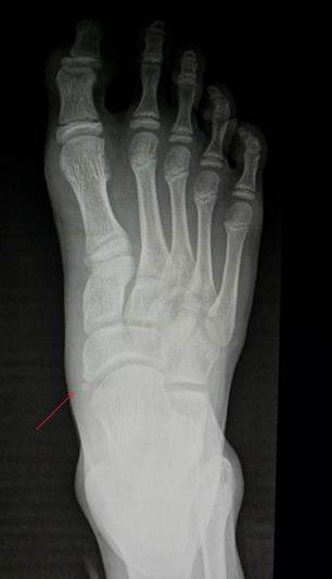
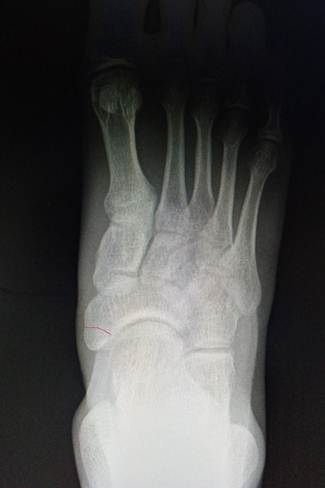
Слева
прямой снимок стопы ребенка 12 лет, апофиз ладьевидной кости тольок начал
прослеживаться (помечен красной стрелкой). Справа прямой снимок стопы ребенка
16 лет, полное срастание апофиза ладьевидной кости с основным костным массивом.
Красной линией отмечена локализация зоны просветления, которая наблюдается в
случае формирования os tibiale externum.
Обычно
детям требуется освобождение от физкультуры и мягкая, удобная обувь. Некоторым
может потребоваться удаление апофиза, которое заключается в его вылущивании из
окружающих связочных структур и отделении от тела ладьевидной кости. Показания
к такой операции следует выставлять предельно сдержанно, потому что причина
нетерпимости больного к небольшому дискомформу
скрывается в чем – то другом. Например, в лишнем весе.
Юноша
17 лет жаловался на боли в правой стопе. Пальпация определила отчетливую болезненность
в области бугристости ладьевидной кости, рентгенография выявила крупный
персистирующий апофиз. Молодой человек страдал морбидным ожирением - при росте
в 178 см. он весил 140 кг. Боли на момент осмотра продолжались около года и, с
его слов, доставляли значительные мучения. Однако же он не хромал, а при
осмотре реакции не отмечалось. Да, у больного имелись относительные показания к
хирургическому лечению, но противопоказаний было куда больше. Мы остановились
на том, что персистирующий апофиз является не главной проблемой с его здоровьем
и её решением следует заниматься после снижения веса хотя бы до 110-120 кг.
Болезни Келера I и II
Две
болезни Келера являются типичными остеохондропатиями детского возраста. Болезнь
Келера I поражает
ладьевидную кость стопы, а болезнь Келера II поражает эпифиз
второй (изредка другой) плюсневой кости. В основе патогенеза болезней Келера
лежит нарушение кровоснабжения ядер окостенения ладьевидной кости и головок
плюсневых костей. В результате происходит асептический некроз ядра и его
компрессионный перелом.
Болезни
Келера проявляются острыми болями в стопе: ребенок плачет, хромает или прыгает
на одной ноге. На тыле стопы выявляется умеренный отек. Пальпация в зоне
поражения очень болезненная. Боли развиваются достаточно быстро, за один – два
дня. Нередко болезням Келера может предшествовать незначительная травма стопы.
Болезни
Келера привязаны к возрасту! Болезнь Келера I свойственна возрасту от 3 до 8 лет, а болезнь Келера II возрасту от 12 до 17 лет. Несмотря на то, что в
медицине нет правил без исключений, следует ориентироваться на эти возрастные
рамки.
Диагностика
болезней Келера стопроцентно рентгенологическая. Картина на снимках практически
всегда отчетливая и не даёт повода сомневаться в диагнозе. При болезни Келера I наблюдается сплющенное, рентгеноплотное ядро
окостенения ладьевидной кости, а при болезни Келера II сплющенная головка плюсневой кости. Если изменений
нет – то и болезни Келера нет! Рентгенография позволяет как ставить, так и
отвергать диагноз, что очень хорошо. Дорентгенологическая стадия у болезней
Келера если и есть, то более чем короткая, не больше нескольких дней. В каких –
то спорных случаях можно просто повторить снимок через неделю – десять дней. На время наблюдения нога на стороне поражения
разгружается костылями, стопа иммобилизируется гипсовой лонгетой.
Лечение
болезней Келера заключается в иммобилизации голени и стопы гипсовой повязкой на
3-4 недели и полной разгрузке ноги. В подавляющем большинстве результаты
лечения хорошие и отличные. Некоторыми специалистами рекомендуется агрессивная
хирургическая тактика лечения болезни Келера II, заключающаяся в наложении аппаратов внешней фиксации
и расправлении ими головки кости. Мы не считаем такой подход оправданным.
Боли в стопах при тарзальных коалициях
Про
тарзальные коалиции мы говорили в главе о плоскостопии. Вы помните, что они
могут сопутствовать плоскостопию и быть причиной болей в стопах. Также возможен
вариант, когда тарзальные коалиции не сопровождаются плоскостопием, но
сопровождаются болями. Во всяком случае, их выявление у больного, жалующегося
на боли в стопах, позволяет считать причиной болей именно коалиции. Таким больным следует рекомендовать
просторную и мягкую обувь, а если это не поможет, то следует думать об операции
разделения коалиции, если таковая возможна. Возможность разделения коалиции
определяется конкретным случаем, детали которого определяются с помощью РК –
томографии. Но не забывайте, что даже успешное разделение коалиций не всегда
приводит к ликвидации болей, послуживших причиной обращения больного.
Усталостные переломы плюсневых костей
Несмотря
на то, что эта проблема относится к травматологии, мы опишем её. Иногда она
создает врачам большие проблемы, хотя правильнее сказать, что врачи сами себе
создают проблемы из – за незнания свойств этой травмы. У проблемы много
красивых названий: перелом Дойчлендера, маршевый перелом, стрессовый перелом,
усталостный перелом. Наиболее часто применяются названия «стрессовый перелом» или «усталостный перелом». Последнее название
нам нравится тем, что чётко отражает суть травмы.
Усталостный
перелом встречается у молодых людей, которые в силу тех или иных обстоятельств
вынуждены совершать многокилометровые пешие походы. Это может быть и занятие
туризмом, и служба в армии, и работа на огромных складах. Первый ключевой
момент анамнеза состоит в том, что человек очень много ходил. Второй ключевой
момент анамнеза состоит в том, что нагрузки начались резко: взяли в поход
нетренированного, забрали в армию и начали гонять, поступил на работу, где надо
много ходить. Проходит день – два и начинаются боли в стопе. Они четко связаны
с ходьбой и усиливаются во время и после неё. Боли носят тупой, ноющий
характер. А ходить – то надо! И терпит человек, ходит, а боль становится все
сильнее. Доходит до момента, когда ходить становится проблематично: боль не
дает ступить, а стопа отекает. Причина явления в усталостных трещинах, которые
развиваются в телах второй – пятой плюсневых костей. Трещины обычно
локализованы в субкапитальной зоне диафизов. Это самая настоящая усталость
материала, по тому же принципу возникают трещины в металлических конструкциях.
Хорошо
собранный анамнез позволяет с высокой долей вероятности предположить диагноз
усталостного перелома. При осмотре отмечается боль во время пальпации и
простукивания плюсневых костей. В случаях давностью несколько дней на тыле
стопы может иметь место отек. Рентгенологическое исследование показано, но оно
очень плохо выявляет этот перелом. Для улучшения визуализации усталостных
переломов рекомендуют делать боковую рентгенограмму стопы под нагрузкой, как
это делается для диагностики плоскостопия. Прямой снимок делается как обычно.
Очень неплохо выявляет стрессовые переломы РК - томография, но это не рутинный
метод исследования. Устанавливать диагноз можно и нужно на основании типичного
анамнеза и данных осмотра. Отсутствие изменений на снимках стопы не позволяет
исключить этот вид перелома.
Лечение
усталостного перелома простое консервативное. Иногда достаточно дать человеку неделю
отдыха от маршей – так, например, поступают в армии. При сильных болях этого
будет определенно недостаточно: надо наложить гипсовую лонгету на голень и
стопу и полностью разгрузить ногу на две недели. В принципе, разгрузить ногу
можно и без гипса, но само его наличие и вид тоже обладают лечебным действием.
Молодой
человек 20 лет поступил на работу в многоуровневый гипермаркет на должность
мерчендайзера (специалист по выкладке товара). Для осуществления своей
деятельности был вынужден постоянно ходить по огромным торговым площадям. В
конце первой недели работы ощутил боль в стопе. Через несколько дней боль стала
настолько сильной, что уже препятствовала работе. Обратился к врачу в
поликлинику, была выполнена рентгенография стопы, патологии на снимке не
выявлено. Был выставлен какой – то проходной диагноз (не то бурсит, не то
лигаментит), рекомендованы пахучие – пекучие мази. Освобождение от работы дано
не было. Ввиду того, что больной не мог работать, а больничного не было, он по
собственной инициативе и за свой счет выполнил компьютерную томографию стоп, на
которой нашли усталостный перелом четвертой плюсневой кости. Результатом был не
только скандал, в дополнение к скандалу были суд и резонанс в СМИ. Врачу
следовало быть повнимательнее: данных анамнеза и осмотра было предостаточно для
постановки правильного диагноза.
Боли в стопе без выявляемых изменений: тарзалгия и
метатарзалгия
Бывает
ситуация, что дети жалуются на боли в стопе или стопах, но никаких видимых изменений
мы не находим, а на снимках все изображения без патологии. Уложить боли в
какую-то остеохондропатию или усталостные переломы также не удается. Анамнез не
дает никаких подсказок: ни травм, ни повышенных нагрузок. Локализация болей
может быть самая разнообразная, но чаще всего дети указывают на тыл стопы в
районе суставов предплюсны. Обычно боли односторонние, а интенсивность их может
быть самой разной: от незначительной до препятствующей ходьбе. Чувствительность
к обезболивающим препаратам также варьирует, но чаще она есть. Боли не связаны
с пубертатным ростом, потому что возраст детей может быть от младшего школьного
до 18 лет. Боли могут продолжаться от нескольких дней до месяца, но в конце
концов проходят. Отмечено, что иммобилизация стопы с разгрузкой ноги значительно ускоряет
выздоровление.
Такие
дети могут создать много трудностей в работе врача, потому что надо установить
диагноз, дать вразумительное объяснение и помочь ребенку. Как здесь поступать?
Можно выставлять проходные в поликлиниках диагнозы, как то «артрит суставов
стопы», «лигаментит стопы» и лечить мазями да прогреваниями… Нам не нравится
такой подход, потому что он демонстрирует некомпетентность. Ввиду того, что
причина этих болей никем не выяснена, мы диагностируем тарзалгию (метатарзалгию)
, что означает неуточненные боли в стопе. Можно называть её и «подалгия», но
это как – то не звучит. Стопа состоит из
tarsus, metatarsus и phalanges. К tarsus относятся
пяточная, таранная, ладьевидная, кубовидная и клиновидные кости, к metatarsus относятся
плюсневые кости. Соответсвенно локализации боли можно говорить о тарзалгии или
метатарзалгии. А вот если боли в
пальцах, то тут уж придется согласиться на подалгию. Но у нас таких случаев и
не было.
Лечение
состоит в иммобилизации голени и стопы лонгетой на 2-3 недели. За ребенком
следует наблюдать: каждую неделю снимать лонгету, осматривать ногу, оценивать
динамику изменений – она должна быть устойчиво положительной. В противном
случае надо продолжать диагностический поиск. Приведем пример из нашей
практики.
Девочка
15 лет была госпитализирована в районную детскую больницу с сильными болями в
левой стопе. Она проснулась с ними, а после подъема с кровати оказалось, что
ходить из – за боли очень трудно. В больнице проведена рентгенография стопы и
голеностопного сустава, лабораторные исследования. Патологии нигде не было
обнаружено. Несмотря на это, был выставлен клинический диагноз артрита левого
голеностопного сустава и начато лечение диклофенаком. Иммобилизация не
делалась. Особого эффекта в течение двух дней не было достигнуто, в связи с чем
нас попросили проконсультировать больную. Объективно: девочка нормального
физического развития, анамнез чистый. Жалуется на боли при ходьбе в левой
стопе. В покое боль или отсутствует, или незначительная. Ходит с трудом,
хромает. Внешне левая стопа, область голеностопного сустава не изменены.
Пальпация тыла левой стопы в области проекции кубовидной кости болезненная
(похоже, что незначительно, т.к. реакции не было), но болезненность ходьбы
сомнений не вызывает. Движения в стопе лежа практически безболезненны.
Пересмотрены рентгенограммы – патологии мы не выявили. Выставлен диагноз: тарзалгия слева.
Рекомендована и нами же выполнена иммобилизация голени и стопы лонгетой
(«сапожок»), покой ноги, использование костылей. Терапию диклофенаком
рекомендовано не продолжать. Контрольный осмотр нами через 5 дней. Через 5 дней
повторный осмотр показал, что пальпация стопы стала полностью безболезненной,
но постановка стопы на пол с пригружением ещё вызывала боль. Субъективно
больная сообщила об улучшении и была довольна результатом. Диагноз остался тот
же. Рекомендовано выписать больную и продолжить иммобилизацию еще 15 дней в
домашних условиях с еженедельным контролем, после чего постепенно приступать к
ходьбе. Впоследствии выяснилось, что в
больнице нам не поверили. В наше отсутствие девочку три раза возили к ортопедам
разной мощности, которые ставили диагнозы от болезни Келера I до
лигаментита стопы и маршевого перелома. Была выполнена компьютерная томография
стоп, которая не обнаружила патологии. В итоге окончательным стал диагноз
тарзалгии. Через 15 дней боли полностью исчезли и девочка свободно ходила.