Глава
16. Боли в спине
Дети
с жалобами на боли в спине появляются часто – иногда по несколько человек в
день. Это распространенная и неприятная для врача детская жалоба. Почему? – А
потому, что причин болей в спине очень много, причем не все они ортопедические.
Боли в спине у детей бывают не так часто, как они на них жалуются, но бывают, и
с такими детьми надо правильно работать. Это многоэтапный процесс, который
разбивается на 3-4 приема, за исключением срочных случаев.
Первичный прием
Ребенка
с болями в спине надо не задумываясь, срочно направить в больницу, если у него
помимо них наблюдаются:
Парез
и паралич конечностей
Гематурия
(кровь в моче)
Высокая
температура, признаки интоксикации, кашель, тахикардия.
Боли
в спине сопровождаются поносом и рвотой
Если
ребенку тяжело стоять, ходить из-за болей.
Если
случай не срочный, то надо предельно чётко собрать жалобы и анамнез. Начинаем с
расспроса.
Где
болит: просим показать рукой.
Когда
начало болеть? Болит постоянно или нет?
Были
ли травмы спины?
В
положении лежа боли уменьшаются, проходят?
Характер
боли: острая, тупая.
Боль
в одном месте или куда – то стреляет (иррадиирует)?
Очень
важный вопрос: давали ли ребенку обезболивающие и помогли ли они.
Мы
специально не задаем вопроса о связи боли с нагрузками и физкультурой.
Практически все здравомыслящие дети скажут, что болит. А от математики ещё
больше болит. Если такая связь есть, то вам про неё скажут. А так не надо
провоцировать ребенка на ложь.
В
осмотре следует делать упор на осанку, длину ног и стопы. Обязательно
пропальпируйте остистые отростки, а ещё лучше простучите их неврологическим
молоточком на предмет локальной болезненности. Определите болезненность при
наклонах, поворотах туловища. Обращайте
внимание, как ребенок реагирует на осмотр: не надо спрашивать больно ли, он
всегда скажет, что больно. Дети не знают ещё, что такое больно и называют болью
всякое непривычное ощущение. Выполняют проверку состояния иннервации туловища и
ног: мы проверяем брюшные, коленный и ахиллов рефлекс, они должны быть
адекватными и одинаковыми с обеих сторон. Данные анамнеза и осмотра должны быть
четко записаны даже при нехватке времени. Эти записи окажут вам неоценимую
помощь впоследствии.
Детям
с болями в спине следует обязательно назначать общеклинические анализы крови и
мочи, биохимический анализ крови (амилаза, АлАт, АсАт, креатинин, С-р. белок),
УЗИ органов живота, ЭКГ, ну и рентгенография заинтересованного отдела
позвоночника в 2-х проекциях. Кроме того, мы просим родителей однократно дать
ребенку при болях детский парацетамол или ибупрофен и отметить эффект.
Диагноз
на первичном приеме ставьте промежуточный: боли в спине, дорсалгия неуточненная
(МКБ М51.0). Не спешите с диагнозом, даже если уверены в нем. Полный комплекс
обследования обязателен! Боли в спине не менее серьезны, чем боли в животе,
потому ваш вид и поведение должны это выражать, а ребенок должен понять, что он
«хорошо попал».
Вторичный прием
Лабораторные
и визуализационные исследования назначаются с целью диагностики не
ортопедических причин болей в спине:
АлАт,
АсАт, амилаза: панкреатит
Креатинин,
общий анализ мочи: заболевания почек
УЗИ
живота: забрюшинные опухоли, патология малого таза, мочекаменная болезнь,
патология аорты.
Общий
анализ крови и С р.- белок: различные воспалительные заболевания. Есть данные,
что болезнь Кальве в ранней стадии (до коллапса тела позвонка) сопровождается ускорением
СОЭ, лейкоцитозом, увеличением концентрации С р. – белка.
Ортопедические
боли в спине локализуются преимущественно в пояснично – крестцовой области. Чем
выше боли в спине, тем меньше вероятность ортопедической патологии. При болях в
спине на уровне лопаток следует больше думать о заболеваниях аорты и пищевода,
о процессах в средостении и плевре, чем об ортопедических заболеваниях.
Рентгенография
является достаточно грубым методом диагностики патологии позвоночника. Наиболее
хорошо она выявляет поражение тел позвонков, а вот ножки, дуги, суставные
отростки наслаиваются друг на друга и не так хорошо видны. Масштабная патология
на снимках выявляется, мелкая – нет. Но её присутствие можно заподозрить по
неочевидным признакам: асимметрия, необычное просветление или затемнение.
Сопоставляйте зоны болей с рентгенограммами и будьте в этих местах предельно
внимательными. На рентгенограммах пояснично – крестцового отдела позвоночника
следует обязательно исследовать наклон крестца и его соотношение с поясничным
отделом позвоночника.
На
вторичном приеме следует спросить о том, что изменилось за прошедшее время
(обычно 1 неделя) и повторно осмотреть ребенка. А после этого сопоставьте
результаты осмотра тогда и сейчас - вот почему надо записывать! Если появились
очевидные расхождения, можно подозревать, что ребенок не совсем честен с вами.
Ортопедические
причины болей в спине можно разделить на четыре условные группы:
1.
Боли, связанные с поражением пояснично – крестцового
сочленения
2.
Боли, связанные с юношеским остеохондрозом
3.
Боли в спине на фоне пубертатного роста
4.
Боли при деформациях позвоночника и поражении позвонков
Боли при поражении пояснично – крестцового сочленения
Проблемы
в пояснично – крестцовом сочленении преобладают в числе причин болей в спине.
Это могут быть как относительно безобидное перенапряжение в соединении, так и
достаточно серьезные вещи: спондилолиз и спондилолистез. Диагностика поражений
пояснично – крестцового соединения рентгенологическая. Выполняется рентгенография
поясничного и крестцового отделов позвоночника в двух проекциях. Делать её
нужно в положении стоя. Родителям следует сказать, что вечером перед снимком
очень неплохо сделать очистительную клизму, а непосредственно перед ним сходить
в туалет. В результате визуализация улучшается, что особенно важно при плохой
рентгеновской аппаратуре.
Основную
информацию несет боковая рентгенограмма. Обращают внимание на соотношение 1
крестцового и пятого поясничного позвонков: задние края их тел должны находится
строго друг над другом, на одной вертикали. Обратите внимание, не передние, а
именно задние! Так определяется соскальзывание пятого поясничного позвонка с
крестца, называемое спондилолистезом.
Состояние
дужек пятого и вышерасположенных
поясничных позвонков следует тщательно изучить. На рентгенограммах они
просматириваются вполне удовлетворительно, но не следует забывать, что
изображение двойное. Тени правой и левой половины дужек накладываются друг на
друга, что иногда создает иллюзию линии перелома. Мы ищем зону разрушения дуги
позвонка, которая называется спондилолизом.
Есть
три варианта спондилолиза:
Усталостный
спондилолиз происходит в результате длительной перегрузки межпозвонкового
соединения. Разрушается межотростчатая зона дужки 5 поясничного позвонка. Он
может быть как односторонним, так и двухсторонним. Следует запомнить, что
межотростчатая зона является единственным местом (!), в котором происходит
усталостный спондилолиз.
Диспластический
спондилолиз происходит в результате аномалии дужки позвонка: в межотростчатой
зоне наблюдается истончение и полный перерыв дужки позвонка. Он может поражать
не только пятый, но и вышерасположенные поясничные позвонки.
Травматический
спондилолиз происходит в результате травмы (падение, удар). Он может находится
как в межотростчатой зоне, так и в зоне ножки дуги, что бывает чаще.
Локализация его может быть в любом поясничном позвонке и месте: ножка дуги,
пластинка дуги, суставной отросток и т.д.
Если
вы выявили спондилолистез, то это говорит о том, что обязательно имеется и
спондилолиз. Не может соскользнуть поясничный отдел с крестца без разрушения
дужки пятого поясничного позвонка. Даже если вы не видите спондилолиза на
снимке, не сомневайтесь в том, что он есть! А вот спондилолиз без
спондилолистеза может быть. Если он имеет диспластическую природу (т.е.
существует с момента рождения) поясничный отдел достаточно долго держится на
месте и наченает сползать вперед только в возрасте 8-10 лет.
На
боковой рентгенограмме следует оценить форму межпозвонковых отверстий, помня
про то, что их изображения накладываются друг на друга. Следует искать и
изменения, соответсвующие юношескому остеохондрозу. Маловероятно, что вам
удастся их найти, потому что юношеский остеохондроз обычно поражает грудной и
верхнюю часть поясничного отдела.
Для
измерения выявленных изменений проводится расчерчивание бокового снимка по
Митбрейту. Определяют центры тел пятого поясничного и первого крестцового
позвонков на боковой рентгенограмме. Для этого провоядт линии из взаимо
противоположных углов тела каждого позвонка, место их пересечения и будет
центром. Между центрами тел проводят линию, которую пересекают вертикалью, взятой от края снимка. Угол между ними
называется уголом Митбрейта.
В
зависимости от того, насколько произошло смещение заднего края пятого
поясничного позвонка по верхней поверхности первого крестцового позвонка
вперед, выделяют степени спондилолистеза по Меердингу. Верхний край первого
крестцового позвонка делят на 4 части, каждая из которых соответствует степеням
от первой до четвертой, нумерацию ведут в вентральном направлении. Нахождение
заднего края в четвертом отрезке или полное соскальзывание соответсвует
спондилолистезу IV степени.
Угол
Митбрейта отражает наклон крестца. В норме он равен менее 30°. Если угол больше
30°, то такой крестец считается чрезмерно наклонённым, или острым. Он может
обнаруживаться как в изолированном виде, так и в составе деформаций
позвоночника: плоской спины и плоско – вогнутой спины. При значениях угла Митбрейта больше 45° высок риск развития спондилолиза и спондилолистеза.
Прямая
рентгенограмма крестца несет меньше информации. На ней следует определить
специфические возрастные признаки: ядра окостенения поперечных отростков,
слияние крестцовых позвонков, состояние подвздошно – крестцового соединения,
наличие / отсутствие Spina
Bifida.
Оцените
уровни латеральных масс крестца и равномерность просвета диска первого
поясничного позвонка (лежит под ним). Это показывает наклон таза в сторону.
На
прямой рентгенограмме видны передние крестцовые отверстия, следует оценить их
размер и форму справа и слева.

Снимок
поясничного и крестцового отделов позвоночника девочки 8 лет с нарушением
осанки по типу поско – вогнутой спины. Расчерчивание по Митбрейту. Определяется
увеличение наклона крестца до опасных в плане развития спондилолистеза
значений.
Оцените
ширину и общее состояние картины подвздошно-крестцового соединения с обеих
сторон. Изредка причинами болей может быть сакроилеит ревматологической природы.
Возможные проблемы в пояснично – крестцовой области,
вызывающие боли в спине
Перенапряжение
в
пояснично
- крестцовом соединении.
Обычно
возникает при укорочении ноги, нарушении осанки по типу плоско – вогнутой спины
или явлении острого крестца (угол Митбрейта от 30° до 45°). Рентгенография не
выявляет структурных изменений. Явление перенапряжения в пояснице встречается
как у маленьких детей, так и у подростков. Проявляется сильными болями в нижней
части поясничной области. Боли развиваются быстро, но внезапными их не назовешь
– клиника обычно «расцветает» в течение дня. Приведем два типичных клинических
случая.
У
мальчика 6 лет развились сильные боли в спине: он плакал, не хотел ходить, при
ходьбе отмечалась хромота. На вопрос где болит показывал на поясничную область
и правое бедро. Педиатром направлен в районную детскую больницу, где лечился с
диагнозом «люмбалгия» в течении недели. Анализы, инструментальные методы
исследования были в норме. Из лекарств применялись обезболивающие препараты.
Боли постепенно уменьшились и ребенок был выписан, после чего мы осмотрели его.
На момент осмотра жалоб не было. Выявлено умеренно выраженное нарушение осанки
во фронтальной плоскости по типу slide - shift, укорочение левой ноги 8 мм. Хромоты не было.
Остальное без особенностей. Рентгенологически обследован позвоночник:
сколиотическая С – образная деформация, некомпенсированная, угол 7°, вершина
дуги в области 12 грудного позвонка. Структурных изменений нет. Уровень
латеральных масс разный: с превышением справа. Диагноз: идиопатическое
укорочение левой ноги 8 мм., вторичный сколиоз. Перенапряжение в пояснично –
крестцовом соединении с болевым синдромом. Рекомендовано компенсировать
укорочение ноги вкладкой в обувь, а также проводить курсы неинвазивной
стимуляции зон роста в области левого колена (по 10 процедур УВЧ в режиме
низкой мощности 1 раз в 3 месяца), контроль осанки и длины ног со стороны
родителей. Прослежен в течение года: боли больше не возникали, нарушение осанки
незначительное с компенсатором и без него, укорочение левой ноги чуть более 5 мм.
Рекомендовано продолжить лечение: компенсатор больше не использовать, провести
еще 2 курса неинвазивной стимуляции зон роста с последующем контролем
укорочения ноги и осанки.
Девочка
15 лет была госпитализирована в районную больницу с сильными болями в пояснице,
которые не позволяли нормально стоять и сидеть. В стационаре (том же, где
лечился предыдущий больной) рентгенологически обследованы поясничный и
крестцовый отделы (без патологии), лабораторные и инструментальные исследования
без отклонений. Выставлен диагноз «люмбалгия», проводилось лечение
обезболивающими препаратами. Боли уменьшились, выписана, мы осматривали её
после. Жалобы на умеренные боли в пояснице в положении стоя, лежа боли
проходят. Осмотр видимой патолгии не выявил. Пересмотрены рентгенограммы,
выполненные в стационаре: угол Митбрейта на боковой рентгенограмме составил
42°, иной патологии не обнаружено. Диагноз: Перенапряжение в пояснично –
крестцовом соединении с болевым синдромом. Картина острого крестца. Подозрение
на спондилолиз 5 поясничного позвонка. Рекомендовано использовать поясничный
корсет в дневное время суток. Для исключения спондилолиза (и другой возможной
патологии) выполнена компьютерная томография пояснично – крестцового
соединения. Подозрения не подтвердились. Мы обратили внимание на то, что
межотростчатая зона пятого поясничного позвонка имела полоски склероза, а
суставные отростки были ступенеобразно деформированы. Изменения свидетельстуют
о том, что соединение противостоит большим нагрузкам. Девочка прослежена в течение года: боли
исчезли вскоре после начала использования корсета и больше не появлялись.
Рекомендовано использовать корсет до 18 лет.
Спондилолиз
и спондилолистез.
Здесь
речь будет идти об усталостном и диспластическом спондилолистезе, потому что
травматический спондилолистез относится к разделу срочной травматологии и не
представляет проблем в диагностике.
Самым
лучшим примером усталостного спондилолистеза может быть только что описанный
клинический случай с 15 - летней девочкой. Да, у нее не было ни спондилолиза,
ни спондилолистезалистеза, но они вполне могли развиться. Мы успешно помешали
этому.
Усталостному
спондилолизу и спондилолистезу способствуют избыточный наклон крестца,
повышенный вес. Нередко спондилолистез случается при беременности, хотя это и
не детская патология. Описаны случаи спондилолистеза у подростков –
спортсменов, занимающихся гимнастикой, борьбой.
Диспластический
спондилолистез обычно развивается у детей старше 10 лет. Критическое значение
имеет не возраст, а рост и вес. Если ребенок субтильный, то проблема может не
проявляться и до 14 лет, а у крупного и высокого вылезет и в 8 лет. Суть её мы
вам уже описали: в результате диспластического процесса нарушается развитие
дуги пятого (изредка и четвёртого) поясничного позвонков. Имеется её
двухсторонняя или односторонняя разомкнутость в виде широкого промежутка в
межотростчатой зоне. Обычно есть Spina
Bifida пятого поясничного позвонка. Нетрудно догадаться, что
поясничный отдел позвоночника в этом случае прикреплен к крестцу только
межпозвоночным диском и связками, суставное пояснично – крестцовое соединение
как таковое отсутствует. Ничто не удерживает позвоночник от соскальзывания по
наклонной поверхности крестца. Но до поры – до времени он не соскальзывает: у
маленького ребенка прочности неполноценного соединения ещё хватает. Но вот у
подростка уже никак, поясничный отдел начинает съезжать вниз по крестцу. Это
сопровождается сильными болями. По мере роста ребенка картина только
усугубляется. Приведет типичный клинический случай.
Мальчик
13 лет был госпитализирован с жалобами на сильные боли в пояснице. Они возникли
утром после подъема с постели и были настолько сильными, что мешали сидеть,
стоять и ходить. При осмотре отмечался наклон туловища вперед, мальчик
стремился за что – то держаться. Ходил он с трудом из-за усиления боли при
ходьбе. В положении лежа боли заметно ослабевали. Оценить осанку невозможно
из-за вынужденного положения. Пальпация и перкуссия нижней части поясничной
области вызывает сильные боли, перкуссия остистого отростка 5 поясничного
позвонка резко болезненная. Боль характеризует как острую, но не «стреляющую».
Неврологическая симптоматика отсутствует. Лабораторное обследование без
особенностей. Рентгенография поясничного и крестцового отделов позвоночника
выявила спондилолистез пятого поясничного позвонка первой степени. Отмечается
достаточно широкое просветлелние в межотростчатой зоне дужки 5 поясничного
позвонка и его spina bifida. Выполнена РК - томография пояснично – крестцового сочлениения,
обнаружившая значительное недоразвитие дуги пятого поясничного позвонка с
широкими разрывами в межотростчатой зоне, пластинка дуги состоит из двух
костных фрагментов неправильной формы, spina bifida, остистый
отросток отсутствует. Диагноз: диспластический спондилолистез L5 1 степени. Назначены строгий постельный режим,
обезболивающие. В течение недели боль значительно уменьшилась, через 20 дней
вертикализирован с поясничным корсетом. Боли при ходьбе не отмечались. Выписан
с направлением на плановую консультацию в профильном НИИ. Рекомендована
минимальная физическая активность и строгое использование поясничного корсета
(одевание и снятие только в положении лежа).


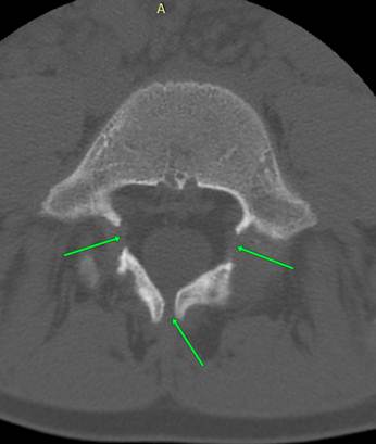
КТ
– эмуляция рентгенограммы и снимок с КТ – томограммы вышеописанного больного.
На боковом снимке поясничного и крестцового отделов позвоночника отчетливо
виден спондилолистез: задние края 5 поясничного и 1 крестцового позвонков
обозначены стрелками, видно смещение 5 поясничного позвонка вперед в пределах 1
четверти ширины тела первого крестцового
позвонка (1 степень по Меердингу). Угол Митбрейта 53° - значительно увеличен. На аксиальном скане 5
поясничного позвонка видно нарушение развития его дуги: справа и слева имеют
место широкие просветы в межотростчатых зонах, они обозначены стрелками.
Имеется Spina Bifida,
также обозначена стрелкой.

Для
сравнения: четвертый поясничный позвонок, межотростчатая зона, патологии не
выявляется. Костная линия непрерывная,
прослеживается начало нижних суставных отростков, пластинки дуги и оститстого
отростка.
Остеохондроз
поясничного отдела позвоночника.
Остеохондроз
в поясничном отделе позвоночника проявляется грыжами диска пятого (иногда
четвертого) поясничных позвонков - соответсвующий диск лежит под позвонком.
Грыжи дисков могут вызвать сдавление спинномозговых корешков, в результате
возникают характерные боли в пояснице, которые «стреляют» в ногу -
люмбоишалгия. Практически всегда боли односторонние, их сторона соответсвует
локализации грыжи. Теоретически причиной люмбоишалгии может быть и протрузия
дисков, но у детей такое крайне маловероятно. Контакт диска 5 поясничного
позвонка с дуральным мешком, который многие считают проявлением остеохондроза
(протрузией) и причиной болей не является таковым! Он обнаруживается
практически на всех томограммах детей 8-14 лет. Грыжи дисков у детей
встречаются редко, при обычном потоке больных вы вряд ли столкнетесь с ними
чаще 1-2 раз в год.
![]()
Подведем
итог. Основной причиной «ортопедических» болей в спине являются поражения
пояснично – крестцового сочленения. Это переренапряжение в сочленении,
спондилолиз и спондилолистез, остеохондроз поясничного отдела позвоночника. Они
проявляются различными по интенсивности поясничными болями. Ведущий метод диагностики
рентгенологический, который иногда приходится дополнять РК - томографией или МР
- томографией.
Перенапряжене
в сочленении диагностируется при исключении поражения костных структур и
видимой картине дисбаланса: наклоне таза в сторону, наклоне крестца вперед
(остром крестце).
Спондилолиз
и спондилолистез хорошо диагностируются рентгенологически, но проведение
рентегновской томографии может оказаться не лишним для того, чтобы выяснить вид
спондилолистеза: усталостный или диспластический. Если такой возможности нет
или обследование нежелательно (девушки 15-16 лет), то следует опираться на
анамнез: диспластический спондилолистез происходит обычно до 14 лет, на
рентгенограммах могут выявиться и другие аномалии пятого поясничного позвонка:
отсутствие остистого отростка, Spina
Bifida, широкий просвет в межотростчатой зоне. Усталостный
спондилолистез обычно происходит у детей старше 14 лет, рентгенограмма выявляет
узкий просвет в межотростчатой зоне или вообще не выявляет ничего, кроме
соскальзывания поясничного отдела позвоночника с крестца. Ещё раз напоминаем,
что спондилолистеза без разрушения дужки соскользнувшего позвонка не бывает!
Диагноз
остеохондроза поясничного отдела позвоночника можно заподозрить по типичной
клинической картине: поясничные боли, распространяющиеся в ногу, онемение кожи
на ноге. Для подтверждения диагноза придётся выполнить МРТ поясничного отдела
позвоночника и обнаружить грыжу позвоночного диска. Простая рентгенография и
даже рентгеновская томография не выявляет их, т.к. это патология хрящевых
структур, невидимых рентгену. Напоминаем, что контакт диска пятого поясничного
позвонка с дуральным мешком – это нормальное явление, не являющееся протрузией!
Лечебные мероприятия при поражениях
пояснично – крестцового сочленения
При
перегрузке пояснично – крестцового сочленения следует устранить причину, её
вызвавшую: компенсировать укорочение ноги подкладкой в обувь, уменьшить наклон
крестца поясничным корсетом. В подавляющем большинстве случаев это приводит к
быстрому исчезновению болей. Корсеты и подкладки носятся в дневное время и
снимаются на ночь.Пользоваться этими приспособлениями следует столько, сколько
существует проблема, вызвавшая перегрузку. Поясничным корсетом пользуются до
17-18 лет без вариантов. В случае укорочения ноги, помимо компенсации,
применяют методы, направленные на уравнивание длины ног. Если укорочение
удалось ликвидировать или привести его к незначимому, то компенсацию можно
прекратить. Если нет, то придется продолжать компенсацию до 17-18 лет. Дети
должны заниматься школьной физкультурой по облегченной программе, на время
занятий корсеты, подкладки следует снимать. Подростков с выявленным острым
крестцом и болями в пояснице лучше вообще освобождать от физкультуры бессрочно.
Лечение
детей с выявленным спондилолистезом должно проводиться в стационаре.
Усталостный спондилолистез у подростков
может успешно лечится консервативными мероприятиями. Обеспечивается постельный
режим на 30 дней. В периоде острых болей следует применять ненаркотические
обезболивающие. Обычно рекомендуется подкладывать поперечный валик под колени,
но это лишнее, он очень утомляет детей, они начинают капризничать и нарушать
режим. Мы не предъявляем каких – то требований к позе, требуем только
соблюдения режима. По истечении срока постельного режима больного
вертикализируют с поясничным корсетом. Делать это следует постепенно и
осторожно, не давая проявлять детям излишней активности. Корсет одевается лежа
в постели, лежа в постели и снимается. Обычно процесс вертикализации и
расширения активности занимает неделю. Делается контрольная боковая
рентгенограмма стоя с надетым корсетом: спондилолистеза либо не должно быть,
либо соскальзывание должно заметно уменьшится (смотрим по заднему краю пятого
позвонка!). Больной выписывается с рекомендацией строгого использования корсета
(одевать - снимать лежа), избегать длительного положения сидя еще в течение 3
месяцев. Затем в консультативной поликлинике делаются контрольные
рентгенограммы стоя без корсета: спондилолистеза быть не должно. Использование корсета
становится менее строгим: его можно одевать и стоя, при домашней активности
можно вообще не одевать. Но пользоваться им придется до 17-18 лет. От занятий
физкультурой больные освобождаются бессрочно.
Тактика
лечения больных с диспластическими спондилолистезами точно такая же, но вот
надеятся на успех консервативных мероприятий у них не приходится. Там нечему
срастаться, как только больной снимет корсет, так вновь возникнет
спондилолистез. Этих больных после выписки следует направлять на консультацию в
профильные учреждения, в которых занимаются хирургией позвоночника. Туда же
следует направить и детей с усталостными спондилолистезами в случае
безуспешности консервативного лечения.
Лечение
больных с явлениями остеохондроза поясничного отдела позвоночника всецело
зависит от того, насколько велики изменения в позвоночных дисках и сильны боли.
Дети должны быть обязательно проконсультированы в учреждениях, где занимаются
хирургией позвоночника. Большинство специалистов при небольшой грыже,
незначительной компрессии корешка и непостоянных болях рекомендует
консервативное лечение, которое традиционно включает:
Нестероидные
противовопалительные препараты при болевых явлениях
Подводное
вытяжение позвоночника
Ограничение
в занятиях физкультурой и бытовых нагрузках
Если
боли сильные и постоянные, то абсолютно показано нейрохирургическое лечение. В
последнее время показания к нему расширяются: хиургическое удаление грыжи диска
будет лучшим выбором, чем многолетнее консервативное лечение с сомнительными
результатами.
Юношеский остеохондроз
Ранее
мы описали вам два интересных случая, когда юношеский остеохондроз не вызвал ни
развития кифоза, ни болей в спине и был обнаружен случайно при рентгенографии
легких. Нетрудно догадаться, что мы
хотим этим сказать – то, что юношеский остеохондроз вполне может протекать
бессимптомно. Точно так же болезнь Шеермана – Мау (юношеский остеохондроз +
структурный кифоз) может протекать без болевых проявлений. Конечно, нельзя переводить это в абсолют и в
каждом конкретном случае следует разобраться в истиной причине болей.
Следует
сопоставить зону поражения и зону болей. Допустим, если юношеским
остеохондрозом поражен грудной отдел позвоночника, а больной жалуется на боли в
поясничной области, то нельзя утверждать их причинную связь. Если имеются жалобы на боли в подлопаточной и
межлопаточной области, их можно связать с поражением позвоночника юношеским
остеохондрозом. Описать эти боли и определить их свойства мы не можем по
причине противоречивости данных, а сами мы их не видели. Скорее всего, они не
должны отличаться от болей при остеохондропатиях – тупые, ноющие, разлитые.
Вполне вероятна их чувствительность к нестероидным противовоспалительным
препаратам. Но будьте предельно осторожны, связывая боли в подлопаточной и межлопаточной
областях с ортопедическими причинами вообще и юношеским остеохондрозом в
частности. Даже пораженный патологическими процессами грудной отдел
позвоночника редко является источником боли – он хорошо армирован ребрами и
малоподвижен.
Поражение
поясничного отдела юношеским остеохондрозом практически не встречается, разве
что в 1-2 поясничных позвонках. Проявите предельную осторожность: тщательно
обследуйте органы живота, почки и забрюшинное пространство, обратите внимание
на пояснично - крестцовое сочленение
перед тем, как связать боли в пояснице с юношеским остеохондрозом.
Лечение
юношеского остеохондроза заключается в тщательном контроле осанки, применении
корсета – реклинатора как профилактики кифоза. Также традиционно назначают
много физиотерапевтических процедур: прогревания озокеритом, массажи, ванны и
прочие приятные воздейтсвия. Болезень протекает доброкачественно, по завершении
роста проблема должна решиться.
Боли в спине пубертатного
периода
Боли
пубертатного периода, или пубертатные боли, встречаются у подростков во время и
после физических нагрузок. Особенность этой болезни в том, что она сезонная:
наибольшее число случаев приходится на сентябрь - октябрь, когда в спортивных
школах начинаются занятия. Набирают группы детей, начинаются усиленные
тренировки и через месяц – два уже кто-то приходит к вам. Распространенность
проблемы может сильно варьировать в зависимости от наличия в городе секций,
спортшкол и вовлеченности в спорт детей.
Заподозрить
пубертатные боли у ребенка можно, если:
Ребенку
от 12 до 15 лет. В иные возрастные периоды темпы роста не столь высоки, чтобы
стать причиной болевого синдрома.
Типичный
больной и обстоятельства. Заболевших детей можно разделить на две группы.
Первые занимаются в спортивных школах и клубах, где тренировки проводятся в
жестком режиме, по несколько часов ежедневно. Вторые – крупные, рослые для
своего возраста подростки. И те, и другие жалуются на боли в спине во время и
после физических нагрузок. Боли дети описывают как тупые, ноющие. Они локализованы
в области поясницы и в подлопаточной области. Место их появления раз от раза
может меняться - про эту особенность нужно помнить и не связывать её с
симуляцией.
Отсутствие
причин по данным осмотра и инструментальных методов исследований. Боли хорошо
купируются нестероидными противовоспалительными препаратами. Инструментальные
методы исследований ничего не выявляют.
Эффект
от разгрузки. Освобождение детей от физических упражнений быстро приводит к
исчезновению болей.
Боли
в спине пубертатного периода – это диагноз исключения. С его выставлением не
следует спешить, нужно искать другую, более серьезную причину. Набирайте
анамнез, изучайте динамику. Мы не знаем причину болей пубертатного периода,
потому просто объясняем их сочетанием детского организма с не детскими
физическими нагрузками или не детскими ростом и весом. Иногда при рентгеновском
обследовании позвоночника у этих детей находят незначительные сколиотические
деформации, являющиеся по итогу идиопатическим сколиозом I – II степени,
обычно не больше 15°. Мы не считаем такие деформации причинами болей, равно как
и не объясняем боли в спине этими деформациями. Будьте особенно внимательны при
жалобах на боли в спине, локализованные в лопаточных и межлопаточной областях!
Грудной отдел позвоночника хорошо поддерживается структурами грудной клетки и
редко причина болей кроется в нем. Таким больным следует дополнительно
назначить эхокардиоскопию, обзорную рентгенографию грудной клетки и
эзофагогастроскопию.
Лечение
пубертатных болей простое – снижение физической активности до нормальных
уровней или даже её ограничение. По миновании пубертатного периода боли не
возвращаются даже при высоких физических нагрузках. Применение обезболивающих
препаратов, физиотерапия, отвлекающее лечение неэффективны и могут навредить
детям. Проблема в том, что обучение в спортивных школах во многом определяет
будущее детей, чтобы туда попасть они прошли серьезный отбор. Мы сталкивались с
тем, что родители очень негативно воспринимают разъясние, что ребенок здоров,
но «не тянет» большой спорт. В этом случае его следует отправлять на
клиническую консультацию, а если вы и есть консультант, то нужно получить
«второе мнение».
Боли при деформациях позвоночника
Боли при поражении позвонков
В настоящее
время считается, что деформации позвоночника могут быть причинами болей только
при очень больших углах, лежащих в границах третьих степеней. Но ничего нельзя
сразу и безоговорочно исключать. Следует попытаться найти точки соприкосновения
двух явлений: сопоставивть зоны болезненности с вершинами дуг деформации,
сопоставить динамику изменений деформации со временем появления болей. Не
забывайте, что может существовать какая – то причина, которая вызвала и боли, и
деформацию. Мы уже описывали вам такие случаи и не будем повторяться. Если вы
приняли решение связать боли в спине с идиопатическими деформациями
позвоночника в пределах I – II степени, то следует применить уже описанное
консервативное лечение деформации в течение года, при его неэффективности надо
ставить вопрос о лечении жестким корсетом.
Типичным
примером поражения позвонка с развитием болей в спине может быть уже описанная
болезнь Кальве. Её острый период как раз относится к болям в спине, связанным с
поражением позвонков. Ранее мы уже говорили, что в течении болезни Кальве есть
дорентгенологическая стадия, которая проявляется локализованными болями в спине
без заметной рентгенологической картины. Мы позволим себе предположить, что
диагноз в дорентгенологической стадии может быть уверенно поставлен по данным
магнитно – резонансной томографии. Но это исследование доступно не везде и не
сразу, потому будет разумнее поставить диагноз на основании локальной
болезненности и типичного возраста (3-10 лет) и как можно скорее приступить к
лечению, чем ребенок будет ходить в ожидании исследования МРТ и дождется
коллапса позвонка. После коллапса диагноз ставится очень легко по обычным
рентгенограммам.
Лечение
болезни Кальве проводится в стационаре. Ребенку следует обеспечить строгий
постельный режим на месяц. В случае, если схлопывания тела позвонка не
произошло, то достаточно простого постельного режима. Если же коллапс случился,
то очень желательно применение реклинатора – выпуклой подкладки под грудной
отдел позвоночника, которая расправляет смятое тело позвонка. Реклинатор можно
изготовить из подручных материалов. Лежать на реклинаторе ребенок должен строго
на спине. Это тяжело - дети капризничают, плохо спят. По идее реклинатор надо
применять весь месяц, а на деле – сколько получится. Боли спустя несколько дней
постельного режима должны уменьшится, а потом и вообще исчезнуть. Через месяц
постельного режима производится вертикализация ребенка в корсете – реклинаторе,
который должен одеваться и сниматься только лёжа. Болей в процессе
вертикализации быть не должно! – это очень важно. Выполняются контрольные
спондилограммы в положении стоя с надетым корсетом. Если лечение начато после
коллапса позвонка, то следует оценить насколько его удалось расправить,
измерить клиновидность. Если в процессе лечения боли сохраняются, на
контрольных рентгенограммах в зоне поражения нет признаков формирования и
перестройки костной ткани, то следует предполагать поражение позвонка каким –
то опухолевым или инфекционным процессом. Такие дети тщательно обследуются с
привлечением смежных специалистов.
При
благоприятном развитии событий дети выписываются с рекомендацией строгого
соблюдения корсетного режима (подъем с коровати без корсета исключен, надевание
и снятие корсета призводится только лежа) еще на три месяца. Больные должны
придерживаться минимальной физической активности, избегать длительного
положения сидя. Через три месяца в консультативной поликлинике делаются
спондилограммы без корсета. Клиновидность тела пораженного позвонка и кифоз не
должны увеличиваться. Если все нормально, то больной может расширить физическую
активность, может сидеть. Корсет следует применять ещё год, но уже в
облегченном режиме: одевать можно и стоя, при бытовой физической активности его
можно не использовать.
Прием после начала лечения
Какой
бы диагноз вы не поставили и какое лечение не рекомендовали, следует
оговаривать с больным и его родителями случаи, когда они должны придти вновь.
Мы придерживаемся принципа хорошей информированности, который уменьшает
количество повторных посещений.
При
лечении перенапряжения в пояснично – крестцовом сочлененении следует ожидать
достаточно быстрого результата, он есть уже на первой неделе. Больным стоит
повторно обратиться к вам, если лечение не дало эффекта в течение месяца. Если
эффект получен, то больные с наклонённым (острым) крестцом могут более не
обращаться, а поясничный корсет должен стать их верным помощником до 18 лет.
В
случае наклона таза из – за значимого укорочения ноги больным проводятся
мероприятия, связанные с укорочением: динамическое наблюдение, при отсутствии
противопоказаний - курсы неинвазивной стимуляции зон роста. Врачу их следует
осмотреть через год для проверки динамики изменения укорочения ноги и выработки
новой стратегии.
Больные
со спондилолистезами и болезнью Кальве проходят этап стационарного лечения,
консультация по месту стационарного лечения проводится через три месяца. От
врача первичного звена здесь требуется только «выполнять и направлять». Больной
и его родители должны знать, что всякая отрицательная динамика, прежде всего
возобновление болей, являются поводом для неотложного обращения. Перенесшие
болезнь Кальве обязательно должны быть осмотрены через год – полтора с момента
начала заболевания. Перенесенная болезнь Кальве может вызвать вторичные
деформации позвоночника, в том числе и вторичный сколиоз.
Больные
с проявлениями остеохондроза (грыжи дисков и протрузии) должны быть обязательно
проконсультированы в центрах спинальной хирургии. Они должны придерживаться
ряда ограничений по физическим нагрузкам и обращаться при любых признаках
ухудшения.
Больные
с юношеским остеохондрозом должны один раз в год осматириваться на предмет
нарушений осанки, также они должны вести учет своего роста на дверном косяке.
Применение корсетов - реклинаторов в дневное время желательно до возраста 15-16
лет. Названные мероприятия вполне могут реализовываться родителями, к врачу
следует обращаться только в случае негативных изменений.
Больные
с подозрением на пубертатные боли должны быть полностью осовбождены от
физических упражнений на месяц, после чего их повторно осматривают. Дальнейшие
действия зависят от результата: в случае исчезновения болей и вашей уверенности
в том, что ничего другого не найдется, подтверждайте диагноз. Детям
рекомендуются обычные или облегченные занятия физкультурой до 15-16 лет. Может
потребоваться консультация или «второе мнение». Если боли не прекратились, то
следует продолжать поиск их причины или выяснять есть ли боли вообще. Приведем
пример такой ситуации.
Девушка
15 лет жаловалась на боли в спине: «страшно болит», «отказывают ноги», «не
могла встать». Но при этом пришла сама, походка её не была изменена, она легко
стояла и сидела. На вопрос о том, есть ли сейчас те самые боли, отвечала
утвердительно. При осмотре внешних изменений мы не нашли, а больная совершенно
спокойно переносила пальпацию и перкуссию, легко наклонялась вперед и в
стороны. На провокационный вопрос о том, не больно ли ей, отвечала, что больно. В конце концов мы сошлись на том, что
болит в поясничной области сразу над крестцом. Обращали на себя внимание слегка
истеричное поведение и страдальческий взгляд нашей подопечной. Несмотря ни на
что, мы провели весь комплекс диагностических мероприятий при болях в спине,
вершиной которорых стала магнитно – резонансная томография поясничного и
крестцового отделов позвоночника. Ни-че-го. Девушка регулярно приходила, раз от
раза жалобы становились все грандиознее. Видимая же нами картина никак не
менялась. Но однажды она пропала и больше не появилась. Тогда один из нас и
подумал про синдром Ганзера. Он встречается в ситуациях, когда человеку
требуется обратить на себя внимание. Синдром был описан немецким психиатром
Ганзером у заключенных, пытающихся избежать наказания по причине болезни.
Синдром Ганзера отличается от симуляции тем, что люди искренне верят в то, что
больны и могут ощущать симптомы желаемой болезни. Исцеление наступает как
только ситуация меняется в пользу больного. Похоже, в нашем случае так и
получилось.
Эксплуатация
призывниками и поэтами, бездельниками и двоечниками жалоб на боли в спине была,
есть и будет. Врачу в общении с ними приходтся применять не только знания
ортопедии, но и практической психиатрии.