Глава
5. Как дети растут.
Эта
глава может показаться читателю трудной – много цифр, терминов, сложные
последовательности, снимки. Но
изложенная в ней информация абсолютно необходима для специалиста нашего
профиля. Раскрыть вопрос более просто и
кратко без потери важных данных не
получится.
Рост
ребенка является важнейшим и уникальным явлением, вокруг которого работает
детская ортопедия. Это могучая сила организма, которая может как создавать, так
и выправлять деформации скелета, нивелировать аномалии развития и последствия
травм.
Рост
организма - это процесс увеличения размеров тела и связанные с этим структурные
перестройки. Объемы и пропорции изменений, происходящих в процессе роста,
генетически запрограммированы. Растут все живые организмы, даже бактерии. У примитивных
организмов, например, рептилий, рост проявляется в медленном и пропорциональном
увеличении массы и размеров тела, которое происходит всю жизнь. Но рост человека
намного сложнее. Он происходит в определенный период жизни, протекает с разной
скоростью и по разному проявляется. Выделим такие его проявления: увеличение
массы тела, изменение пропорций тела, структурная перестройка систем органов.
Не вдаваясь в глубокую теорию, отметим, что все три процесса тесно
взаимосвязаны и невозможны друг без друга.
Нас
как ортопедов интересует, прежде всего, рост опорно – двигательного аппарата.
Он проявляется удлиннением и утолщением костей скелета, изменением их формы.
Пропорционально росту скелета мышцы увеличивают свой объем, массу, а
соответственно, и силу. Удлинняются и утолщаются связки и сухожилия. Определяющим
процессом в росте аппарата движения является рост костей. В доказательство
этого приведем очевидные факты. При врожденном заболевании ахондроплазии у
человека не функционируют зоны роста костей – кости не растут в длину - в
результате рост и вес этих больных редко превышает показатели 5-10 летних детей.
Напротив, при тяжелых формах детского церебрального паралича мускулатура
практичеки не развивается, потому что лишенные нормального нервного воздействия
мышцы атрофируются. Эти больные не могут не то что ходить, они не могут
двигаться. Но их рост находится около возрастной нормы.
Для
того, чтобы вы могли эффективно изучать вопросы роста костной системы, слеудет
вначале вспомнить некоторые простые анатомические понятия.
Кости
скелета различаются по форме на длинные (трубчатые), короткие (губчатые) и
плоские.
Длинные:
кости конечностей, за исключением костей костей запястья и предплюсны.
Короткие:
позвонки, кости запястья и предплюсны, позвонки, сесамовидные кости,
подъязычная кость, лобковая кость, седалищная кость, ключица
Плоские:
кости черепа, лопатки, подвздошные кости, ребра, грудина
Всякая
кость имеет тело, представляющее собой основной костный массив. Тело трубчатых
костей называют диафизом. На теле кости могут находится такие образования:
Эпифизы
– верхний и нижний концы трубчатых костей, несущие суставные поверхности,
покрытые хрящом. Суставная поверхность может быть представлена округлой
головкой или мыщелком сложной формы. Например, верхний эпифиз плечевой кости
несет головку, а нижний – мыщелок.
Суставные
концы НЕ трубчатых костей, также покрытые хрящом. Например, у костей запястья.
Апофизы,
к которым относятся бугры, бугорки, отростки. К ним прикрепляются сухожилия и
связки
Ямки,
в которых начинаются мышцы
Иногда
в строении трубчатых костей выделяют метафизы. Метафиз – это периферическая
часть диафиза (тела) кости, которая соединяется с эпифизом. Иными словами,
метафиз – это периферическая часть диафиза. Метафиз выделяют не везде, а только
там, где тело кости в зоне соединения с эпифизом имеет значительное расширение.
Например, в проксимальном конце бедренной кости метафиз не выделяют, а в
дистальном выделяют. В проксимальном
отделе лучевой кости метафиз не выделяют, а в дистальном выделяют. Тело
большеберцовой кости несет два метафиза. Кстати, называть метафиз диафизом не
будет ошибкой.
В
процессе внутриутробного развития и дальнейшего роста большинство костей
развиваются на месте хрящевых зачатков, что называется непрямой остеогенез, или
остеогенез через хрящ. Так развиваются все трубчатые кости, кости таза,
позвонки, кости основания черепа. Кость
может также развиваться на месте волокнистой соединительной ткани, что
называется прямой остеогенез. Так развиваются кости свода черепа, кости
лицевого черепа и тело ключицы.
Прямой
остеогенез происходит в костях свода черепа: в мягких тканях, покрывающих
развивающийся мозг, появляются плоские островки костной ткани, которые
обозначают центры будущих костей свода черепа. Островки расширяются и к моменту
рождения формируют отдельные кости свода, разделенные бороздами. Борозды расширяются в области контакта нескольких
костей и формируют роднички. У новорожденного ребенка хорошо определяется
большой родничок. Это проявление остеогенеза: плотная соединительная ткань (не
хрящ!), которая закрывает родничок, постепенно оссифицируется, превращаясь в
части лобной и теменных костей. Борозды
между отдельными костями превращаются в швы, заполненые соединительной тканью. Они
являются зоной роста костей свода черепа вплоть до их закрытия в возрасте 20 -
30 лет.
Известно
редкое заболевание - преждевременное зарастание
швов черепа, или краниостеноз. В итоге черепная коробка либо вообще не растет,
либо растет неравномерно. Мозг больного оказывается закован в неподатливый
объем и прогрессивно сдавливается, ведь он тоже увеличивается в процессе роста.
Таким детям приходится делать операции, в ходе которых искусственно создаются
(прорезаются фрезой) швы свода черепа.
Окостенение
хрящевого зачатка кости (непрямой остеогенез) начинается с тела кости, затем
процесс распространяется на эпифизы, апофизы и отростки. Развитие костной ткани
начинается с формирования ядра окостенения. Оно образуется в толще хряща после прорастания
в него сосудов. Тело длинных костей окостеневает по другому: хрящевая модель обрастает
костной тканью снаружи, в результате чего формируется костная трубка.
Разрастаясь, она превращается в тело кости трубчатой формы. Оказавшийся внутри
трубки хрящ распадается и замещается губчатой костной тканью с костным мозгом.
Сформировавшееся
ядро окостенения может быть визуализировано рентгенологическими или
сонографическими методами:
На
рентгенограмме: в местах, соответствующих хрящевым зачаткам, появляются круглые
рентгеноконтрастные тени, которые постепенно увеличиваются в размере. Это тени
ядер окостенения
На
сонограммах в хрящевых зачатках выявляются серповидные яркие полоски, которые
соответствуют округлой поверхности облучаемых ультразвуком ядер окостенения.
Окостенение
эпифизов и апофизов может происходить двумя путями: от тела кости и с формированием
ядра окостенениея.
Окостенение
от тела протекает медленно, на
протяжении всего роста ребенка и завершается по окончании полового созревания.
Так, например, акромиальный конец ключины долго сохраняет хрящевое строение.
Костная ткань медленно распространяется по нему от тела до полного окостенения
в возрасте около 8 лет.
Окостенение
с формированием зоны роста протекает
сложнее. В хрящевом массиве апофиза или эпифиза формируется очаг
костеобразующей ткани, подобный тому, которой образуется и в теле кости – ядро
окостенения. Со временем ядро разрастается и вытесняет весь хрящ, но в тело
кости не распространяется. В результате
апофиз или эпифиз остается соединенным с основным массивом кости узкой
прослойкой хряща, которая именуется зоной роста, или ростковым хрящом. Клетки
хряща ростковой зоны интенсивно делятся и продуцируют хрящевую ткань, которая
постепенно окостеневает. За счет нее
постепенно удлинняется диафиз кости – именно так растут все трубчатые кости.
Хрящевая зона роста сохраняется долго, до завершения полового созревания. После
окончания роста ростковая пластинка зарастает и кость становится монолитной.
Эпифизарные
и апофизарные ростовые хрящевые пластинки являются слабым местом костей ребенка:
их прочность намного меньше, чем костной ткани. Поэтому у детей множество
переломов происходит именно по линии ростового хряща. Такие травмы называются
эпифизеолизами или апофизеолизами. Если в состав отломка входит еще и участок
кости, то говорят об остеоапофизеолизах или остеоэпифизеолизах.
Большинство
ядер окостенения имеют шарообразную или близкую к ней форму. Но такая картина
имеется не везде. Например, ядро окостенения локтевого отростка представляет
собой скопление нескольких мелких костных ядрышек неправильной формы. Точно так же выглядит и ядро окостенения
блока плечевой кости. Часто это создает проблемы в дифференциальной диагностике
с травмами. У большого и четко очерченного ядра окостенения дистального эпифиза
бедренной кости в определенный момент появляются мелкие ядра – спутники,
которые со временем сливаются с основным ядром. Такие важные моменты нужно изучить
и знать, это значительно облегчает работу с детскими рентгеновскими снимками.
Особенности роста и окостенения
костей плечевого пояса, плеча и предплечья. Ребра и
грудина
Ключица не является трубчатой костью, хотя и похожа на нее.
Она имеет S – образное тело и два суставных
конца. Рост ключицы происходит подобно росту трубчатой кости: вначале
окостеневает тело, а затем суставные концы. У новорожденного ребенка на
рентгенограммах выявляется изогнутое тело ключицы, а между ним, грудиной и
акромиальным отростком лопатки имеются большие зазоры. Они заняты
неокостеневшими концами ключицы из хряща. Акромиальный конец ключицы медленно
окостеневает от тела кости до возраста 8 лет. Грудинный конец ключицы
окостеневает с формированием ядра окостения: в возрасте около 4 лет в нем
появляются мелкие костные точки, которые вскоре сливаются в одно ядро,
заполняющее грудинный конец и формирующее между ним и телом ростковую зону. Она
зарастает в возрасте 16 лет. Отметим, что описываемая ростковая зона плохо
заметна на обычных прямых рентгенограммах.
Лопатка является плоской треугольной костью, в которой
различают тело, края (латеральный, верхний и медиальный), углы (верхний, нижний и латеральный с
суставной впадиной), акромиальный и клювовидный отростки. Нижний угол лопатки
имеет развитую бугристость, к которой прикрепляются мышцы. Суставная впадина
лопатки представлена неглубокой ямкой, окруженной выраженным костным краем. У
новорожденного ребенка основная масса тела лопатки оссифицирована, благодаря
чему она хорошо визуализируется на рентгенограммах. Костная ткань занимает
центральную часть тела лопатки, но до её
краев ещё не доходит. Она
распространяется в акромиальный отросток приблизительно до половины его длины.
А вот в клювовидный отросток она не распространяется, потому что на момент
рождения он имеет своё собственное ядро окостенения. На месте встречи растущего
ядра клювовидного отростка и костной ткани тела лопатки, которое находится в
его основании, формируется зона роста. Костная ткань из тела лопатки распространяется
в её латеральный угол, шейку и центр суставной впадины, благодаря чему у
новорожденных она обозначается на снимках. Край суставной впадины у
новорожденных полностью хрящевой и на снимках не виден.
Тело
лопатки и её края полностью окостеневают в возрасте 14-15 лет. Бугристость её
нижнего угла формирует собственное ядро окстенения неправильной формы, которое
может напоминать своим видом перелом. Ядро бугристости постепенно увеличивается
в размерах и существует до 15 – 17 и даже 18 лет, когда окончательно срастается
с телом лопатки.
Акромиальный
отросток лопатки медленно окостеневает от тела до возраста около 14 лет. На
рентгенограммах процесс окостенения акромиального отростка виден как
распространение костной ткани от его основания к вершине. Одновременно с ним
окостеневает акромиальный конец ключицы, в результате чего на снимках
прозрачный промежуток между ними становится все меньше и меньше. В возрасте
около 14 лет в конечном отделе акромиального отростка появляются мелкие ядра
окостенения, которые быстро заполняют его и срастаются с основной массой кости
в возрасте 15-17 лет.
Клювовидный
отросток имеет собственное ядро окостенения, которое постепенно заполняет почти
весь его объем, за исключением небольшого верхнего участка в области изгиба,
довольно долго сохраняющим хрящевое строение. Только в возрасте 11-13 лет в нем
появляются собственные маленькие ядра окостенения. Их срастание с основным
массивом клювовидного отростка происходит к 15 годам. Ростковая зона в
основании клювовидного отростка тоже существует долго – от новорожденности до
15 лет, когда она срастается с телом лопатки.
Суставная
впадина в период от новорожденности до 4 лет постепенно становится все более и
более очерченной на рентгенограммах. В возрасте 3-4 лет иногда удается увидеть
её контур в виде овала. Но края суставной впадины пока остаются хрящевыми. В
возрасте 5 лет в них формируются множественные ядра оссификации, которые
формируют картину дополнительного прерывистого контура возле суставной ямки. В
возрасте 7 лет ядра окостенения края суставной впадины сливаются в одно
кольцевидное ядро, между ним и основной частью впадины прослеживается хрящевая
зона роста. Она закрывается в возрасте 10-13 лет.
Ребра относятся к плоским костям. В нем различают тело,
шейку, головку и грудинный конец. Головка входит в состав реберно –
позвоночного сустава, а грудинный конец в состав грудино – реберного. Головка
ребра делится на две условные половины. Половина, которая находится ближе к
шейке, окостеневает от основного костного массива ребра. Наружная половина
окостеневает из отдельного костного ядра, которое появляется в 3-4 года. Когда
костная ткань заполняет объем обеих половин, на снимках выявляется
рентгенопрозрачная линия, хорошо заметная на снимках детей 6-7 лет. Зарастание этой зоны роста происходит в 14 –
15 лет. Грудинный конец ребра окостеневает без формирования ядер окостенения от
тела ребра. Процесс этот протекает медленно и долго, заканчиваясь в возрасте
около 20 лет или даже позже.
Грудина является плоской костью, состоящей из трех частей:
тела, рукоятки и мечевидного отростка. В каждй из частей формируется отдельное
большое ядро окостенения, в результате чего части грудины у детей разделены
ростковым хрящом. Соединение рукоятки и тела грудины происходит в возрасте около
20 лет. Мечевидный отросток срастается с телом в 30-40 лет, а может никогда и
не срастить.
Плечевая
кость - это крупная трубчатая кость.
Она имеет тело – диафиз и два эпифиза. Верхний эпифиз несет головку плечевой
кости, большой и малый бугорки. Дистальный эпифиз имеет более сложное строение.
Он несет мыщелок, на котором находятся головчатое возвышение и блок плечевой
кости. По бокам от мыщелка находятся два надмыщелка: медиальный и латеральный.
Блок плечевой кости состоит из медиального и латерального валов, разделенных
бороздой.
У
новорожденного ребенка проксимальный и дистальный эпифизы имеют полностью
хрящевое строение и на рентгенограммах не видны. Тело плечевой кости на снимках
хорошо выявляется: его центральная часть имеет отчетливое трубчатое строение, а
на концах оно расширяется и трубчатая структура здесь уже не просматривается.
Расширенные концы тела плечевой кости называются метафизами – это переходные
зоны диафиза к эпифизам. Их рентгеновские изображения находятся довольно далеко
от уровня плечевого и локтевого сустава, что говорит о том, что их оссификация
не завершена и в их составе достаточно много хрящевой ткани.
На
первом году жизни происходит только удлиннение тела плечевой кости и
продолжается окостенение метаэпифизарных зон. В результате к возрасту 1 года их
рентгеновские изображения приближаются к плечевому и локтевому суставу. В
возрасте 1 год в верхнем эпифизе выявляются два ядра окостенения, а в
дистальном эпифизе – одно ядро, расположенное с латерального края.
Ядра
проксимального эпифиза постепенно заполняют собой весь его объем. Поначалу они
округлые (яички, лучше не скажешь), но по мере роста они «вписываются» в
контуры головки плечевой кости и бугорков. Одно ядро, которое лежит ближе к
лопатке, растет быстрее и выполняет собой головку плечевой кости. Второе растет
медленнее и заполняет собой бугорки и межбугорковую зону. Полное заполнение
объема эпифиза костной тканью происходит в 4-5 лет, когда на рентгенограммах
становятся заметными большой и малый бугорки. При этом ядра не сливаются ни
между собой, ни с метаэпифизарной зоной. Между ними и метаэпифизарной зоной
остаются прослойки росткового хряща, формирующего зону роста. На
рентгенограммах она выглядит не как одна линия, а как причудливое перплетение
двух или даже трех линий. И существует эта зона роста очень долго – до 17, а то
и до 18-19 лет. У подростков и молодых людей эту зону роста очень часто (и чем
они старше – тем чаще) при наличии травмы в анамнезе принимают за перелом.
Типичная локализация линии в сочетании с необыкновенно быстрым «выздоровлением»
позволяет определить ее природу.

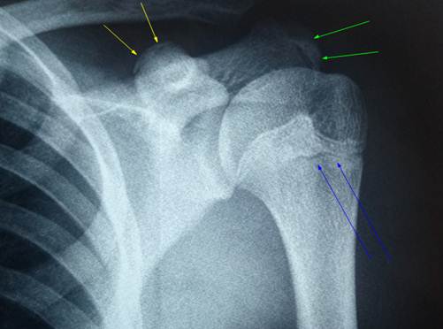
Снимок
проксимальной части плечевой кости юноши 17 лет, направленного на лечение с
диагнозом перелома шейки плечевой кости. Линия того, что приняли за перелом,
обозначена синими стрелками. Но это не перелом! Так специфично выглядит линия
зоны роста эпифиза плечевой кости, и сохряняется этот просвет порой до 20 лет.
Кроме того, на снимке отлично видны ядра окостенения верхнего изгиба
клювовидного отростка (желтые стрелки) и ядро окостенения верхушки
акромиального отростка (зелёные стрелки).
Окостенение
дистального эпифиза является досточно сложным процессом. В возрасте 1 года в
нем выявляется латерально расположенное ядро окостенения неправильной формы. Его
наружная часть формирует головчатое возвышение, а внутренняя – латеральный вал
блока плечевой кости. Поначалу между тенью метаэпифиза и ядром головки и блока
имеется достаточно широкий просвет. К 3 годам метаэпифизарная зона заполняется
костной тканью полностью, в результате её тень максимально сближается с тенью
ядра головки и блока. Становится заметно место расположения медиального
надмыщелка: с внутренней стороны тень метаэпифиза отчетливо скошена – именно в
этом месте находится медиальный надмыщелок, образованный хрящом, потому и
невидимый на рентгенограмме. Костная ткань метаэпифиза в него не
распространяется, а в возрасте 5-6 лет в медиальном надмышелке формируется
собственное ядро окостенения, которое постепенно заполняет его объем к 9-10
годам. Между ним и плечевой костью формируется зона роста, которая зарастает
только в 14 – 15 лет.
В
возрасте 7 лет начинается процесс окостенения медиального вала блока плечевой
кости. В месте его локализации на рентгенограммах выявляются маленькие костные
ядра неправильной формы, которые постепенно увеличиваются в размерах, сливаясь
друг с другом и все больше выполняя собой хрящ медиального вала. К возрасту 10
лет медиальный вал блока полностью сформирован и хорошо виден на
рентгенограммах. Он отделен узким просветом от латерального вала, составляющего
одно целое с головкой плечевой кости. Отметим, что неправильная и непостоянная
форма ядер окостенения медиального вала блока часто приводит к ложной
диагностике перелома. В возрасте 11-13 лет появляется ядро окостенения
латерального надмыщелка – это маленькая черточка, расположенная тотчас выше
головчатого возвышения.
К
возрасту 12-13 лет все элементы дистального эпифиза плечевой кости выполнены
костной тканью и прекрасно видны на рентгенограммах. Но – заметьте! – ни один
из элементов не срастается с соседними. Все они разделены узкими просветами
росткового хряща. В возрасте 14 лет начинается быстрый процесс зарастания
ростковых зон, а в возрасте 15 - 16 лет ростковые зоны уже закрыты. На их месте
можно выявить узкие полоски склероза, исчезающие со временем.
Лучевая
кость имеет тело и два эпифиза. Верхний эпифиз несет головку кости, а нижний
несет запястную суставную поверхность с шиловидным отростком. В верхнем отделе
тела находится крупная бугристость лучевой кости.
У
новорожденного ребенка тело лучевой кости выполнено костной тканью и отчетливо
демонстрирует трубчатую структуру диафиза на рентгенограммах. На верхнем конце
тела костная ткань переходит в шейку и заполняет её начальные отделы. На нижнем
конце видна часть метафиза. Видимые на рентгенограммах концы тела луечвой кости
находятся далеко от уровней локтевого и лучезапястного сустава, остальные её
части на этом этапе имеют хрящевое строение.
На
протяжении первого года жизни происходит прогрессивное заполнение костной
тканью хрящевых частей тела лучевой кости: костная ткань все больше заполняет
шейку лучевой кости и её уровень приближается к уровню локтевого сустава. В
возрасте 1 года на рентгенограммах шейка лучевой кости видна полностью, головка
не видна. На дистальном конце метаэпифизарная зона также прогрессивно
заполняется костной тканью, в результате на рентгенограммах её тень
приближается к уровню лучезапястного сустава. В возрасте 1 года на снимках
появляется ядро окостенения дистального эпифиза.
До
возраста 3 лет происходит процесс роста и дальнейшего окостенения концов
лучевой кости. Костная ткань выполняет собой основание головки кости, при этом
её тень еще больше приближается к головчатому возвышению. Дистальный метаэпифиз
полностью заполняется костной тканью. Ядро окостенения дистального эпифиза
становится больше в размерех и начинает принимать характерную форму нижнего
конца лучевой кости: на прямом снимке оно имеет вид округлого клина с
расширением на наружной стороне, где находится основание шиловидного отростка.
В
возрасте после 3 лет появляется ядро окстенения головки лучевой кости в виде
горизонтальной черточки над проксимальным её концом. Черточка ядра расположена
между головчатым возвышением и основанием головки лучевой кости. Зона роста,
формирующаяся этим ядром, существует долго - до 14 - 15 лет.
Зона
роста дистального эпифиза существует до того же возраста 14-15 лет. За время
своего существования она сужается, дистальный эпифиз приобретает все более
четкие угловатые контуры, с возраста около 8 лет хорошо прослеживается
шиловидный отросток, который окостеневает от основного ядра эпифиза. Своего
ядра окостенения он не имеет.
Бугристость
лучевой кости начинает хорошо прослеживаться с возраста около 7 лет: её хрящ
формирует отчетливое овальное просветление на рентгенограммах. Его легко
принять за костную кисту, фиброму или хондрому. Разрешает вопрос типичное
расположение тени. Окостенение бугристости начинается с 12-13 лет и происходит
от тела кости. Самостоятельного ядра окостенения в ней не формируется.
Полное
окостенение лучевой кости и закрытие всех зон роста происходит в 15-16 лет.
Локтевая
кость также состоит из трубчатого
тела и эпифизов, но её строение имеет ряд особенностей. Верхний эпифиз
представлен блоковидной вырезкой, край которой продолжается в венечный и
локтевой отростки. Блоковидная вырезка является суставной поверхностью, которая
сочленяется с блоком плечевой кости. К локтевому отростку прикрепляется
сухожилие трехглавой мышцы, к венечному отростку прикрепляется только капсула
сустава, что предотвращает её защемление в суставе. Дистальный эпифиз локтевой
кости несет маленькую головку кости и шиловидный отросток.
Особенность
верхнего эпифиза локтевой кости в том, то в нем не формируется собственного
ядра окостенения и, соответственно, в нем нет рентгенопрозрачной полоски зоны
роста. Его окостененеие происходит от тела. Из основания блоковидной вырезки
костная ткань продвигается и заполняет венечный отросток и основной объем
локтевого. Только вершина локтевого отростка формирует собственное ядро
окостенения. Дистальный эпифиз окостеневает с формированием отдельных ядер у
головки и шиловидного отростка.
У
новорожденного ребенка на рентгенограммах выявляется окостеневший диафиз
локтевой кости, из него костная ткань распространяется в сторону эпифизов. В
области локтевого сустава тень костной ткани находится на уровне блоковой
вырезки, в области лучезапястного костная тень лежит на 1-2 сантиметра выше его
уровня.
К
возрасту 1-2 года костная ткань заполняет блоковидную вырезку и она хорошо
визуализируется на рентгенограммах. В
последующие годы – до возраста 8 лет – костная ткань распространяется в
основании локтевого отростка, в результате его тень на рентгенограммах
находится выше щели локтевого сустава. В возрасте 8 лет появляется
самостоятельное ядро окостенения верхушки локтевого отростка. В последующем
рядом с ним появляются дополнительные маленькие костные ядра - спутники. Полное
заполнение костной тканью вершины локтевого отростка происходит в 14 лет. Между
ним и основной массой кости остается щелевидная зона роста, которая закрывается
в возрасте 15 – 16 лет. Венечный отросток начинает визуализироваться только
после 10 лет, его окостенение происходит от тела.
Ядро
окостенения головки локтевой кости появляется в 8-9 лет, а в 10 лет появляется
ядро окостенения шиловидного отростка. Их срастание между собой и с телом кости
происходит после 14 лет.
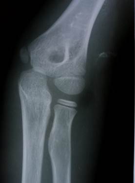
Область локтя в разном возрасте
Василий Оскарович Маркс говорил, что неподготовленный человек на
снимке локтевого сустава здорового ребенка найдёт восемь переломов. Очень даже
может быть – рентгенологическая картина локтя ребенка в возрасте от года до
четырнадцати лет насыщена ядрами окостенения и зонами роста, которые легко
принять за костный отломок или осколок, особенно если в анамнезе есть травма.
Учитывая то, что травма локтя у детей распространена столь же широко, как и
аппендицит, мы отдельно рассмотрим особенности рентгенологической картины
локтевого сустава детей от 1 года до четырнадцати лет.
1 год - 3 года
В возрасте года выявляется булавовидный метафиз плечевой кости,
ядро окостенения головчатого возвышения и латерального вала блока.
Верхний конец лучевой кости отстоит от уровня щели локтевого сустава
достаточно далеко. Конец локтевой кости находится на уровне суставной щели. К 3
годам на снимках очерчивается основание головки лучевой кости и хорошо видна
блоковидная вырезка локтевой кости с основаниями локтевого и венечного
отростков. В самом конце периода появляется ядро окостенения головки лучевой
кости.

Прямой снимок локтевого сустава ребенка 5 месяцев. Обратите
внимание, насколько далеко отстоят друг от друга видимые,
т.е. окостеневшие части сочленяющихся костей.


Снимок локтевого сустава ребенка в возрасте 1 года. Заметно ядро
окостенения головчатого возвышения и латерального вала блока плечевой кости.


Ребенок в возрасте 2 лет. Ядро окостенения головчатого возвышения
увеличилось и стало шире. На метафизарной зоне можно увидеть небольшую плоскую
площадку – зону медиального надмыщелка.


Возраст 3 года. Появилось адро окостенения головки лучевой кости.
Площадка медиального надмыщелка отчетливо контурируется.
4 года – 6 лет
Завершение оссификации хряща метафизарной зоны плечевой кости и
контурирование зоны нахождения медиального надмыщелка. В 6 лет появляется ядро
окостенения медиального надмыщелка. Костная ткань начинает заполнять локтевой
отростк и его тень накладывается на тень метафиза плечевой кости на прямых
снимках. Головка лучевой кости имеет сформированную зону роста.


Возраст 6 лет. Появилось ядроокостенения медиального надмыщелка.
Хорошо прослеживаются основания венечного и локтевого отростков. На прямом
снимке тень локтевой кости находится
выше уровня суставной щели.
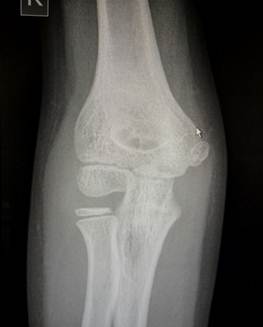
7 лет – 10 лет
В этом возрасте начинается процесс окостенения медиального вала
блока, в котором появляются мелкие, неправильной формы ядра окостенения. В 8
лет появляется ядро окостенения вершины локтевого отростка. Чуть позже к нему
добавляются мелкие ядра - спутники. К концу периода появляется ядро окостенения
латерального надмыщелка.


Возраст 7 лет. Ядро окостенения головчатого возвышения плавно
распространяется в латеральный вал блока и он начинает прослеживаться. Рядом с
ним заметно маленькое линейное ядро окостенения в медиальном вале блока. Появилось два маленьких ядра окостенения
вершины локтевого отростка.
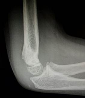
11- 13 лет
Это возраст, в котором все ядра окостенения достигли максимального
развития и приняли формы соответсвующих образований. На рентгенограммах их
разделяют узкие полоски ростковых зон. Это максимальный расцвет детского локтя.


Возраст
12 лет. Все ядра окостенения локтя развиты и разделены узкими хрящевыми
прослойками. Вершина локтевого отростка содержит основное ядро окостенения и
ядро – спутник неправильной формы.


Возраст
14 лет. Стремительное закрытие зон роста локтевого сустава. Можно заметить
узкие просветы в основании медиального и латерального надмыщелков, а также пока
еще открытую зону роста в локтевом отростке.
Иногда
трудности с интерпретацией рентгенологической картины локтевого сустава
возникают даже у многоопытных специалистов. И что тогда делать? – Надо сделать
рентгенограммы противоположного, здорового сустава и сравнить. Но в большинстве
случаев внимательное изучение анамнеза, клинической картины и рентгенограммы
позволяет принять правильное решение и без этого.
Мы
думаем, что все, кто имел дело с детской травмой, согласятся с нами, что для
детей являются типичными переломы нижнего конца плечевой кости: чрезмыщелковые
переломы, переломы головчатого возвышения и блока, переломы надмыщелков.
Причиной тому является обилие хрящевой ткани в составе нижнего конца плечевой кости
и нежность структур, которые она формирует. По своей сути это даже не переломы,
а остеоэпифизеолизы. Механизм травмы простой – падение с упором на руку. Да,
может произойти перелом дистального отдела лучевой кости подобно тому, как это
бывает у взрослых. Но там хрящ достаточно толстый и мощный, не так-то просто
его сломать. А вот локоть… Дети в возрасте от 3 до 12 лет именно его и ломают.
Переломы в области локтя у детей пользуются дурной славой: ими пугают
родителей, ими гордятся врачи и пугают других врачей, не знакомых с этой
травмой. А на самом деле они легко репонируются, если это вообще требуется,
легко фиксируются и быстро срастаются за 2 недели! Для получения хорошего
результата требуется две вещи: знания и здравый смысл.
Лучезапястный сустав, кости кисти
и костный
возраст
Кости
запястья являются короткими губчатыми костями. У новорожденного ребенка не
видна ни одна из них. Их окостенение проявляется появлением круглых теней в
зоне расположения соответсвующих костей. Идентификация костей производится по
типичной локализации их ядер окостенения. Форма костей запястья на детских
снимках определена быть не может, т.к. в их периферические зоны имеют хрящевое
строение и не видны.
Каждая
кость запястья появляется в определенном возрасте, что можно использовать при
определении возраста ребенка. Но возраст ребенка и так практически всегда
известен. Процедура определения возраста по рентгенограмме костей запястья
примеяется для определения разбежки паспортного возраста с возрастом,
определенным по рентгенограмме – костным возрастом. В норме он совпадает или
близок к паспортному. При целом ряде заболеваний костный и паспортный возраста
не совпадают, что и подтверждает диагноз. Для определения костного возраста
можно использовать и другие зоны роста скелета. Применение рентгенограммы
запястья предпочтительно тем, что при её выполнении облучение
рентгенчувствительных зон организма практически отсутствует: ребенка накрывают
рентгенозащитным покрывалом, из под которого нужно достать только руки (делают
рентгенограмму двух запястий). Кроме того, окостенение костей запясться тесно
привязано к возрасту, что имеет место не во всех отделах скелета.
Пястные
кости и фаланги пальцев. Это маленькие трубчатые кости, в строении которых есть
общие черты: каждая из них имеет трубчатое тело (диафиз) и два эпифиза.
Проксимальный эпифиз называется основанием, а дистальный головкой. В процессе
роста основания окостеневают от тела кости, а головки с образованием ядра
окостенения и формированием зоны роста. Но здесь есть исключение: у пястной
кости первого пальца окостенение основания происходит с образованем ядра и зоны
роста, а головка наоборот, окостеневает от тела. Это исключение справедливо и
для стопы.
У новорожденного ребенка кости запястья полностью
хрящевые и на рентгенограммах не видны. Тела всех пястных костей и фаланг
окостеневшие, эпифизы хрящевые. Рентгенограмма имеет своеобразный и немного
комичный вид: на ней выявляются дистальные концы костей предплечья, а на
порядочном расстоянии от них цепочки черточек (тени пястных костей и фаланг),
которые обозначают пальцы.
В возрасте 4 месяцев начинается окостенение головчатой
и крючковидной костей – в их телах появляются точечные ядра окостенения.
Идентификация костей возможна только по типичной локализации их ядер.
В возрасте до 2 лет происходит увеличение появившихся
ядер головчатой и крючковидной костей, в результате чего на снимках начинают
проявляться контуры этих костей. В
возрасте 1 года выявляется ядро окостенения дистального эпифиза лучевой кости.
Костная ткань начинает распространяться на эпифизы пястных костей и фаланг
пальцев, постепенно заполняя их основания, а у 1 пястной кости головку.
В возрасте 2 года появляются ядра окостенения головок
пястных костей и фаланг пальцев (у 1 пястной кости появляется ядро окостенения
у основания). Ядра появляются не в какой – то последовательности, а все сразу,
что делает снимок ребенка в возрасте 2 лет и старше легко отлиичмым от снимков
младших детей.
В возрасте 3 года появляется ядро окостенения
трехгранной кости, а в возрасте 4 года полулунной кости. Отметим, что появление
ядер этих костей очень тесно привязано к возрасту ребенка и очень важно в
определении костного возраста.
В возрасте от 4 до 7 лет происходит появление ядер
окостенения кости – трапеции, ладьевидной кости и трапециевидной кости. Обычно
они появляются в приведенном порядке, хотя возможны и другие варианты.
Появление костных ядер этих костей не имеет тесной привязки к возрасту. Кроме
того, в описываемом четырехлетнем периоде происходит рост уже имеющихся костных
ядер, которые все больше заполняют хрящевые модели костей, что проявляется на
рентгенограммах: их форма из круглой становится приближенной к анатомической
форме несущей их кости.
В возрасте 8 лет выявляется ядро окостенения головки
локтевой кости, 10 лет – её шиловидного отростка.
В возрасте 10 лет появляется ядро окостенения
гороховидной кости.
В возрасте от 10 до 14 лет происходит рост имеющихся
ядер окостенения. В костях запястья они полностью замещают хрящ и принимают их
форму. Полностью исчезает хрящ в
дистальном эпифизе лучевой кости и головке локтевой кости. Полностью
заполняются костной тканью головки пястных костей и фаланг. Все основания пястных костей и фаланг полностью окостеневшие.
В этом возрасте на снимках видны все зоны роста области лучезапястного сустава
и кисти. Они имеют вид узких рентгенопрозрачных щелей.
После 14 лет начинается процесс закрытия зон роста.
Считается, что первой закрывается зона роста в основании 1 пястной кости, хотя
это достаточно условно. Процесс закрытия протекает быстро, в 15-16 лет все зоны
роста уже закрыты, на их месте снимок обнаруживает узкие полоски склероза. Со
временем они исчезают.
Кости таза и
тазобедренный сустав
Каждая
из тазовых костей состоит, как известно, из трех сросшихся отдельных костей:
подвздошной, лобковой и седалищной. Их соединение происходит в области
вертлужной впадины, которую окружают тела всех трех костей. Подвздошная кость
несет широкий вертикальный отросток, который называется крыло. Седалищная и
подвздошная кость тоже несут по отростку (ветви), которые соединяются между
собой, формируя запирательное отверстие.
В
процессе эмбрионального развития кости вначале имеют хрящевое строение, но уже
до рождения ребенка в каждой из них появляется ядро окостенения. Ядра
первоначально локализуются в телах костей, они прогрессивно разрастаются,
заполняя тела и проникая в ветви. Тела между собой, однако, не срастаются: между
ними остается хрящевая ткань, которая формирует зону роста тазовой кости. Ввиду
того, что костей три, хрящевая прослойка имеет трехлучевую форму и именуется Y – образным хрящом. На простых рентгенограммах ее
форма прослеживается слабо, но на томограммах она на самом деле имеет вид буквы
Y. Эта зона роста существует до 12-14 лет.

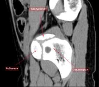
РК
– томография таза ребенка 10 лет, саггитальный скан через дно вертлужной
впадины. Отчетливо виден хрящ, соединяющий три тазовые кости. Он имеет форму
буквы Y.
Костная
ткань постепенно заполняет отростки: крыло подвздошной кости у новорожденного
ребенка уже практически ею заполнено, а ветви седалищной и лобковой костей
заполнены наполовину. Впоследсвии костная ткань полностью заполняет обе ветви,
соединяя их между собой в возрасте 6 лет. В тазовой кости формируются
апофизарные ядра окостенения. Раньше всего - в возрате 8 лет - они появляются в
крае вертлужной впадины: множество мелких ядрышек по кругу. Они очень хорошо
видны на снимках. Остальные ядра апофизов формируются в возрасте 10-12 лет.
Своеобразное ядро окостенения формируется в крае крыла подвздошной кости:
длинное и узкое вдоль всего его края. У передних верхней и нижней остей таза
формируется по собственному ядру окостенения. Крупное ядро окостенения
формируется в седалищном бугре. Полная оссификация тазовых костей и закрытие
зон роста происходит после 14 лет. Задние ости таза не имеют ядер окостенения и
их оссификация идет от тела. Окончательное формирование тазовых костей и
закрытие зон роста происходит после 14 лет.
Бедренная
кость является самой крупной трубчатой костью тела человека. Она имеет толстый
трубчатый диафиз и два эпифиза. Верхний эпифиз несет головку бедренной кости на
длинной шейке и два вертела. Нижний
эпифиз несет два мощных суставных мыщелка, разделенных межмыщелковой ямкой. У
новорожденного ребенка проксимальный эпифиз практически полностью хрящевой, в
дистальном же эпифизе имеется достаточно большое ядро окостенения. Его наличие
считается признаком доношенности ребенка. Окостенение проксимального эпифиза
происходит преимущественно от тела, отдельные ядра формируются в головке
бедренной кости, большом и малом вертелах.
Окостенение
головки и шейки бедренной кости происходит своеобразно и имеет определенное
значение в детской ортопедической патологии, потому мы опишем его подробнее.
Для того, чтобы более понятно изложить процесс, мы разделим головку бедра
экватором подобно глобусу на верхнее и нижнее полушария. Также выделим
латеральный и медиальный край головки.
У
новорожденного ребенка рентгенография выявляет окостеневшие тело бедренной
кости, межвертельную область и только нижнюю треть шейки. К возрасту года
костная ткань распространяется до основания головки и проникает в нижнее её
полушарие. В возрасте после 6 месяцев в
верхнем полушарии головки бедра
появляется ядро окостенения. Несмотря на то, что костная ткань распространяется по всей длине
шейки, она остается не полностью окостеневшей, её медиальный край остается
хрящевым и на рентгенограмме не визуализируется. Точно так же костная ткань
заполняет и нижнее полушарие головки - медиальный край нижнего полушария
остается хрящевым. Ядро окостенения головки бедра заполняет верхнее её
полушарие в области наружного края головки и не распространяется в медиальный
край полушария. В области экватора головки костная ткань верхнего и нижнего
полушария сближаются, но не срастаются. Так формируется зона роста головки
бедра. Медиальные края верхнего и нижнего полушария головки остаются хрящевыми
и заполняются костной тканью только к 7 годам. Зона роста головки бедра сохраняется до 14 -16 лет.
В
классической анатомии к верхнему эпифизу бедренной кости отнтосится её зона,
несущая большой и малый вертелы, шейку и головку. В клинической практике
верхним эпифизом бедренной кости обычно называют верхнее полушарие головки
бедренной кости, отделенное зоной роста.
В
возрасте 4 лет появляется ядро окостенения большого вертела, которое быстро
растет. В возрасте около 10 лет в области его
вершины возникают дополнительные небольшие ядра. Ядро окостенения малого
вертела появляется в возрасте 7 лет.
Окончательное
формирование проксимального отдела бедренной кости и закрытие зон роста
происходит после 14 лет.
О возрасте появления ядра окостенения
головки бедра и его аномалиях
Аномалии
ядра окостенения головки бедра являются диагностическими маркерами некоторых
заболеваний. Так, считается, что задержка времени его появления и/или
уменьшенный размер могут свидетельствовать о дисплазии тазобедренного сустава.
Общепринятое время появления ядра головки бедра - 6 месяцев. Однако этот срок
очень условный, мы видели формирование ядра у детей 2 месяцев, а также не
видели его у детей в возрасте 10-12 месяцев. Потому говорить о задержке
формирования ядра окостенения головки бедра можно только после 6 месяцев, а о
его отсустствии только после года. Большое значение имеют аномалии размера ядер
окостенения. Отставание в размерах ядра с одной стороны является веским
симптомом дисплазии тазобедренных суставов.
Развитие тазобедренного сустава
Формирование тазобедренного сустава начинается еще до рождения и
продолжается до 14 лет. Суть этого процесса заключается в том, что вокруг
головки бедренной кости должна сформироваться достаточно глубокая и правильно
ориентированная суставная впадина. Для
того, чтобы так оно и произошло, бёдра плода и новорожденного должны быть в
правильном положении: согнутые и слегка разведенные. В этом положении головка
бедра находится в центре зачатка суставной впадины и с достаточной силой на
него давит. Благодаря этому она равномерно покрывается растущей костно –
хрящевой ямкой, а сама ямка достаточно наклонена к горизонтали. Если бедра
находятся в неправильном положении, то формирование впадины нарушается, она
остается мелкой и положение её слишком вертикальное. Головка бедра в такой впадине
плохо держится – это называется дисплазия тазобедренного сустава. Самая высокая
скорость формирования суставной впадины на первом году жизни, особенно в первые
три месяца. Именно поэтому все дети первого года жизни должны находится в
положении с согнутыми и слегка разведенными ножками, что вполне обеспечивается
подгузниками. Пеленание детей должно быть оставлено как пережиток прошлого.
После года развитие тазобедренного сустава продолжается, но происходит гораздо
медленнее.
Беды, связанные с головкой бедренной кости у детей
Мы
применили слово «беды» потому, что заболевания головки бедренной кости,
поражающие её ядро окостения и зону роста, очень опасны и иногда приводят к
инвалидности. Речь идет об остеохондропатии и юношеском эпифизеолизе головки
бедра.
Первая
беда, называемая чаще болезнью Пертеса, заключается в нарушении кровоснабжения
ядра окостенения головки бедра, приводящем к его асептическому некрозу и
разрушению. Она поражает детей в возрасте 3-10 лет, у которых ядро наиболее активно растет.
Вторая
беда, юношеский эпифизеолиз, поражает детей
возрасте 12-14 лет, у которых
верхнее полушарие головки уже полностью окостеневшее, но зона роста на экваторе
головки не закрылась. Так вот, под воздействием точно не установленного фактора
эта зона роста начинает разрушаться и верхнее полушарие головки попросту
отваливается со всеми вытекающими последствиями.
Кости таза и тазобедреннй сустав
в разные возрастные периоды.
Рентгенография
таза у детей разрешается с трех месяцев. Сделанные в младшем возрасте снимки
бесполезны – на них очень много хряща и мало кости. Вы не найдете опорных точек
для рентгенометрии. Снимок должен быть сделан в правильной укладке с
выведенными в нулевое положение ротации бедрами.
До
года тазовые кости ребенка на
рентгенограммах имеют характерный вид клешней краба. Телом каждой клешни
является крыло подвздошной кости, а её пальцами частично окостеневшие ветви
лобковой и седалищной костей. Между отдельными костями находятся широкие
просветы, состоящие из хряща. Выявляется проксимальная часть бедра с
межвертельной зоной и нижней третью шейки. Она достаточно далеко отстоит от
места слияния трех составляющих тазовой кости – почти вся шейка и вся головка
хрящевые и на рентгенограммах не видны. В возрасте после 6 месяцев шейка
заполняется костной тканью почти до нижнего полушария головки, а затем, к
возрасту 1 года, проникает в него. Появляющееся ядро окостенения головки
бедренной кости облегчает определение её локализации на снимке. Появившееся
ядро головки должно полностью находится под крышей суставной впадины.
1
год – 4 года. В этом возрасте прогрессивно увеличивается
окостенение отдельных костей таза и хрящевые прослойки становятся тоньше.
Соединение ветвей лобковой и подвздошной костей
еще не происходит, но расстояние между сближающимися костными их частями
уменьшается до сантиметра или меньше. Проксимальный отдел бедренной кости
увеличивается в размерах, но головка по – прежнему содержит много хряща: в верхнем и нижнем полушариях головки ядро не
полностью заполняет её хрящ. Костная ткань сконцентрирована на наружных краях
обеих полушарий головки, внутренние края остаются хрящевыми в обеих полушариях.
Зона роста головки широкая. В возрасте 4 лет появляется ядро окстенения
большого вертела.
5
– 9 лет. В возрасте 5 лет происходит
соединение ветвей лобковой и седалищной костей, в результате чего на снимках
уже отображается замкнутое запирательное отверстие. Хрящевые промежутки в зоне Y – образного хряща становятся еще более узкими, а края
костей угловатыми. Костная ткань еще больше заполняет область лобкового
симфиза, в результате чего его промежуток на снимках сужается. Проксимальный
отдел бедра более массивный, чем в предыдущие возрастные периоды, имеет
развитое ядро окостенения большого вертела, отделенное сформированной ростковой
зоной.
Костная
ткань еще больше заполняет шейку бедренной кости и оба полушария головки, зона
роста становится более тонкой. Лишь на медиальном крае обеих полушарий
сохраняется хрящевая ткань, что делает изображение окостеневшей части головки
как бы срезанным по вертикали. В возрасте 7 – 8 лет появляется ядро окостенения
малого вертела – маленькая серповидная полоска в месте его локализации. Она не
всегда заметна на рентгенограммах, что зависит от поворота бедра. Примерно в
этом же возрасте появляются мелкие ядра окостенения в хряще края вертлужной
впадины, к возрасту 9 – 10 лет их уже достаточно много, они прилегают друг к
другу как мозаика. Особенно хорошо они выявляются в верхних отделах края.
Верхний и нижний полюса головки в 9-10 лет заполняются костной тканью
полностью, поэтому «срез» на её медиальном крае исчезает и она становится
практически идеально круглой. Зона роста
на экваторе головки хорошо видна в виде узкой полоски просветления.
9-13
лет. В 9 - 13 лет начинается
оссификация апофизов тазовых костей: гребня подвздошной кости, передних остей и
седалищного бугра. У верщины большого вертела в этом возрасте могут
образовываться дополнительные ядра окостенения. На рентгенограммах выявляется
ядро окостенения гребня подвздошной кости: это узкая рентгеноконтрастная
полоска, которая тянется над краем гребня. Обычно она отличается равномерностью
линии, хотя изредка может быть и прерывистой, что не является патологическим
признаком. Ядра передних остей таза на прямых рентгенограммах видны плохо,
обычный возраст их появления 12 лет. Крупное костное ядро неправильной формы
формируется в седалищном бугре. Часто оно имеет слоистый вид. В 13 лет мы можем
наблюдать своеобразный расцвет детского таза: все образования уже окостенели,
но при этом все зоны роста еще открыты.
В
14 лет зоны роста начинают сужаться и
вскоре прогрессивно начинают зарастать. На их месте заметны полоски склероза,
которые исчезают через 1-2 года.
Что
такое «фигура слезы» на снимках таза? Этот термин широко применялся в старой
литературе, кое - где встречается и сейчас. «Фигура слезы» – это своеобразное
изображение на рентгенограммах проекции дна и нижнего края вертлужной впадины,
которое выглядит как свисающая капля. Вершина этой капли указывает на центр Y – образного хряща, низ – на нижний край вертлужной
впадины, а потому в инструкциях по рентгенометрии часто есть указания
привязывать линии расчерчивания снимка к пресловутой «фигуре слезы». Но дело в
том, что далеко не на каждой рентгенограмме «фигура слезы» видна. Потому для
рентгенометрии следует использовать другие, более надежные ориентиры.

Великолепное
формирование «фигуры слезы» на снимке таза ребенка 16 лет. Для того, чтобы её вам показать, нам пришлось
перебрать около десятка совершенно
нормальных снимков, на которых «фигуры слезы» не было.
Развитие дистального эпифиза бедренной кости
У
новорожденного ребенка нижний эпифиз бедренной кости несет крупное овальное
ядро окостенения, располагающееся в центре хрящевого эпифиза. Нижний конец
диафиза – метафиз - кости имеет своеобразную форму широкой юбки, высоко
нависающей над костным ядром эпифиза. Ядро прогрессивно увеличивается,
вытягивается по ширине и утолщается на правом и левом краях. Утолщения ядра
находятся в хряще мыщелков. В возрасте от года до 5 лет преобладает в размерах
часть ядра, относящаяся к латеральному мыщелку, а после 5 лет больше становится
половина ядра в медиальном мыщелке. К 6 годам костное ядро увеличивается
настолько, что начинает приобретать типичную форму дистального эпифиза: два
мыщелка, разделенные межмыщелковой ямкой. В этом возрасте у боковых и задних
поверхностей «полуядер» мыщелков начинают появляться мелкие дополнительные ядра
окостенения, которые плотно к ним прилежат и могут быть приняты за костные
отломки. Их срастание с основным костным массивом происходит в возрасте 9-10
лет, когда костная ткань полностью заполняет хрящ эпифиза, сохраняется только
зона роста, лежащая чуть повыше мыщелков. Дистальная зона роста бедренной кости
делает самый большой вклад в рост бедренной кости, а, соответственно, в рост
ребенка. Она функционирует до 14 - 15 лет, после чего зарастает. Именно она
является местом приложения методов, направленных на изменение длины ног и роста
человека.
Развитие большеберцовой, малоберцовой костей
и надколенника
Большеберцовая
кость – это вторая по величине трубчатая кость в теле человека, является
основанием голени. Вместе с бедренной костью она определяет длину ног и рост человека.
Кость несет два эпифиза. На верхнем находится тибиальное плато с мыщелками и
межмыщелковым возвышением, ниже плато находится бугристость большеберцовой
кости. Нижний эпифиз несет суставную поверхность для блока таранной кости и
медиальную лодыжку.
У
новорожденного ребенка выявляется крупное ядро окостенения проксимального
эпифиза, которое почти равно по размеру ядру в дистальном эпифизе бедренной
кости. Проксимальный метафиз имеет вид широкой юбки, такой же как и у бедренной
кости, но перевёрнутой. Ядро эпифиза увеличивается в размерах и постепенно
заполняет хрящевой эпифиз. В возрасте 3 лет оно имеет своеобразный вид,
напоминающий широкий каравай, лежащий на расширенной метаэпифизарной зоне. К 5
- 6 годам костное ядро несет на своей вершине выступ, соответствующий
межмыщелковому возвышению. В возрасте 9-10 лет костная ткань заполняет хрящ
эпифиза практически полностью и распространяется вниз - в хрящ бугристости. На
рентгенограммах это выглядит очень эффектно: костная ткань словно стекает с
тибиального плато, заполняя бугристость. Межмыщелковое возвышение окостеневает
из основного ядра эпифиза, самостоятельных ядер окостенения в нем не
формируется. Отчетливо выявляется линейная зона роста верхнего конца
большеберцовой кости. Вместе с дистальной зоной роста бедренной кости она
определяет рост ног в длину. После 10 лет в толще хряща бугристости появляются
дополнительные ядра окостенения. Их сращение с основным костным массивом и
закрытие зоны роста происходит после 14 лет.
Дистальный
эпифиз большеберцовой кости у новорожденных полностью хрящевой, а метафиз тела
и тоже имеет вид юбки, нависающей над таранной костью. Ядро окостенения
выявляется в эпифизе только в возрасте 1 года. Оно медленно заполняет эпифиз,
но в лодыжку пока не распространяется, потому на рентгенограммах она не видна.
Только в возрасте 5-6 лет костная ткань заполняет хрящ эпифиза почти полностью
и начинает «стекать» в медиальную лодыжку, что хорошо видно на рентгенограммах.
Отчетливо визуализируется линейная нижняя зона роста большеберцовой кости. В
возрасте 10 - 12 лет у вершины медиальной лодыжки формируется дополнительное
ядро окостенения, при наличии травм в анамнезе его часто путают с костным
отломком. Закрытие зон роста дистального конца большеберцовой кости происходит
после 14 лет.
Малоберцовая
кость является длинной тонкой трубчатой костью. Её верхний эпифиз несет
головку, которая в состав коленного сустава не входит. Нижний конец несет
латеральную лодыжку, входящую в состав голеностопного сустава.
У
новорожденного ребенка рентгенограмма выявляет только тело кости. Оба её
эипфиза имеют полностью хрящевое строение. Ядро окостенения в головке
малоберцовой кости выявляется достаточно поздно - в возрасте 5 - 6 лет.
Напротив, ядро окостенения в латеральной лодыжке появляется в возрасте около 2
лет. Оба ядра окостениня заполняют эпифизы и формируют зоны роста малоберцовой
кости, которые закрываются после 14 лет. Важный момент: у вершины латеральной
лодыжки никогда не формируется дополнительных ядер окостенения (у вершины
медиальной лодыжки они формируются в возрасте 10-12 лет). Это следует помнить
при диагностике травм.
Надколенник
является крупной сесамовидной костью в сухожилии четырехглавой мышцы бедра и
относится к компактным костям. У новорожденного он полностью хрящевой и на рентгенограммах
коленного сустава не обнаруживается. Окостенение надколенника происходит с
формированием нескольких ядер окостенения: вначале появляется ядро окостенения
его центральной части, вокруг которого затем появляются периферические ядра, из
которых идет окостенение его боковых отделов и верхушки. Центральное ядро
окостенения надколенника появляется в возрасте 3-5 лет, ядра краев и верхушки в
возрасте 9-12 лет. Ядро верхушки надколенника хорошо выявляется на боковых
рентгенограммах коленного сустава, это следует помнить и учитывать при
диагностике отрывного перелома. Окончательное срастание между собой всех
костных ядер надколенника происходит после 14 лет.
Развитие костей стопы
Кости
предплюсны: таранная, пяточная, кубовидная, ладьевидная и три клиновидных. Это
компактные кости, окостенение которых происходит путем формирования ядра
окостенения, заполняющего хрящевую модель. Кроме того, часть этих костей имеет
бугорки (апофизы):
Таранная:
задний отросток, несущий два бугорка
Пяточная:
бугристость пяточного бугра, к которому прикрепляется ахиллово сухожилие
Пятая
плюсневая: бугорок в основании кости, к которому прикрепляется короткая
малоберцовая
мышца
Ладьевидная
кость: бугорок на её медиальном крае, к которому прикрепляется задняя
большеберцовая мышца.
Окостенение
апофизов происходит путем формирования дополнительных костных ядер.
У
новорожденного ребенка рентгенография обнаруживает достаточно крупные ядра окостенения
в таранной, пяточной и кубовидной костях. Ядра таранной и пяточной костей имеют
вид закругленных цилиндров, имеющих утолщения. Эти утолщения соответсвуют
пяточному бугру и головке таранной кости. Ядро кубовидной кости круглое.
Следующие
ядра окостенения возникают в латеральной, медиальной и средней клиновидных
костях – это происходит в возрасте 2-3 лет, причем последовательность
возникновения ядер в клиновидных костях именно такая. К возрасту три года все
три клиновидные кости обозначены костными ядрами. Вскоре после трех лет
появляется ядро окостенения ладьевидной кости. Иногда в ладьевидной кости может
возникнуть не одно, а два ядра окостенения.
В
возрасте 5-6 лет костные ядра заполняют кости настолько, что на рентгенограммах
их форма приближается к анатомической, которая выявляется у взрослых.
Сохраняется плавность и округлость краев
теней. Становятся видны латеральный отросток таранной кости и опора тарана в
пяточной кости.
В
возрасте после 9 лет начинается появление ядер оссификации апофизов, которые мы
перечислили выше. И все они имеют клиническое значение.
Апофиз
пяточного бугра имеет широкое, в форме полулуния, ядро окостенения, которое
отделяется зоной роста от основного массива пяточной кости. Её нередко поражает
остеохондропатия, называемая болезнью Хагланда – Шинца. Это болезненный, но
доброкачественный процесс. В возрасте
около 12 лет зона роста пяточного бугра практически закрывается вместе с излечением от болезни Хагланда –
Шинца.
Зону
роста бугристости пятой плюсневой кости остеохондропатия поражает редко, зато
часто в этой области происходит отрывной перелом бугристости. Учитывая то, что
зона роста может быть открыта до 15 – 16 лет, это вызывает затруднения в
дифференциальной диагностике линии перелома и открытой зоны роста. Здесь
следует учитывать то, что полоска зоны роста идет параллельно длиннику стопы, а
линия перелома ориентирована поперек.
Ядро
окостенения бугристости ладьевидной кости обычно ведет себя спокойно и зона
роста закрывается в 13 – 14 лет. Но иногда, очень редко, эта зона роста не
хочет закрываться, апофиз продолжает разрастаться, становится большим и
непропорциональным. На снимках хорошо видна зона роста, которая отделяет
большой шаровидный апофиз. Это называется персистирующим апофизом ладьевидной
кости, или os tibiale externum.
Болезнь поражает детей 15 – 16 лет, проявляется несильными, но постоянными
ноющими болями при ходьбе. Течение болезни доброкачественное, в течение 2-3 лет
зона роста закрывается и боли прекращаются. Изредка приходится прибегать к
удалению апофиза.
Ядра
окостенения в заднем отростке таранной кости видны с возраста 8-9 лет до 15-16 лет, когда они срастаются с
телом таранной кости. Это достаточно долго, при наличии травмы в анамнезе их
нередко принимают за костные отломки. Помочь в диагностике может плавная,
округлая форма ядер окостенения, нетипичная для костных отломков. Но этот
признак применим только у детей 15-16 лет. У более младших детей часто
невозможно исключить несмещенный апофизеолиз заднего отростка таранной кости. В
этом случае следует выполнить иммобилизацию и вести наблюдение за ребенком.
Исчезновение болей через 2-3 дня и безболезненная ходьба отвергают диагноз
перелома. В противном случае признают перелом и иммобилизацию продляют до 3
недель.
Плюсневые
кости и фаланги пальцев ног имеют те же общие черты строения, что и на руках.
Не забывайте об особенности первой плюсневой кости, которая такая же, как и у
первой пястной: у первой кости ядро окостенения и зона роста формируются в
основании, а у всех остальных – в головках. Ядра окостенения головок в
плюсневых костях и фалангах пальцев появляются в возрасте 3 лет, их развитие
ничем особо не примечательно. Закрытие зон роста происходит после 14 лет.
Рост позвоночника
Позвоночник
человеческого эмбриона начинает развиваться очень рано, задолго до сердца и
мозга. Вначале это упругий тонкий тяж – хорда, про которую мы все помним из
школьного курса биологии. Именно вокруг хорды начинают формироваться позвонки
будущего позвоночника. С обеих сторон от нее образуются скопления эмбриональных
клеток, которые охватывают хорду подобно полулуниям. Эти клетки дают начало
хрящевой ткани, из которой и формируется позвоночник плода. Почему этот факт
для нас важен? – Потому что он подчеркивает, что каждый позвонок формируется из двух симметричных закладок,
которые сливаются воедино. В поздние периоды внутриутробного развития
позвоночник человека сформирован полностью: состоит из 34 позвонков, которые
имеют все, что позвонку положено: тело, отростки, дуги. В позвоночном канале
проходит спинной мозг. Но если сделать рентгеновский снимок, то мы увидим
пунктирную линию рентгеноконтрастных теней на его месте. Дело в том, что позвонки имеют хрящевое строение. Их
окостенение начинается еще до рождения, в толще хряща начинают формироваться
ядра окостенения. Причем ядра формируются также, как и сами позвонки – попарно
с обеих сторон. Выделяют четыре пары ядер:
Два
ядра окостенениея тела позвонка, которые еще до рождения сливаются вместе и
становятся одним ядром
Два
ядра окостенения дуги позвонка
Два
ядра окостенения остистого отростка, они до рождения сливаются в одно ядро
Два
ядра окостенения апофизарного кольца⃰ позвонка
⃰
Апофизарное кольцо – это особая кольцевая зона на верхней и нижней поверхности
каждого позвонка, к которой прикрепляются фиброзные кольца межпозвоночных
дисков. Она очень долго сохряняет хрящевое строение и начинает окостеневать
только после 8 лет.
Ядра
в теле, дуге и остистых отростках всех позвонков появляются на поздних сроках
внутриутробного развития и видны на рентгенограммах новорожденных детей. Ядра
окостенения апофизарных колец появляются гораздо позже - только после 8 лет.
По
мере роста ребенка растущие костные ядра заполняют объем хрящевых позвонков.
Ядро тела позвонка поначалу круглое, со временем приобретает форму кадушки,
«вписываясь» в объем хрящевого тела и, наконец, полностью заполняет его объем.
При этом отчетливо прослеживаются контуры апофизарных колец, объем которых ядро
тела позвонка не заполняет. Ядра дуги позвонка начинают прогрессивно распространяться
в поперечные и суставные отростки, благодаря чему они становятся видимыми на
рентгенограммах. Костная ткань распространяется дальше по половинкам дуги и
направляется к остистому отростку, возле которого правое и левое ядра
встречаются, но срастаться пока не спешат. Между ними остается прослойка хряща.
Ядро окостенения остистого отростка медленно заполняет его объем в направлении
от основания к вершине. У новорожденного ребенка костная ткань заполняет
приблизительно половину его длины. С телом позвонка дуга тоже срастаться не
спешит и между ним и ножками дуги остается прослойка хряща. После 8 лет ядра
окостенения формируются в апофизарных кольцах позвонка и постепенно
распространяются вперед и назад по нему, сливаясь в одно целое кольцевидное ядро.
Между ним и телом позвонка остается прослойка хряща.
Перечислим
все хрящевые прослойки, которые формируются в процессе окостенения позвонка:
Между
телом позвонка и ножками дуги – 2 хрящевые прослойки
Между
половинами дуги позвонка и основанием остистого отростка – 1 трехлучевая
хрящевая прослойка
Между
телом позвонка и апофизарным кольцом – 2 кольцевидные хрящевые прослойки
Эти
хрящевые прослойки абсолютно справедливо назвать зонами роста. Процесс закрытия
зон роста происходит в такой последовательности: в возрасте около 5 лет
срастаются ножки дуг и тела позвонков, в возрасте 7-8 лет закрывается зона
между половинками дуги и остистым отростком. Зона роста апофизарного кольца
закрывается в 13-15 лет. Поперечные отростки поясничного отдела позвоночника
окостеневают не только со стороны дуги позвонка. В их хрящевых концах
формируются дополнительные ядра окостенения. На месте встречи костного ядра
кончика поперечного отростка с его основным массивом формируется хрящевая зона
роста поперечного отростка. Она закрывается в возрасте 15 – 16 лет.
Зона
хряща между задними краями окостеневающих полудуг позвонка и основанием
остистого отростка имеет весьма характерный вид на передне – задних
рентгенограммах и именуется Spina
Bifida (буквально «раздвоенная ость»). Несмотря на то, что
на рентгенограммах она выглядит как просвет, не надо думать, что в этом месте
позвоночный канал открыт. Он закрыт, но не костью, а хрящом. Так, все позвонки
новорожденного ребенка имеют spina
bifida. Начиная с 10 грудного позвонка в возрасте около 5
лет она начинает зарастать костной тканью, причем процесс распространяется от
10 позвонка вверх и вниз по позвоночнику подобно двойной волне. Полностью
процесс их закрытия заканчивается к 10 годам. Spina Bifida, которая
сохраняется после 10 лет, считается патологической. Наиболее часто она
локализуется в дугах 5 поясничного и 1 крестцового позвонков. Её влияние на
здоровье не определено.
Особенности развития шейного
и крестцового отдела позвоночника
Шейные
и крестцовые позвонки имеют особенности строения, которые отражаются на
процессе их роста и окостенения.
Тела
шейных позвонков маленькие, овальной формы. Непосредственно к телу шейного
позвонка прилегают поперечные отростки с отверсиями для позвоночных артерий. От
поперечных отростков начинается дуга позвонка, несущая в своем начале мощные
плоские суставные отростки. За суставными отростками начинается тонкая
пластинка дуги, защищающая позвоночный канал. Первый шейный позвонок тела не
имеет, оно замещено передней дугой. Второй шейный позвонок имеет на своем теле
вертикальный зуб, на котором, подобно обручу, вращается первый позвонок. Зуб
второго шейного позвонка образуется из тела первого, которое отделяется от
него, смещается книзу и прирастает к телу второго позвонка. До полного
срастания зуб отделен от находящегося ниже тела позвонка хрящевой ростковой
зоной, которая хорошо видна на рентгенограммах до возраста 6 лет. На верхушке
зуба в возрасте около 2-3 лет формируется отдельное ядро окостенения верхушки,
со временем полностью её выполняющее, с основным массивом зуба верхушка
срастается приблизительно в 6 лет – одновременно с замыканием зоны роста в его
основании.
У
новорожденного ребенка на рентгенограммах обнаруживаются ядра окостенения тел
всех шейных позвонков, визуализируются поперечные отростки с дугами, которые
несут остистые отростки. Первый шейный позвонок состоит из передней и задней
дуги, каждая из которых разделена посередине: задняя несет spina bifida и
передняя несет такую же щель. Передняя дуга отделена от латеральных масс правой
и левой зонами роста. Латеральные массы атланта непосредственно соединены с
задней дугой, зоны роста там нет. У остальных шейных позвонков есть тело,
которое отделено от поперечных отросков зоной роста, хорошо прослеживающейся на
передних рентгенограммах. Все шейные позвонки новорожденного несут Spina Bifida,
котороая хорошо видна на прямом снимке, на фоне её просвета видно ядро
окостенения остистого отростка.
В
возрасте около трех лет передняя и задняя дуги атланта срастаются в области
латеральных масс. При этом передняя и задняя Spina Bifida атланта
остаются открытыми. В этом же возрасте начинает закрываться Spina Bifida
нижележащих втором – седьмом шейных позвонках (заметьте, раньше, чем в грудном
и поясничном отделе). В 1 шейном позвонке передняя и задняя дуга остаются
разделенными посередине до возраста 5 лет. К шести годам происходит полное
закрытие зон роста между телами позвонков и поперечными отростками, закрываются
зоны роста в основании зуба и его верхушке.
Появление
ядер оссификации в апофизарных кольцах шейных позвонков происходит в те же
сроки, что и в остальных отделах: первые ядра появляются в 8 лет, к 10 годам
формируются кольцевидные ядра окостенения, которые срастаются с телами позвонков
в 13-14 лет. Но выглядят они очень своеобразно: это тоненькие, плоские
черточки, которые параллельны поверхности тела позвонка. Их очень часто
принимают за проявления отрывного перелома тела позвонка. Следует помнить, что
в случае отрывного перелома костный фрагмент расположен под углом к плоскости
тела позвонка, апофизарные же кольца располагаются параллельно.
Поясничные позвонки входят в
состав монолитного костного крестца. Первоначально крестец состоит из отдельных
позвонков, которые на момент рождения несут ядра окостенения в теле, дуге и
отростках. у крестцовых позвонков тело имеет высокую коническую форму, к нему
прилегают мощные большие поперечные отростки. Из них впоследствии формируются
латеральные массы крестца. Продолжающаяся от поперечных отростков дуга
достаточно короткая и тонкая, суставные и остистые отростки развиты очень
слабо. Spina Bifida
крестца закрывается в период 5-8 лет, лишь в 1 крестцовом позвонке она может
сохраняться до 10 лет. В возрасте 8 лет у тел крестцовых позвонков очерчиваются
апофизарные кольца, в которых появляются точки окостенения. В возрасте 12-13
лет отдельные позвонки крестца срастаются между собой. Основная часть
латеральных масс крестца формируется поперечными отростками второго крестцового
позвонка. В наружных отделах поперечных отростков первого крестцового позвонка
формируются дополнительные ядра окостенения. Это достаточно крупные образования
в верхнебоковых углах латеральных масс, отделенные зонами роста до 15-16 лет.
Рост костей черепа
Кости
черепа разделяются на кости лицевого и мозгового отделов. Среди костей
мозгового отдела различают кости основания черепа и кости свода черепа.
Источником развития костей черепа является соединительная ткань вокруг
растущего мозга, прехордальный хрящ, мезенхима первой и второй эмбриональных
жаберных дуг.
Соединительная
ткань вокруг полушарий мозга содержит слой эмбриональной мезенхимы, в которой
возникают очаги прямого (не через хрящ) остеогенеза. Очаги обозначают центры
будущих костей свода черепа: двух половин лобной кости, теменных костей, чешуй
височных костей и чешуи затылочной кости.
Прехордальный
хрящ находится между передним концом хорды и развивающимся мозговым пузырем. Он
обрастает развивающиеся органы чувств, формируя парные обонятельную, зрительную
и слуховую капсулы. В процессе дальнейшего развития хрящевые капсулы формируют
кости основания черепа, связанные с соответсвующими органами чувств. Развитие
этих костей идет непрямым путём, остеогенезом через хрящ. Глазные капсулы
формируют бóльшую часть клиновидной кости. Слуховая капсула формирует
пирамиду височной кости. Обонятельная капсула формирует решетчатую кость и
носовые раковины. В каждой капсуле есть отверстия, соединяющие мозг с
развивающимся внутри капсулы сенсорным органом. Они превращаются в верхнюю
глазничную щель, через которую проходит зрительный нерв, решетчатую пластинку,
через отверстия которорой проходят обонятельные струны, внутренний слуховой
проход, через который проходит преддверно – улитковый нерв. Оставшаяся часть
прехордального хряща формирует базилярную и латеральные части затылочной кости
и турецкое седло.
Верхняя
челюсть (парная кость, их две!) развивается из мезенхимы путём прямого
остеогенеза. Нижняя челюсть (непарная
кость из двух половинок) развивается из мезенхимы в составе первой жаберной
дуги. Половинки нижней челюсти обрастают хрящ жаберной дуги, который затем
рассасывается и на его месте остается канал нижней челюсти. Сам хрящ жаберной
дуги не принимает участия в формировании кости. Слезные кости, носовые кости,
нёбные кости, скуловые кости развиваются путем прямого остеогенеза из
мезенхимы.
Из
мезенхимы первой жаберной дуги формируются наковальня и молоточек среднего уха,
а также малые рога подъязычной кости. Из мезенхимы второй жаберной дуги
формируется тело подъязычной кости, её большие рога и шиловидный отросток
височной кости.
У
новорожденного череп отличается значительным преобладанием размеров мозгового
черепа над лицевым – он больше приблизительно в 8 раз. Кости свода черепа имеют
округлые геометрические контуры, промежутки между ними широкие (около 5 мм.),
заполнены соединительнотканными перепонками. В местах, где соединяются
несколько костей, промежутки значительно расширяются и формируют так называемые
роднички: передний, задний, парные клиновидный и сосцевидный. Передний родничок
очень большой и долго существует – до 2 летнего возраста. Остальные роднички
меньше и закрываются они в районе 2-3 месяца жизни ребенка. Лобная кость
состоит из двух половин, разделение сохраняется до 7-8 лет. Воздухоносные
полости костей черепа, кроме верхнечелюстной пазухи, не развиты. Нижняя челюсть
разделена на две половины посередине.
Череп
ребенка 1 года отличается, прежде всего, большими размерами – на протяжении
первого года жизни он интенсивно растет. Толщина костей свода черепа
увеличивается в три раза и теперь они имеют типичное строение: наружная и
внутренняя пластинки, разделенные слоем диплоэ. Из родничков остается только
передний. В лобной, решетчатой костях и сосцевидном отростке формируются
воздухоносные ячейки. Пазуха тела клиновидной кости в этом возрасте отсутствует
– она появится только к 3 годам.
Череп
ребенка 3 лет. В нем закрыт большой родничок, сформированы извитые швы между
черепными костями, заполненные соединительной тканью, в теле клиновидной кости
появляется воздухоносная пазуха.
Череп
ребенка 7 лет уже гораздо больше похож на череп взрослого человека, чем в более
ранние периоды: соотношение лицевого и мозгового отделов увеличивается и начинает стремиться к 1/2,
каково оно у взрослых людей. Половины лобной кости срастаются в одну кость.
Интенсивный рост мозгового черепа в этом возрасте заканчивается и в дальнейшие
возрастные периоды мозговой и лицевой отделы медленно растут с одинаковой
скоростью.
Череп
ребенка 14 лет практически соответсвует черепу взрослого человека: на костях
формируются все типичные бугорки и ямки, являющиеся местом прикрепления мышц.
Использование роста ребенка как лечебного фактора
Самокоррекция
посттравматических деформаций костей является уникальным свойством детского
организма. Работающие с детской травмой знают, что у детей совсем не
обязательно добиваться идеальной репозиции переломов: уже через год оставшееся
смещение самоликвидируется. Причем чем младше ребенок, тем эта способность
выше. Николай Григорьевич Дамье описывал у маленьких детей способность к
сращению и самокоррекции даже интерпонированных мягкими тканями переломов
бедренной кости. Но способность детского организма к самокоррекции деформаций
часто превратно понимается некоторыми врачами, оставляющими без репозиции
слишком большие смещения. Известный советский врач Валентина Валентиновна
Гориневская по этому поводу справедливо сказала: «Если в детском возрасте
процессы репаративной регенерации протекают особенно благоприятно, то это не
значит, что, игнорируя существующие правила лечения переломов костей, мы можем
предъявлять детскому организму неограниченные требования». Оставляемое без репозиции смещение должно
находится в дозволенных границах. Соответствующие нормы допусков указаны во
всех руководствах по детской травме.
Широко
известны «баировские нормы» для смещений
переломов дистального конца плечевой кости. Они были введены Г. А. Баировым на основании многолетнего
изучения последствий этих травм. Если смещение перелома укладывается в них, то
репозиция не требуется и лечение значительно упрощается. Запомните их, могут
пригодится:
1.
Угловое смещение – до 20°
2.
Смещение по ширине – до 1/3 ширины
3.
Ротация – до 20° (т.е. слегка заметна на боковой рентгенограмме)


Чрезмыщелковый
перелом плечевой кости со смещением у мальчика 12 лет. Имеется три типичных
смещения для этого перелома: угловое, по ширине и ротационное. Даже без
рентгенометрии видно, что все три смещения в «баировские нормы» укладываются.
Для лечения достаточно иммобилизации на три недели. Оставшееся смещение
самоустранится в течение года после травмы.
Рост
ребенка является необходимым фактором для терапии ортезами. Распространенная в
последнее время шлемотерапия деформаций свода черепа у детей первого года жизни
основана на врастании головы в жесткую матрицу правильной формы в виде шлема.
Жесткие противовыдавливающие корсеты для лечения деформаций позвоночника эффективны
только у растущих детей и подростков. Да, их можно назначать и взрослым, но
эффективность лечения будет низкая ввиду отсутствия фактора роста.
Лечебные воздействия на зоны роста при укорочении и
деформации осей конечностей
Укорочения
конечностей являются частой проблемой у детей, о чём мы уже говорили. Если
разная длина рук не несет большого клинического значения, то разная длина ног
очень даже ощутимо влияет на ребенка. Возникает задача помощи таким детям -
нужно уменьшить разницу в длине ног. Как этого можно достичь?
Наиболее
логично было бы удлиннить кости на укороченной конечности. Удлиннение
конечностей путем остеотомии и последующего сращения раздвинутых отломков были разработаны очень давно и
используются по сей день в различных вариантах. Широко известно удлиннение
конечностей аппаратами Илизарова. Но эти методы достаточно травматичные,
болезненные и значительно ограничивают активность на длительный срок. Они
применяются по ограниченным показаниям.
Но
у детей кости растут и это можно использовать для получения лечебного эффекта!
Нужно как – то воздействовать на зоны
роста костей, заставляя их быстрее образовывать костную ткань и формировать
диафиз. Традиционно как объект воздействия используют зону роста дистального
конца бедренной кости: она легко доступна, массивна и играет ведущую роль в
росте ноги в длину. Уже в начале 20 века появились различные методы,
направленные на стимуляцию зон роста. Все их можно разделить на инвазивные и
неинвазивные.
Суть
инвазивных методов заключается во введении в зону роста различных материалов,
вызывающих асептическое воспаление и, как следствие, усиление всех обменных
процессов в ней. В ранних работах использовались импланты из аллокости, затем
стали применять и другие материалы. Исследование на животных, проведенное в США
в 1920-е годы, изучило способность к стимуляции зон роста около ста материалов.
Ни один из них не смог значимо простимулировать зону роста. Больше того, часто
имплантация заканчивалась зарастанием зоны роста и его полным прекращением. Поэтому такие опасные методы лечения не
должны применяться сейчас.
Неинвазивная
стимуляция зон роста производится различными нехирургическими воздействиями:
электромагнитными волнами, теплом, светом, постоянным магнитным полем. Эти
методы воздействуют на обе зоны роста в области колена: дистальную бедренной
кости и проксимальные большеберцовой и малоберцовой. Это тоже достаточно
сомнительный метод, однако дешевый, доступный и, главное, безопасный. Мы широко
применяем его в виде УВЧ – облучения коленного сустава укороченной ноги (курс
10 процедур в режиме низкой мощности, повторяемый через каждые 3 месяца).
Агрессивные
хирургические методы лечения укорочения ног рекомендовано применять когда оно
достигает 20 мм. Это достаточно много. А вы помните, что для ребенка до 10 лет
уже значимо укорочение больше 5 мм. Что же делать? – Применяются подкладки в
обувь, мягкие удерживающие корсеты для коррекции осанки. В дополнение к этому
стоит прменить и неинвазивную стимуляцию зон роста. Мы получали хорошие
результаты, но не можем утверждать, что это был именно результат лечения.
Неудовлетворительные
результаты методик стимуляции зон роста побудили к творческому поиску лучших
приемов и они были найдены. Если остановить рост ноги, противоположной укороченной,
то со временем длина ног выравняется. Ведь укороченная нога тоже растет, только
медленнее. Блокируется зона роста дистального эпифиза бедренной кости при
помощи металлических скоб – такая операция называется эпифизиодезом. После
того, как конечности выравняются, скобы удаляются. Эпифизиодезы
малотравматичны, почти не снижают активности ребенка и дают отличные результаты.
Помимо
полных блокировок зоны роста (эпифизиодезов) применяются частичные блокировки –
гемиэпифизеодезы. Это оригинальный метод исправления искривленной оси ноги
растущего ребенка. Скобами блокируется не вся дистальная зона роста бедренной
кости, а её половина справа или слева. В результате растущая бедренная кость
начинает изгибаться в сторону блокировки. После достижения требуемой коррекции
скобы удаляются и дальнейший рост кости происходит как обычно. Кроме боковых
бедренных эпифизиодезов были разработаны передние гемиэпифизиодезы бедренной
кости для коррекции сгибательных
контрактур коленного сустава.